Foram encontradas 40 questões.
Quanto às bronquiectasias, podemos
afirmar:
Provas
Questão presente nas seguintes provas
Um homem com 62 anos de idade,
portador de DPOC, chega à UPA com
história de há 2 dias estar apresentando tosse
produtiva com secreção clara, piora da
dispneia habitual e sibilos. Devemos considerar como a causa mais provável deste
quadro:
Provas
Questão presente nas seguintes provas
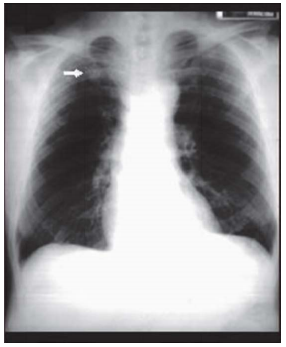
Homem com 35 anos de idade procura a
Unidade Básica de Saúde devido a uma
alteração identificada nos exames
admissionais, reproduzida na radiografia de
tórax seguinte. Refere tosse seca há 40 dias, constante, diária, nunca tratada. Nega febre,
dispneia, hemoptise e perda de peso. É
fumante, com uma carga tabágica de 20
anos.maço. O exame físico é normal. A
conduta mais apropriada para este paciente,
neste momento, é:


Provas
Questão presente nas seguintes provas
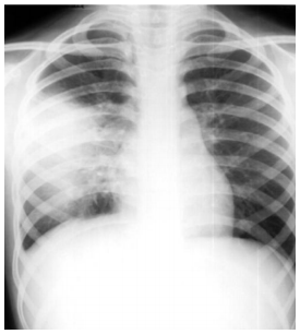
Paciente de 37 anos de idade, procura
UPA referindo apresentar há dois dias mal
estar geral, dor torácica ventilatório
dependente à D e tosse produtiva, com
expectoração amarelada e febre aferida
38ºC. É hipertenso, em uso de losartan. Ao
exame físico apresenta-se lúcido, orientado,
pouco dispneico, com mucosas
normocoradas, hidratadas, escleróticas
anictéricas; ao exame pulmonar apresenta
aumento do frêmito toracovocal em terço
médio de hemitórax D, onde ausculta-se um
sopro tubário; ritmo cardíaco regular em
dois tempos com bulhas normofonéticas, sem sopros. Abdome flácido, ausência de
visceromegalias. Membros inferiores sem
alterações. Sinais vitais: PA = 140/80
mmHg, FR = 24 irpm, FC = 92 bpm e
temperatura axilar = 37,8ºC. Foi realizado
RX de tórax no atendimento, o qual é
mostrado abaixo. Assinale a alternativa que
corresponde CORRETAMENTE ao
ambiente para o tratamento inicial e o
antibiótico de escolha.


Provas
Questão presente nas seguintes provas
Assinale a alternativa que é contra
indicação de Ventilação Não Invasiva:
Provas
Questão presente nas seguintes provas
São princípios norteadores da Política de
Humanização do SUS:
Provas
Questão presente nas seguintes provas
- SUSLei 8.080/1990: Lei Orgânica da SaúdeSistema Único de SaúdePrincípios, Objetivos, Diretrizes e Atribuições.
- Planejamento e Gestão
O Sistema Único de Saúde (SUS) é
composto por princípios e diretrizes. São
considerados princípios doutrinários do
SUS:
Provas
Questão presente nas seguintes provas
- SUSLei 8.080/1990: Lei Orgânica da SaúdeSistema Único de SaúdePrincípios, Objetivos, Diretrizes e Atribuições.
- Planejamento e Gestão
De acordo com a Lei nº 8.142/1990 o
Sistema Único de Saúde (SUS), contará, em
cada esfera de governo, com as seguintes
instâncias colegiadas:
Provas
Questão presente nas seguintes provas
As Redes de Atenção à Saúde (RAS) são
consideradas estratégias para um cuidado
integral e direcionado as necessidades de
saúde da população, conforme a Portaria nº
2.488/2011. De acordo com esta portaria a
atenção básica deve cumprir algumas
funções para contribuir com o
funcionamento das Redes de Atenção à
Saúde, que são:
I - Ser base: ser a modalidade de atenção e de serviço de saúde com o mais elevado grau de descentralização e capilaridade, cuja participação no cuidado se faz sempre necessária; II - Ser resolutiva: identificar riscos, necessidades e demandas de saúde, utilizando e articulando diferentes tecnologias de cuidado individual e coletivo, por meio de uma clínica ampliada capaz de construir vínculos positivos e intervenções clínica e sanitariamente efetivas, na perspectiva de ampliação dos graus de autonomia dos indivíduos e grupos sociais; III - Coordenar o cuidado: elaborar, acompanhar e gerir projetos terapêuticos singulares, bem como acompanhar e organizar o fluxo dos usuários entre os pontos de atenção das RAS. IV - Ordenar as redes: reconhecer as necessidades de saúde da população sob sua responsabilidade, organizando as necessidades desta população em relação aos outros pontos de atenção à saúde, contribuindo para que a programação dos serviços de saúde parta das necessidades de saúde dos usuários.
De acordo com o exposto acima assinale a alternativa CORRETA:
I - Ser base: ser a modalidade de atenção e de serviço de saúde com o mais elevado grau de descentralização e capilaridade, cuja participação no cuidado se faz sempre necessária; II - Ser resolutiva: identificar riscos, necessidades e demandas de saúde, utilizando e articulando diferentes tecnologias de cuidado individual e coletivo, por meio de uma clínica ampliada capaz de construir vínculos positivos e intervenções clínica e sanitariamente efetivas, na perspectiva de ampliação dos graus de autonomia dos indivíduos e grupos sociais; III - Coordenar o cuidado: elaborar, acompanhar e gerir projetos terapêuticos singulares, bem como acompanhar e organizar o fluxo dos usuários entre os pontos de atenção das RAS. IV - Ordenar as redes: reconhecer as necessidades de saúde da população sob sua responsabilidade, organizando as necessidades desta população em relação aos outros pontos de atenção à saúde, contribuindo para que a programação dos serviços de saúde parta das necessidades de saúde dos usuários.
De acordo com o exposto acima assinale a alternativa CORRETA:
Provas
Questão presente nas seguintes provas
Para instituir uma Região de Saúde,
conforme o Decreto nº 7.508/2011, deve
conter, no mínimo, as seguintes ações e
serviços:
Provas
Questão presente nas seguintes provas
Cadernos
Caderno Container