Foram encontradas 40 questões.

Qual o nível cervical destacado?
Provas
O sinal do duplo contorno da cartilagem está presente em qual das patologias abaixo:
Provas
A doença de Freiberg acomete:
Provas
Qual tendão pertence ao III compartimento extensor do antebraço?
Provas
Paciente portador de DPOC (doença pulmonar obstrutiva crônica), refere com única queixa falta de ar aos grandes esforços, realiza uma tomografia de toráx de rotina. Na transição toracoabdominal é evidenciada pneumomatose dos cólons. Qual a melhor explicação e conduta?
Provas
O divertículo de Meckel ocorre com mais frequência:
Provas
O fluxo sanguíneo nas veias hepáticas e cava inferior na síndrome de Budd- Chiari, pode apresentar algumas características, EXCETO:
Provas
O ligamento redondo do fígado é formado por:
Provas
Os tendões que compõem a pata anserina são:
Provas
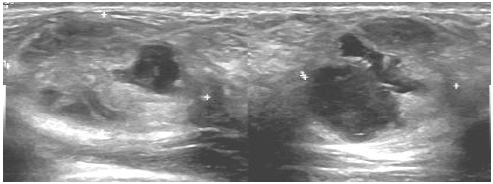
Paciente puérpera com 33 anos, informa que há duas semanas, durante amamentação, palpou um nódulo na mama direita.


O achado encontrado no exame de imagem classifica-se como:
Provas
Caderno Container