Foram encontradas 40 questões.
Sobre a estenose hipertrófica do piloro, assinale a alternativa CORRETA:
Provas
Sobre os acidentes vasculares isquêmicos, assinale a alternativa CORRETA:
Provas
Sobre os estágios evolutivos do hematoma intraparenquimatoso (TC E RM), assinale a alternativa CORRETA:
Provas
Com o intuito de minimizar as chances de ocorrência de reação aguda de hipersensibilidade ao meio de contraste, recomenda-se preferencialmente, a utilização de contrastes:
Provas
Sobre as mal formações congênitas infratentoriais assinale a alternativa CORRETA:
Provas
Sobre cranioestenoses, assinale a alternativa CORRETA:
Provas
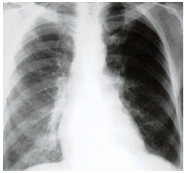
Assinale a alternativa que apresenta o sinal observado no raio x:

Provas
Sobre os tipos de radiações, assinale a alternativa CORRETA:
Provas
A exposição dos ovários às radiações pode acarretar efeitos severos no feto durante a gestação e, portanto, tem limitação de dose específica, sabendo disso, assinale a alternativa CORRETA:
Provas
Os princípios que norteiam a radioproteção para prevenção ou diminuição dos efeitos somáticos das radiações e a redução da deterioração genética das populações são:
Provas
Caderno Container