Foram encontradas 40 questões.
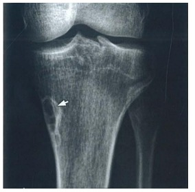
Radiografia realizada em paciente do sexo masculino de 17 anos demonstra a lesão radioluminescente com bordas escleróticas apontada pelas setas na figura. O diagnóstico CORRETO é:

Provas
Tomografia do joelho abaixo demonstra falha óssea na face lateral do côndilo femoral medial (apontada pelas setas). O diagnóstico CORRETO é:

Provas
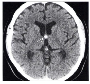
Tomografia do crânio sem contraste em corte axial ao nível do forame de Monro demonstra a imagem apontada pela seta na figura abaixo. O diagnóstico CORRETO é:

Provas
A presença de schwannomas vestibulares bilaterais é patognomônica de:
Provas
A respeito dos meningiomas assinale a alternativa CORRETA:
Provas
O enema opaco com duplo contraste ilustrado a seguir evidencia uma doença bastante prevalente. A respeito desta doença, assinale a alternativa CORRETA:

Provas
Dor no hipocôndrio direito devido à obstrução extrínseca do ducto hepático comum por cálculo impactado no infundíbulo da vesícula biliar corresponde a qual condição:
Provas
A respeito dos efeitos biológicos da radiação ionizante, é CORRETO o que se afirma em:
Provas
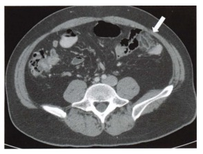
Mulher de 29 anos inicia com dor abdominal aguda em flanco esquerdo. O sintoma é bem localizado e a paciente consegue apontar o local exato da dor. Realizada tomografia com contraste endovenoso que evidencia densificação focal da gordura pericolônica esquerda, na borda antimesentérica, com aspecto em “dedo de luva”, apontado pela seta na figura abaixo. Assinale a alternativa com o diagnóstico CORRETO:

Provas
Paciente de 30 anos desenvolveu cordão doloroso visível e palpável no quadrante súperolateral da mama esquerda. Realizada ultrassonografia que detectou uma veia superficial trombosada sem fluxo ao Doppler. A respeito desta condição, assinale a alternativa CORRETA:
Provas
Caderno Container