Foram encontradas 40 questões.
E CORRETO afirmar em relação as bacteriúrias assintomaticas em mulheres gestantes e não gestantes conforme recomendações da SBI, FEBRASGO, SBU e SBPC/ML 2020:
Provas
Em relação ao manejo da Dengue conforme documento de janeiro de 2023 em conjunto entre CRS/CCD/CVE-SP, e CORRETO afirmar:
Provas
Em relação a vacina para Dengue recentemente incorporada pelo SUS, em dezembro de 2023 e CORRETO afirmar:
Provas
Criança de 10 anos, procedente de Bauru, admitida no Pronto Atendimento Infantil após picada de escorpião ocorrida ha cerca de 5 horas. Da entrada com sialorreia, sudorese e vômito, bradicardia (45bpm), pressão arterial 85x40mmHg e taquipneia (34 ipm), relatando muita dor em região da picada e dor toracica. Em relação ao atendimento inicial, e CORRETO:
Provas
Em um acidente ofídico ocorrido no município de Presidente Alves (SP), o paciente foi trazido após 3 horas do ocorrido para o Pronto Socorro Central de Bauru para a administração de soro antiofídico, tendo sido classificado como acidente botrópico grave, com formação de bolhas e sinais de hipoperfusão de membro acometido. Em relação a quantidade mínima de ampolas de soro antibotrópico a ser prescrita, e CORRETO:
Provas
Assinale a alternativa INCORRETA:
Provas
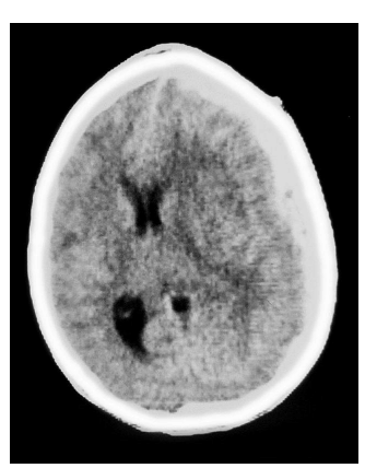
Paciente de 68 anos, previamente hígido, sem comorbidades, da entrada no PS trazido pelo SAMU, com história de queda do telhado ha meia hora. No atendimento inicial, na sala de emergência, paciente com PA 80x50 mmHg, FC 112, Glasgow 5. Colocado sob ventilação mecânica, recebendo droga vasoativa em cateter venoso central, coletados exames, foi encaminhado a Tomografia:

A tomografia evidenciou Hematoma Subdural Agudo, com efeito de massa, compressão ventricular e desvio de linha média.
Contactada equipe da neurocirurgia que, após avaliação especializada, indicou cirurgia de emergência para descompressão. Iniciado tambem, anticonvulsivantes, ainda na sala de emergência. Após cirurgia, paciente foi encaminhado a UTI para cuidados de pós-operatório. Permaneceu estavel por 3 dias, ainda sob ventilação mecânica. Recebeu apenas 24 horas de profilaxia cirúrgica com cefuroxima. No 3º PO, evoluiu com crises convulsivas e febre; submetido a nova TC de crânio que mostrou discreto edema e status pós-operatório. Houve piora da leucocitose no hemograma bem como aumento no PCR Coletado líquor que mostrou: 1540 celulas, predomínio de neutrófilos 80%, glicorraquia 37 e proteinorraquia 176.
Assinale a alternativa CORRETA com relação ao agente etiológico provavel e terapia antimicrobiana empírica:
Provas
Assinale a alternativa INCORRETA sobre o HPV:
Provas
Paciente, adolescente de 17 anos, comparece a UPA, em uma quarta-feira, referindo que ha 2 dias, iniciou quadro de febre (38,7°C) e mialgia. Evoluiu com queda do estado geral, fadiga e dor de garganta. Nega comorbidades, nega uso de medicações rotineiras, mas relatou que no último sabado, esteve em uma “heavy” onde permaneceu por quase toda a noite.
Após avaliação medica criteriosa, apresentava-se em regular estado geral, desidratada, com níveis pressóricos estaveis, bem como FC e FR. Orofaringe com placas bilaterais, adenomegalia cervical bilateral, sem alterações no exame cardiopulmonar. Sem visceromegalias, mas com lesões de pele disseminadas semelhantes a exantema. Exames laboratoriais mostraram hemograma com discreta leucocitose, porem, com linfocitose e presença de linfócitos atípicos, plaquetas dentro da normalidade, alem de alterações discretas nas transaminases.
Assinale a principal hipótese diagnóstica, agente etiológico e tratamento:
Provas
Quanto a Esporotricose, assinale a alternativa CORRETA:
Provas
Caderno Container