Magna Concursos

Foram encontradas 50 questões.

3782870 Ano: 2024
Disciplina: Medicina
Banca: FUMARC
Orgão: Pref. Betim-MG
Provas:
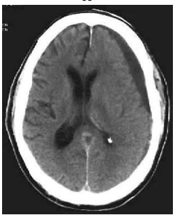
Senhor Liberato Tavares, 77 anos, comparece à emergência médica, trazido por filho. Evoluindo nas últimas semanas com letargia e confusão mental. Portador de hipertensão arterial sistêmica, hipotireoidismo e diabetes mellitus tipo 2, em uso regular de medicações e acompanhamento com clínico assistente. Há relato do filho de episódios prévios de tontura ao se levantar e TCE (traumatismo crânio encefálico) repetidos nos últimos meses, tendo último evento conhecido de ocorrência há 30 dias. Realizada tomografia em urgência abaixo:

Enunciado 4613429-1


FONTE: https://emedicine.medscape.com/article/247472-overview?form=fpf, acesso em: jun. 2024

Baseado na história clínica e na imagem:
 

Provas

Questão presente nas seguintes provas
3782869 Ano: 2024
Disciplina: Saúde Pública
Banca: FUMARC
Orgão: Pref. Betim-MG
Provas:
Sobre a imunização de adultos, assinale a afirmativa CORRETA:
 

Provas

Questão presente nas seguintes provas
3782868 Ano: 2024
Disciplina: Medicina
Banca: FUMARC
Orgão: Pref. Betim-MG
Provas:
A artrite reumatoide (AR) é uma doença inflamatória crônica de etiologia desconhecida, podendo causar destruição articular irreversível após estímulo possivelmente autoimune ou infeccioso. Além das manifestações articulares, a AR pode cursar com alterações de múltiplos órgãos e reduzir a expectativa de vida. As consequências da AR são: piora da qualidade de vida, incapacidade funcional, perda de produtividade e altos custos para a sociedade.
Considerando conhecimento sobre a doença, assinale a afirmativa CORRETA:
 

Provas

Questão presente nas seguintes provas
3782867 Ano: 2024
Disciplina: Medicina
Banca: FUMARC
Orgão: Pref. Betim-MG
Provas:
Carlos, homem de 32 anos, possui asma desde a infância, sendo referenciado para centro especializado em doenças pulmonares. Segundo relatório anexado a encaminhamento, ele tem sido atendido em crises de asma nos últimos 4 meses, em média de 1 a 2 vezes ao mês, com relato de uso frequente de corticoide oral e Salbutamol inalatório. Nas últimas 4 semanas, apresentou sintomas de asma durante o dia em torno de 2 vezes por semana, acordou à noite com sintomas de asma 1 vez por semana e informa limitação de suas atividades habituais. Nega tabagismo ou outras comorbidades. Trabalha como vendedor em loja de eletrônicos.

Sobre o caso clínico, considerando o manejo de asma preconizado pelo GINA 2023 (GLOBAL INITIATIVE FOR ASTHMA), assinale a alternativa contendo a conduta mais adequada para o paciente em questão:
 

Provas

Questão presente nas seguintes provas
3782866 Ano: 2024
Disciplina: Medicina
Banca: FUMARC
Orgão: Pref. Betim-MG
Provas:
Ana Maria, mulher de 26 anos, juntamente com sua filha, Luíza, criança de 8 anos, moradoras de comunidade são atendidas em Pronto Atendimento com relato de diarreia líquida, explosiva, volumosa, fétida, esverdeada e com presença de restos alimentares nos últimos 3 meses. Episódios de diarreia são recorrentes e não acompanhados de febre. Já foram avaliados em Pronto Atendimento por diversas vezes, sendo prescrito hidratação, sintomáticos e já tendo sido solicitados exames eletivos, contudo, mãe alega ter perdido os pedidos de exames. A criança tem apresentado emagrecimento, comprometimento escolar e piora de crises que se tornam mais intensas e acompanhadas de dor abdominal ao ingerir leite.
Diante da história clínica, assinale a afirmativa CORRETA:
 

Provas

Questão presente nas seguintes provas
3782865 Ano: 2024
Disciplina: Medicina
Banca: FUMARC
Orgão: Pref. Betim-MG
Provas:
Júlia Miranda, mulher de 32 anos, sem comorbidades conhecidas, iniciou formação militar após aprovação em concurso em fase de treinamento intensivo. Há quatro dias, durante atividade física coletiva, sofreu trauma corto-contuso em região de panturrilha esquerda, com pequeno sangramento, sem atendimento médico, dada pequena extensão de lesão, sem necessidade de sutura. Vacina antitetânica atualizada. Cinco dias após evento, observa aumento de área de hiperemia perilesional e cursa com pico febril de 37.9°C. Procurou Pronto Atendimento, sendo iniciado Amoxicilina com Clavulanato. Após três dias do uso de antimicrobiano, cursou com piora importante de dor e picos febris intermitentes. Ao exame observado coleção flutuante em lesão, frequência cardíaca 111 bpm, pressão arterial: 104/62 mmHg, temperatura axilar: 38,4ºC.

Considerando o caso clínico descrito, assinale a mais ADEQUADA.
 

Provas

Questão presente nas seguintes provas
3782864 Ano: 2024
Disciplina: Medicina
Banca: FUMARC
Orgão: Pref. Betim-MG
Provas:
A Organização Mundial de Saúde estima que um quarto da população mundial tenha Infecção latente pelo M. tuberculosis (ILTB). Tais indivíduos não apresentam nenhum sintoma e não transmitem a doença, mas são reconhecidos por testes que detectam a imunidade contra o bacilo.
Sobre a ILTB, é CORRETO afirmar:
 

Provas

Questão presente nas seguintes provas
3782863 Ano: 2024
Disciplina: Medicina
Banca: FUMARC
Orgão: Pref. Betim-MG
Provas:
Paciente Joaquim Felício, 47 anos, admitido em um Pronto Atendimento com queixa de dor em flanco direito intensa no curso das últimas 6 horas. Informa que dor tem períodos de intensificação associados a náusea e sudorese. Sabidamente hipertenso, sem outras comorbidades. Informa etilismo social. À admissão, FC 91bpm, SpO2 ar ambiente 98%, PA: 140X100 mmHg, abdome plano, normotimpânico, dor espontânea em flanco direito, não piorada à palpação. Realizados exames laboratoriais com hemograma evidenciando global de leucócitos de 11.500, sem bastonemia, creatinina de 0,79 mg/dl e proteína C reativa de 7 mg/L, além de tomografia computadorizada sem contraste onde se viu borramento de gordura perirrenal à direita e cálculo de 6 mm em ureter proximal direito.

Mediante o quadro descrito, qual a terapia analgésica de primeira escolha e manejo subsequente?
 

Provas

Questão presente nas seguintes provas
3782862 Ano: 2024
Disciplina: Medicina
Banca: FUMARC
Orgão: Pref. Betim-MG
Provas:
Paciente João Ramos, 71 anos, tabagista ativo com carga tabágica de 80 maços/ano, portador de doença pulmonar obstrutiva crônica, iniciando acompanhamento ambulatorial em centro de referência em pneumologia, encaminhado via UBS de seu bairro. Refere necessidade de parar para respirar e recuperar o fôlego após poucos minutos caminhando em local plano. Menciona acessos de tosse frequentes, sensação de aperto no peito e falta de disposição durante o dia. No último ano esteve internado por 14 dias, com passagem pelo Centro de Terapia Intensiva. Trouxe exame feitos recentemente:

- Radiografia torácica em PA e perfil: aumento dos espaços intercostais, retificação de cúpulas diafragmáticas;
- Hemograma: Hemoglobina 14,1, Hematócrito 47%, Leucócitos 8990 (Segmentados: 79%, Linfócitos 12%, Monócitos 7%, Eosinófilos 2%);
- Espirometria: VEF1: 44% pós-broncodilatador; relação VEF1/CVF: 0,49 pós-broncodilatador

Considerando a história clínica e os dados fornecidos e de acordo com o GOLD 2023 (Global Initiative for Chronic Obstructive Lung Disease), marque a alternativa que apresenta a classificação e o tratamento inicial CORRETOS para este paciente:
 

Provas

Questão presente nas seguintes provas
3782861 Ano: 2024
Disciplina: Medicina
Banca: FUMARC
Orgão: Pref. Betim-MG
Provas:
Considerando o Código de Ética Médica, é CORRETO afirmar:
 

Provas

Questão presente nas seguintes provas