Foram encontradas 40 questões.
A classificação de Pell e Gregory é um método utilizado para classificar os terceiros molares impactados baseado na quantidade do dente impactado que está coberto com o osso do ramo mandibular.
Analise a imagem a seguir:

De acordo com a classificação de Pell e Gregory, a imagem refere-se a uma impactação:
Provas
Na técnica da bissetriz, devido à configuração anatômica e ao posicionamento do filme radiográfico na região de molares superiores, a imagem do processo zigomático da maxila pode se projetar sobre o ápice das raízes dos molares superiores, dificultando a sua interpretação.
Assinale a alternativa referente à técnica radiográfica intrabucal utilizada para solucionar tal situação.
Provas
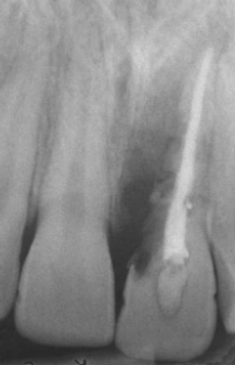
Analise a radiografia periapical a seguir:

Disponível em: Livro – Cirurgia Patologia Oral e Maxilofacial – Neville; Damn; Allen; & Bouquot. 3ª ed.
Assinale a alternativa que corresponde corretamente à condição apresentada pelo elemento dental 21.
Provas
De acordo com os traumas dentários, assinale a alternativa que contém a condição de apresentar sensibilidade à percussão, podendo manifestar leve grau de mobilidade e sinais clínicos de sangramento ao nível do sulco gengival.
Provas
Correlacione as colunas abaixo de acordo com os componentes do germe dental durante o estágio de capuz.
Coluna 1 Componentes
- Orgão do Esmalte
- Papila Dental
- Folículo Dental
Coluna 2 Descrição
( ) Substância condensada de ectomesênquima dentro da concavidade do órgão do esmalte.
( ) Formação do broto dental em forma de capuz com depressão central profunda.
( ) Substância condensada de ectomesênquima circunjacente ao órgão do esmalte.
Assinale a alternativa que indica a sequência correta, de cima para baixo.
Provas
O Ceratocisto Odontogênico é uma forma diferente de cisto odontogênico do desenvolvimento que merece consideração especial devido às suas características histopatológicas e comportamento clínico específico.
Identifique abaixo as afirmativas verdadeiras ( V ) e as falsas ( F ) em relação ao assunto.
( ) A mandíbula é mais acometida do que a maxila.
( ) Ceratocistos odontogênicos de grandes dimensões podem estar associados a dor, edema ou drenagem.
( ) O ceratocisto é definido como um cisto que se origina pela separação do folículo que fica ao redor da coroa de um dente incluso. Esse é o tipo mais comum de cisto odontogênico.
( ) Os ceratocistos odontogênicos tendem a crescer em uma direção ântero-posterior, dentro da cavidade medular do osso, sem causar expansão óssea óbvia. Essa característica pode ser útil para o diagnóstico diferencial clínico e radiográfico.
Assinale a alternativa que indica a sequência correta, de cima para baixo.
Provas
O dente é considerado um órgão do corpo humano. Todos os registros do banco de ossos e dentes e outros tecidos devem ser de caráter confidencial, respeitando o sigilo da identidade do doador e do receptor.
Diante disso, analise as afirmativas abaixo em relação à doação, ao transplante e ao banco de órgãos, tecidos e biomateriais encontrados no Código de Ética Odontológica.
- 1. Constitui infração ética descumprir a legislação referente ao banco de tecidos e dentes ou colaborar direta ou indiretamente com outros profissionais nesse descumprimento.
- 2. Constitui infração ética participar direta ou indiretamente da comercialização de órgãos e tecidos humanos.
- 3. Não constitui infração ética utilizar-se do nome de outro profissional para fins de retirada dos tecidos e dentes dos bancos relacionados.
- 4. Constitui infração ética, se da vontade do paciente, doar o dente para o banco de dentes.
Assinale a alternativa que indica todas as afirmativas corretas.
Provas
A anestesia local profunda é necessária para que o dente seja extraído sem dor aguda para o paciente. Para isso, é necessário que o Cirurgião-Dentista lembre precisamente das inervações de todos os dentes e tecidos moles adjacentes, assim como os tipos de injeções necessárias para anestesiar aqueles nervos completamente.
Sobre a inervação sensorial dos maxilares, analise a tabela a seguir:
| INERVAÇÃO SENSORIAL DOS MAXILARES |
||
| Nervo |
Dente | Tecido mole |
| Nervo alveolar inferior |
Todos os dentes mandibulares | 1 |
| Nervo alveolar anterossuperior |
2 | Tecido mole vestibular dos incisivos e caninos superiores |
| Nervo alveolar superior médio |
Pré-molares superiores e uma porção do primeiro molar superior | Tecido mole vestibular dos pré-molares superiores |
| Nervo alveolar posterossuperior |
Molares superiores exceto uma parte do primeiro molar | Tecido mole vestibular dos molares superiores |
Assinale a alternativa correta.
Provas
Durante a cicatrização de feridas, independentemente da causa da lesão tecidual não epitelial, inicia- se um processo estereotipado e, se for capaz de continuar sem impedimentos, trabalha para restaurar a integridade do tecido. Pode-se dividir o processo em três etapas: inflamatória, fibroplasia e remodelação.
Analise as afirmativas abaixo em relação ao abordado.
- A etapa inflamatória, na ausência de fatores que prolonguem a inflamação, dura de 3 a 5 dias.
- Os sinais cardinais da inflamação são calor e eritema causados por vasodilatação, edema causado por transudação de fluido, e a dor e perda de função causadas pela histamina, cininas e prostaglandinas liberadas por leucócitos, assim como pela pressão do edema.
- Na etapa de remodelação, a resistência da ferida aumenta lentamente, mas não com a mesma magnitude observada durante a etapa de fibroplasia. A resistência da ferida não atinge mais do que 80% a 85% da resistência do tecido não lesionado.
Assinale a alternativa que indica todas as afirmativas corretas.
Provas
Analise as afirmativas abaixo sobre os analgésicos empregados na clínica odontológica.
- O tramadol 500 mg possui um intervalo usual entre as doses de 8 h.
- A dipirona é contraindicada para pacientes com hipersensibilidade aos derivados da pirazolona, pelo risco de alergia cruzada.
- O ácido acetilsalicílico (AAS), apesar da sua boa atividade analgésica, é empregado com menos frequência em função de sua ação antiagregante plaquetária.
- O paracetamol é contraindicado para pacientes com história de alergia aos sulfitos, se empregado em solução oral “gotas” de paracetamol, que contém metabissulfito de sódio em sua composição.
Assinale a alternativa que indica todas as afirmativas corretas.
Provas
Caderno Container