Foram encontradas 40 questões.
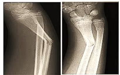
J.P.L., 5 anos, masculino, acompanhado pela mãe, dirigiu-se a um Centro de Reabilitação local para
tratamento de fratura. A imagem radiológica portada pela mãe está apresentada abaixo.

(Disponível em: https://th.bing.com/th/id/OIP.b1435X14h4meBDH0FQUgHAAAAA?rs=1&pid=ImgDetMain. Acesso em: 20/02/2024)
Após avaliação cinético funcional seguida de exames complementares, conclui-se tratar-se de

(Disponível em: https://th.bing.com/th/id/OIP.b1435X14h4meBDH0FQUgHAAAAA?rs=1&pid=ImgDetMain. Acesso em: 20/02/2024)
Após avaliação cinético funcional seguida de exames complementares, conclui-se tratar-se de
Provas
Questão presente nas seguintes provas
Músculo é considerado ativo quando estimulado pelo sistema nervoso. Sobre tipos de ativação muscular,
analise as afirmativas.
I. Ativação isométrica ocorre quando um músculo está produzindo uma força de tração mantendo um comprimento constante. O torque interno dentro de um dado plano da articulação é igual ao torque externo.
II. Ativação concêntrica ocorre quando o músculo possui uma força de tração ao contrair-se. O torque interno na articulação excede ao torque externo.
III. Ativação excêntrica ocorre quando o músculo produz uma força de tração enquanto é alongado por outra força dominante. O torque externo ao redor da articulação é menor que o toque interno.
IV. Ativação isocinética ocorre com o exercício que, em velocidades angulares baixas, solicita força muito pequena em todo arco de movimento, permitindo menores ganhos, seja em termos de treinamento ou terapêuticos.
Está correto o que afirma em
I. Ativação isométrica ocorre quando um músculo está produzindo uma força de tração mantendo um comprimento constante. O torque interno dentro de um dado plano da articulação é igual ao torque externo.
II. Ativação concêntrica ocorre quando o músculo possui uma força de tração ao contrair-se. O torque interno na articulação excede ao torque externo.
III. Ativação excêntrica ocorre quando o músculo produz uma força de tração enquanto é alongado por outra força dominante. O torque externo ao redor da articulação é menor que o toque interno.
IV. Ativação isocinética ocorre com o exercício que, em velocidades angulares baixas, solicita força muito pequena em todo arco de movimento, permitindo menores ganhos, seja em termos de treinamento ou terapêuticos.
Está correto o que afirma em
Provas
Questão presente nas seguintes provas
A Tetralogia de Fallot é um exemplo de cardiopatia congênita caracterizada por
Provas
Questão presente nas seguintes provas
O aumento da longevidade e da consequente proporção de idosos na população brasileira determina a
preocupação a respeito de eventos incapacitantes nessa faixa etária, sendo um deles a ocorrência de quedas,
que podem ter sérias consequências físicas e psicológicas, incluindo lesões, hospitalizações, restrição da
atividade, declínio funcional, institucionalização e até a morte. Sobre exercícios físicos indicados para
prevenção de quedas em idosos, analise as afirmativas.
I. Exercícios para treino de Endurance contínuo, na zona de treinamento acima de 85% da FC máx.
II. Atividades físicas que promovam aumento de força e tônus muscular.
III. Exercícios de equilíbrio para garantir independência funcional.
IV. Atividades físicas que promovam mobilidade e estabilidade postural.
Está correto o que se afirma em
I. Exercícios para treino de Endurance contínuo, na zona de treinamento acima de 85% da FC máx.
II. Atividades físicas que promovam aumento de força e tônus muscular.
III. Exercícios de equilíbrio para garantir independência funcional.
IV. Atividades físicas que promovam mobilidade e estabilidade postural.
Está correto o que se afirma em
Provas
Questão presente nas seguintes provas
Paciente de 76 anos, feminina, eutrófica, internada para investigação diagnóstica após queda da própria
altura, apresentando-se dispneica, com desconforto respiratório, acianótica, com confusão mental. Exame
físico:

Respiração espontânea com suporte de oxigênio a 2 litros/minuto, tosse produtiva. Exames preliminares de Rx de tórax mostram opacificação de padrão homogêneo na porção inferior do pulmão esquerdo compatível com pneumonia. Hemograma com leucocitose e os valores da gasometria arterial foram: pH: 7,46; PCO2: 32 mmHg; PO2: 47 mmHg; HCO3: 24 mEq/L; BE: + 2; SpO2: 84%.
Evoluiu com quadro de insuficiência respiratoria (IRpA) classificada como

Respiração espontânea com suporte de oxigênio a 2 litros/minuto, tosse produtiva. Exames preliminares de Rx de tórax mostram opacificação de padrão homogêneo na porção inferior do pulmão esquerdo compatível com pneumonia. Hemograma com leucocitose e os valores da gasometria arterial foram: pH: 7,46; PCO2: 32 mmHg; PO2: 47 mmHg; HCO3: 24 mEq/L; BE: + 2; SpO2: 84%.
Evoluiu com quadro de insuficiência respiratoria (IRpA) classificada como
Provas
Questão presente nas seguintes provas
- Fisioterapia em Traumato-ortopedia e Reumatologia
- Ortopedia e Traumatologia na Fisioterapia
- Fisioterapia GeralAvaliação funcional
Sobre testes especiais para articulação do ombro, analise as afirmativas.
I. Teste de Jobe avalia o tendão do supraespinhoso.
II. Teste de Patte avalia o tendão do infraespinhoso.
III. Teste de Gerber (lift off test) avalia o tendão subescapular.
IV. Teste de Yergason avalia o tendão do bíceps.
Está correto o que se afirma em
Provas
Questão presente nas seguintes provas
Considera-se contraindicação para uso da crioterapia:
Provas
Questão presente nas seguintes provas
Quanto à avaliação da reatividade pupilar à luz, assinale a alternativa correta.
Provas
Questão presente nas seguintes provas
O socorrista do SAMU chega à cena de um acidente e ao avaliar o paciente, este não apresenta abertura
ocular. Ele emite sons que não chega a formar palavras, apresenta movimento de retirada ao estímulo
doloroso. Qual sua pontuação na escala de Glasgow?
Provas
Questão presente nas seguintes provas
Sobre neuropatia periférica, marque V para as afirmativas verdadeiras e F para as falsas.
( ) Neuropatia diabética ocorre no contexto de glicemia elevada de longa data, dor de característica contínua; pode apresentar disfunção disautonômica.
( ) Neuropatia motora pura é um distúrbio que afeta qualquer nível da unidade motora – células do corno anterior, axônio motor ou junção neuromuscular.
( ) Neuropatia radial, caracterizada por paralisia radial completa que resulta em deformidade típica de mão em garra, associada a atrofia e fraqueza dos músculos da mão.
( ) Neuropatia autonômica inicia com fraqueza dos pés, sem sintomas sensoriais prévios, reflexo patelar abolido; apresenta pé equino e instabilidade da marcha.
Assinale a sequência correta.
( ) Neuropatia diabética ocorre no contexto de glicemia elevada de longa data, dor de característica contínua; pode apresentar disfunção disautonômica.
( ) Neuropatia motora pura é um distúrbio que afeta qualquer nível da unidade motora – células do corno anterior, axônio motor ou junção neuromuscular.
( ) Neuropatia radial, caracterizada por paralisia radial completa que resulta em deformidade típica de mão em garra, associada a atrofia e fraqueza dos músculos da mão.
( ) Neuropatia autonômica inicia com fraqueza dos pés, sem sintomas sensoriais prévios, reflexo patelar abolido; apresenta pé equino e instabilidade da marcha.
Assinale a sequência correta.
Provas
Questão presente nas seguintes provas
Cadernos
Caderno Container