Foram encontradas 50 questões.
Texto 12A4-II
Homem com 66 anos de idade comparece ao ambulatório de geriatria devido a emagrecimento de 10% da massa corporal em um ano. Relata perda de apetite por disgeusia, após infecção por covid-19.
Os resultados do exame clínico do paciente revelam IMC de 19 kg/m2 , força de preensão palmar de 21 kgf, circunferência de panturrilha de 29 cm.
Sem medicação de uso contínuo, o paciente refere ser portador de síndrome da apneia obstrutiva do sono (SAOS), para a qual faz tratamento com CPAP. Os resultados de exames complementares revelam: hematócrito 54%, testosterona total de 280 ng/dL e PSA total de 3 ng/mL.
Provas
Texto 12A4-II
Homem com 66 anos de idade comparece ao ambulatório de geriatria devido a emagrecimento de 10% da massa corporal em um ano. Relata perda de apetite por disgeusia, após infecção por covid-19.
Os resultados do exame clínico do paciente revelam IMC de 19 kg/m2 , força de preensão palmar de 21 kgf, circunferência de panturrilha de 29 cm.
Sem medicação de uso contínuo, o paciente refere ser portador de síndrome da apneia obstrutiva do sono (SAOS), para a qual faz tratamento com CPAP. Os resultados de exames complementares revelam: hematócrito 54%, testosterona total de 280 ng/dL e PSA total de 3 ng/mL.
Provas
Texto 12A4-I
Uma paciente com 64 anos de idade é atendida em ambulatório de geriatria, onde relata tosse crônica há 10 anos. Há 3 dias, ela apresenta escarro de cor amarelo-esverdeado, principalmente no período noturno, com notável dispneia. Refere fumar desde os 24 anos de idade, em uma média de 10 cigarros por dia, além de ser portadora de tireoidite de Hashimoto, hipertensão e diabetes.
No exame clínico, a paciente apresenta-se lúcida e orientada, com 16 incursões respiratórias por minuto, afebril, pressão arterial de 130 mmHg × 80 mmHg, roncos na base pulmonar bilateral, hidratada e com diurese preservada.
São medicações de uso constante da paciente: levotiroxina, enalapril, sinvastatina, anlodipino, sitagliptina e pioglitazona.
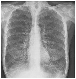
Os resultados de exames complementares feitos no dia da consulta revelam: creatinina de 0,7, ureia de 30, leucócito de 5.000, sem distúrbios hidroeletrolíticos, com PCR de 40. A imagem da radiografia de tórax é mostrada a seguir.

Provas
Texto 12A4-I
Uma paciente com 64 anos de idade é atendida em ambulatório de geriatria, onde relata tosse crônica há 10 anos. Há 3 dias, ela apresenta escarro de cor amarelo-esverdeado, principalmente no período noturno, com notável dispneia. Refere fumar desde os 24 anos de idade, em uma média de 10 cigarros por dia, além de ser portadora de tireoidite de Hashimoto, hipertensão e diabetes.
No exame clínico, a paciente apresenta-se lúcida e orientada, com 16 incursões respiratórias por minuto, afebril, pressão arterial de 130 mmHg × 80 mmHg, roncos na base pulmonar bilateral, hidratada e com diurese preservada.
São medicações de uso constante da paciente: levotiroxina, enalapril, sinvastatina, anlodipino, sitagliptina e pioglitazona.
Os resultados de exames complementares feitos no dia da consulta revelam: creatinina de 0,7, ureia de 30, leucócito de 5.000, sem distúrbios hidroeletrolíticos, com PCR de 40. A imagem da radiografia de tórax é mostrada a seguir.

Provas
Texto 12A4-I
Uma paciente com 64 anos de idade é atendida em ambulatório de geriatria, onde relata tosse crônica há 10 anos. Há 3 dias, ela apresenta escarro de cor amarelo-esverdeado, principalmente no período noturno, com notável dispneia. Refere fumar desde os 24 anos de idade, em uma média de 10 cigarros por dia, além de ser portadora de tireoidite de Hashimoto, hipertensão e diabetes.
No exame clínico, a paciente apresenta-se lúcida e orientada, com 16 incursões respiratórias por minuto, afebril, pressão arterial de 130 mmHg × 80 mmHg, roncos na base pulmonar bilateral, hidratada e com diurese preservada.
São medicações de uso constante da paciente: levotiroxina, enalapril, sinvastatina, anlodipino, sitagliptina e pioglitazona.
Os resultados de exames complementares feitos no dia da consulta revelam: creatinina de 0,7, ureia de 30, leucócito de 5.000, sem distúrbios hidroeletrolíticos, com PCR de 40. A imagem da radiografia de tórax é mostrada a seguir.

Provas
Provas
Provas
Provas
A respeito das imunizações indicadas para idosos, julgue os itens a seguir.
I A vacina contra influenza é constituída por vírus vivo atenuado e é contraindicada para idosos com alergia a ovo de galinha.
II As vacinas pneumocócicas são indicadas para todos os idosos com 60 anos de idade ou mais.
III A vacina contra herpes-zóster é constituída por vírus vivo atenuado e pode ser aplicada simultaneamente com outras vacinas.
IV A vacina contra tétano, difteria e coqueluche deve ser aplicada em todos os idosos que receberam esquema completo e repetida a cada dez anos.
Assinale a opção correta.
Provas
Provas
Caderno Container