Foram encontradas 50 questões.
A icterícia é um dos problemas mais comuns no período
neonatal, sendo caracterizada por expressão clínica
Provas
Questão presente nas seguintes provas
É correto afirmar que a replicação viral, que ocorre no
interior da célula do hospedeiro, evolui seguindo as
etapas de:
Provas
Questão presente nas seguintes provas
O metabolismo celular é frequentemente alterado em células cancerígenas devido à ativação oncogênica, que induz
mudanças significativas nas vias metabólicas.
Assinale a alternativa que apresenta, corretamente, as características metabólicas associadas à ativação oncogênica.
Assinale a alternativa que apresenta, corretamente, as características metabólicas associadas à ativação oncogênica.
Provas
Questão presente nas seguintes provas
Os laboratórios de análises clínicas devem participar de programas vigentes que avaliem continuamente a qualidade de seu desempenho. Essas avaliações são realizadas para garantir a obtenção de resultados laboratoriais confiáveis. Os gráficos apresentados mostram os resultados dos controles normais do analito CK
(creatinoquinase) durante o mês de fevereiro nos anos de 2022 e 2023, de um laboratório de análises clínicas do ABC
paulista, São Paulo.
(Arquivo pessoal; imagem usada com autorização)
Com base na análise dos dados, qual é a interpretação correta sobre o desempenho dos controles nesses dois períodos?
(Arquivo pessoal; imagem usada com autorização)
Com base na análise dos dados, qual é a interpretação correta sobre o desempenho dos controles nesses dois períodos?
Provas
Questão presente nas seguintes provas
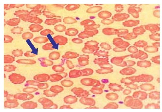
A figura a seguir apresenta um esfregaço de sangue
venoso, em que são visíveis formas características de
um protozoário flagelado. Esse parasita é transmitido por
insetos triatomíneos e está associado a uma doença tropical de grande impacto na América Latina.
(Arquivo pessoal; imagem usada com autorização)
Qual é a doença representada na figura?
(Arquivo pessoal; imagem usada com autorização) Qual é a doença representada na figura?
Provas
Questão presente nas seguintes provas
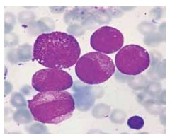
Tipo de leucemia aguda que ocorre quando há uma translocação entre os cromossomos 15 e 17, acontecendo,
assim, um gene anormal e causando uma infiltração na
medula óssea deste tipo celular.
Essas células anormais produzem quantidades excessivas de um fator que ativa o processo de coagulação do sangue e de citocinas. Todo esse excesso faz com que também haja uma enorme produção de trombina e acaba por gerar diversos coágulos sanguíneos, o que aumenta o risco de trombose.
(Arquivo pessoal; imagem usada com autorização)
De qual celularidade trata o enunciado?
Essas células anormais produzem quantidades excessivas de um fator que ativa o processo de coagulação do sangue e de citocinas. Todo esse excesso faz com que também haja uma enorme produção de trombina e acaba por gerar diversos coágulos sanguíneos, o que aumenta o risco de trombose.
(Arquivo pessoal; imagem usada com autorização)
De qual celularidade trata o enunciado?
Provas
Questão presente nas seguintes provas
Paciente feminina, 35 anos, deu entrada no Hospital de
Clínicas de São Paulo, com quadro de trombose venosa
profunda (TVP) em membro inferior direito; foi tratada
com rivaroxabana. Após 09 meses, manifestou outro
episódio de TVP em membro inferior esquerdo, redução
da acuidade visual bilateralmente e tromboembolismo
pulmonar em vigência de rivaroxabana. Suspeita-se de
trombofilia adquirida.
Em face do exposto, o exame sanguíneo específico para trombofilia adquirida que deve ser realizado para confirmação é:
Em face do exposto, o exame sanguíneo específico para trombofilia adquirida que deve ser realizado para confirmação é:
Provas
Questão presente nas seguintes provas
O estadiamento nas neoplasias auxilia na escolha de
tratamento, como cirurgia, quimioterapia, radioterapia,
terapias-alvo e imunoterapia.
Qual sistema de estadiamento é utilizado para classificar as doenças no contexto do linfoma de Hodgkin e do linfoma não Hodgkin?
Qual sistema de estadiamento é utilizado para classificar as doenças no contexto do linfoma de Hodgkin e do linfoma não Hodgkin?
Provas
Questão presente nas seguintes provas
Em um quadro clínico com suspeita de infarto agudo do
miocárdio, o corpo médico solicita, para confirmação,
um eletrocardiograma, no qual a principal alteração é o
supradesnivelamento do ST, além da dosagem das enzimas cardíacas, na qual a principal alteração é o supradesnivelamento de ST e a dosagem de enzimas cardíacas.
Com relação às troponinas cardioespecíificas, assinale a alternativa correta.
Com relação às troponinas cardioespecíificas, assinale a alternativa correta.
Provas
Questão presente nas seguintes provas
Paciente do sexo masculino, 51 anos, natural da cidade litorânea do estado de São Paulo. Procurou o pronto atendimento
em uma UPA, pois sentia-se debilitado, apresentando febre intermitente e com ciclos regulares de até dois dias, mialgia e
artralgia e distúrbios gastrointestinais. Realizou um hemograma, que apresentou o seguinte resultado:
Legenda: Laudo do hemograma.
Legenda: Esfregaço de sangue periférico do paciente.
(LABFMABC do Centro Universitário FMABC. Imagem usada com autorização)
Depois de feita a leitura do esfregaço, outra técnica foi realizada para complementação. As inclusões eritrocitárias revelam a presença de:
Legenda: Laudo do hemograma.
Legenda: Esfregaço de sangue periférico do paciente.
(LABFMABC do Centro Universitário FMABC. Imagem usada com autorização)
Depois de feita a leitura do esfregaço, outra técnica foi realizada para complementação. As inclusões eritrocitárias revelam a presença de:
Provas
Questão presente nas seguintes provas
Cadernos
Caderno Container