Magna Concursos

Foram encontradas 1.287 questões.

3698343 Ano: 2025
Disciplina: Medicina
Banca: VUNESP
Orgão: Pref. Campinas-SP
Provas:
Em relação às principais causas de demência, quais sinais e sintomas são úteis para diferenciar a demência de corpos de Lewy (DLB) da doença de Alzheimer (DA) em um paciente com comprometimento cognitivo moderado?
 

Provas

Questão presente nas seguintes provas
3698342 Ano: 2025
Disciplina: Medicina
Banca: VUNESP
Orgão: Pref. Campinas-SP
Provas:
Em um paciente com fraqueza muscular proximal progressiva e níveis elevados de CK, qual o achado, em uma ressonância magnética muscular, é indicativo consistente de miopatia necrotizante autoimune?
 

Provas

Questão presente nas seguintes provas
3698341 Ano: 2025
Disciplina: Medicina
Banca: VUNESP
Orgão: Pref. Campinas-SP
Provas:
Na suspeita de meningite bacteriana com sinais de hipertensão intracraniana, a conduta inicial mais apropriada antes da confirmação diagnóstica por punção lombar é:
 

Provas

Questão presente nas seguintes provas
3698340 Ano: 2025
Disciplina: Medicina
Banca: VUNESP
Orgão: Pref. Campinas-SP
Provas:
Mulher, 42 anos, previamente saudável, apresenta déficit motor súbito do lado esquerdo durante um esforço físico intenso. A tomografia revelou infarto na artéria cerebral média direita. A avaliação inicial não encontrou trombose venosa profunda ou fibrilação atrial. Um ecocardiograma transesofágico confirmou a presença de PFO com shunt significativo e aneurisma do septo atrial.
Qual seria a melhor estratégia de manejo?
 

Provas

Questão presente nas seguintes provas
3698339 Ano: 2025
Disciplina: Medicina
Banca: VUNESP
Orgão: Pref. Campinas-SP
Provas:
Em pacientes diagnosticados com glioblastoma multiforme, qual estratégia terapêutica demonstrou maior benefício na sobrevida global, segundo estudos clínicos randomizados?
 

Provas

Questão presente nas seguintes provas
3698338 Ano: 2025
Disciplina: Medicina
Banca: VUNESP
Orgão: Pref. Campinas-SP
Provas:
Um paciente de 45 anos, masculino, apresenta fraqueza muscular proximal progressiva, elevação significativa de creatina quinase (CK) e sinais inflamatórios na biópsia muscular.
O achado adicional que aumenta a suspeita de miopatia inflamatória paraneoplásica é:
 

Provas

Questão presente nas seguintes provas
3698337 Ano: 2025
Disciplina: Medicina
Banca: VUNESP
Orgão: Pref. Campinas-SP
Provas:
Em pacientes com enxaqueca crônica refratária, qual intervenção terapêutica requer a identificação de padrões específicos de dor e um teste diagnóstico-terapêutico antes de sua implementação?
 

Provas

Questão presente nas seguintes provas
3698336 Ano: 2025
Disciplina: Medicina
Banca: VUNESP
Orgão: Pref. Campinas-SP
Provas:
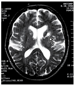
Um paciente de 75 anos com histórico de hipertensão e fibrilação atrial em uso de rivaroxabana (20 mg/dia) apresenta disartria súbita. A ecocardiografia transtorácica revelou dilatação moderada do átrio esquerdo e hipertrofia ventricular esquerda, mas sem trombos intracardíacos. O monitoramento contínuo não detectou fibrilação atrial adicional. A avaliação inicial com ressonância magnética encontra-se a seguir. Enunciado 4448958-1 (https://www.google.com/url?sa=i&url=https%3A%2F%2Fanatpat.unicamp. br%2Fradlacunaris1.html&psig=AOvVaw1FPStQZC4RupNqKV2_4rG7&u st=1734781327580000&source=images&cd=vfe&opi=89978449&ved=0CBQ QjRxqFwoTCNDSqJ-itooDFQAAAAAdAAAAABAE)
Com base no quadro clínico e nas diretrizes atuais, o próximo passo mais apropriado no manejo do paciente é:
 

Provas

Questão presente nas seguintes provas
3698335 Ano: 2025
Disciplina: Medicina
Banca: VUNESP
Orgão: Pref. Campinas-SP
Provas:
Uma mulher de 48 anos apresenta febre de início súbito, confusão mental progressiva e alterações de comportamento, incluindo episódios de fala incoerente. Exames iniciais revelam temperatura de 38,7 °C e ausência de sinais meníngeos. A ressonância magnética mostra hiperintensidades assimétricas nos lobos temporais. O líquor revela pleocitose linfocítica e proteína elevada.
Assinale a alternativa que apresenta a melhor abordagem terapêutica inicial neste caso.
 

Provas

Questão presente nas seguintes provas
3698334 Ano: 2025
Disciplina: Fisioterapia
Banca: VUNESP
Orgão: Pref. Campinas-SP
Em uma sessão de cinesioterapia para um paciente com lombalgia crônica, qual é o tipo de exercício mais recomendado para ativação dos músculos estabilizadores profundos?
 

Provas

Questão presente nas seguintes provas