Foram encontradas 203 questões.
Disciplina: Direito da Criança e do Adolescente
Banca: IBGP
Orgão: Pref. Campo Belo-MG
- ECAGeralDireitos Fundamentais (art. 7º ao 69)Do Direito à Educação, à Cultura, ao Esporte e ao Lazer (Art. 53 a 59)
De acordo com o artigo 54, do Estatuto da Criança e do Adolescente, NÃO é dever do Estado assegurar à criança e ao adolescente:
Provas
Considere as informações a seguir, extraídas do sistema de informação contábil da Prefeitura de Campo Belo/MG, referentes ao exercício de 2020.
Despesa fixada .......................................... R$ 1.340.000,00
Reabertura de créditos adicionais .............. R$ 35.000,00
Despesa empenhada .................................. R$ 1.310.000,00
Despesa liquidada ..................................... R$ 1.190.000,00
Despesa paga ............................................ R$ 1.145.000,00
Assinale a alternativa que apresenta CORRETAMENTE o montante dos restos a pagar não-processados e dos processados ao final do exercício, respectivamente:
Provas
O espectro das Doenças Transmitidas por Alimentos (DTA) tem aumentado nos últimos anos e novos agentes responsáveis por manifestações severas têm sido identificados.
Nesse contexto, assinale a alternativa que NÃO apresenta um agente causador das DTA.
Provas
Sobre os requisitos gerais das condições higiênicosanitárias dos estabelecimentos elaboradores/industrializadores de alimentos constantes no Regulamento Técnico da Portaria nº 368, de 4 de setembro de 1997 – MAPA, é INCORRETO afirmar que:
Provas
Leia o texto a seguir:
“Consiste no aumento ativo assistido ou passivo do volume de ar expirado com o objetivo de mobilizar, deslocar e eliminar secreções traqueobrônquicas. Consiste em um movimento toracoabdominal sincronizado. Dessa maneira, promove-se um esvaziamento passivo do ar presente nos pulmões, facilitando o deslocamento de secreções. A forma passiva da técnica é, normalmente, realizada em crianças sem nível de colaboração. A forma ativa assistida consiste em o paciente realizar a expiração com a glote aberta, necessitando do terapeuta para a pressão manual, e a ativa consiste na participação plena do paciente.”
Sobre a modalidade fisioterápica respiratória descrita, assinale a alternativa CORRETA:
Provas
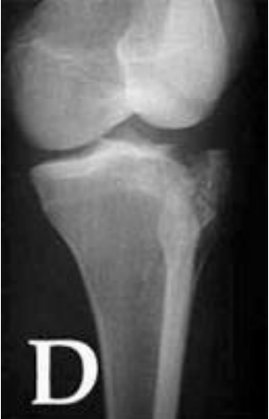
Observe a projeção radiográfica para fratura tibial superior, a seguir:

Disponível em:
https://www.scielo.br/scielo.php?script=sci_arttext&pid=S0102- 36162009000600002. Acesso em: 20 de agosto de 2021.
É CORRETO afirmar que é uma tomada em:
Provas
- Psicologia Social e ComunitáriaConceito, Histórico, Atuação e Objetos de Estudo da Psicologia Social
- Psicologia Social e ComunitáriaRepresentações Sociais, Atitudes, Comportamento, Estereótipos e Preconceitos
Sílvia Lane (2007) traz reflexões importantes sobre o processo grupal, além de suas implicações teóricas, metodológicas e prático-políticas. Sobre a análise do processo grupal, assinale V para as afirmativas verdadeiras e F para as falsas.
(_) Segundo Lane (2007) é essencial olharmos para o grupo enquanto processo grupal, pois isso implica toda a dinâmica inerente ao grupo, englobando tanto aspectos pessoais, vivências subjetivas quanto características grupais e realidades objetivas.
(_) Na análise grupal deve-se levar em conta a perspectiva histórica e dialética do grupo.
(_) Para que o grupo se fortaleça é fundamental eliminar o caráter subjetivo proveniente de cada membro que o compõe.
(_) O grupo tem um papel fundamental quando pensamos na psicologia social comunitária, pois é através dele que os indivíduos poderão se organizar coletivamente para pensar na resolução de problemas comuns ou mesmo na satisfação das necessidades próprias.
Assinale a alternativa que a apresenta a sequência CORRETA:
Provas
- Psicologia ClínicaPsicopatologiaExames Mentais e Funções Psíquicas
- Psicologia da SaúdePsicologia Hospitalar
A atuação do psicólogo no hospital é de extrema importância, pois a internação pode gerar um grande impacto psíquico no paciente e seus familiares. Quando hospitalizado devido a uma doença aguda o paciente pode vivenciar quadros emocionais significativos.
Dentre eles NÃO podem ser citados:
Provas
A portaria nº 2.436, de 21 de setembro de 2017, aprova a Política Nacional de Atenção Básica (PNAB), estabelecendo a revisão de diretrizes para a organização da Atenção Básica, no âmbito do Sistema Único de Saúde (SUS).
Sobre a PNAB, assinale a alternativa INCORRETA:
Provas
Disciplina: Estatuto do Idoso - Lei 10.741/2003
Banca: IBGP
Orgão: Pref. Campo Belo-MG
Conforme previsão contida no Estatuto do Idoso, é assegurada a atenção integral à saúde do idoso, por intermédio do Sistema Único de Saúde – SUS, garantindo-lhe o acesso universal e igualitário, em conjunto articulado e contínuo das ações e serviços, para a prevenção, promoção, proteção e recuperação da saúde, incluindo a atenção especial às doenças que afetam preferencialmente os idosos.
No que diz respeito aos direitos do idoso, é INCORRETO afirmar que:
Provas
Caderno Container