Foram encontradas 40 questões.
Em relação às incontinências urinárias, analise as afirmativas.
I- De acordo com sua classificação, a incontinência urinária de esforço é a perda voluntária de urina que ocorre após exercício físico, tosse ou espirro.
II- Na anamnese, é importante investigar doenças que interferem diretamente nos sistemas urinários, como a doença pulmonar crônica e a diabetes mellitus.
III- O uso de estimulantes alfa-adrenérgicos e anticolinérgicos está indicado nos casos de incontinência urinária por hipoatividade do detrusor.
IV- A urgeincontinência é a perda involuntária de urina acompanhada ou precedida imediatamente de urgência urinária.
Está correto o que se afirma em
Provas
O acometimento da cintura pélvica e/ou lombar durante o período gestacional é hoje entendido como um processo fisiopatológico multifatorial que interfere de forma moderada à grave na qualidade de vida da mulher e, desta forma, precisa ser compreendido. Walde foi o primeiro autor a descrever, em 1962, as diferenças entre dor na cintura pélvica e dor lombar gestacional. Em relação à dor pélvica e à dor lombar gestacional, marque V para as afirmativas verdadeiras e F para as falsas.
( ) A dor da cintura pélvica gestacional localiza-se entre as cristas ilíacas posteriores e as pregas glúteas, particularmente na região da articulação sacroilíaca.
( ) A dor da cintura pélvica relacionada com a gestação caracteriza-se por restrição do movimento do tronco, e o movimento de flexão anterior do tronco exacerba a dor.
( ) A dor da cintura lombar é intermitente e desencadeada por posturas sustentadas de forma prolongada e geralmente inicia cerca de 30 minutos após a adoção da postura.
( ) A dor da cintura pélvica caracteriza-se por forte intensidade, natureza em pontada fina e localização na região sacral, glútea e sínfise púbica.
Assinale a sequência correta.
Provas
Os fatores extrínsecos para a Síndrome do Impacto Subacromial (SIS) são aqueles que reduzem o espaço subacromial ou afetam o centro de rotação instantâneo do úmero na articulação glenoumeral, ou seja, que favorecem o impacto mecânico. Assinale a alternativa que NÃO apresenta fator extrínseco para a ocorrência da SIS.
Provas
A entorse lateral aguda do tornozelo consiste em estiramento ou ruptura parcial/total dos ligamentos do tornozelo. Em relação à entorse lateral aguda do tornozelo, marque V para afirmativas verdadeiras e F para as falsas.
( ) O mecanismo de ação mais comum é a inversão, ou seja, associando movimentos simples, como a flexão plantar, adução e supinação.
( ) As principais características são lesão recente, presença de dor, ausência de edema e descarga de peso corporal limitada.
( ) Os ligamentos laterais do tornozelo compreendem o ligamento talofibular anterior, o ligamento deltoide e o ligamento talofibular posterior.
( ) Na maioria dos casos em que ocorre mecanismo de lesão em inversão, há lesão isolada do ligamento talofibular posterior.
Assinale a sequência correta.
Provas
A coluna da esquerda apresenta níveis de atenção à saúde e a da direita, a alocação de tecnologias de cada um. Numere a coluna da direita de acordo com a da esquerda.
| 1- Atenção Primária 2- Atenção Secundária 3- Atenção Terciária | ( ) Atenção especializada sem grande demanda tecnológica, com condições complexas. ( ) Nível de incorporação tecnológica é alto, com condições altamente complexas. ( ) Utiliza tecnologias de leve densidade e baixo custo, com condições comuns. |
Assinale a sequência correta.
Provas
Sobre a lesão do nervo facial, analise as afirmativas.
I- As paralisias periféricas são homolaterais à lesão do nervo, enquanto as lesões centrais são contralaterais, pois ocorrem do lado oposto à lesão do nervo.
II- As paralisias periféricas manifestam-se nos músculos da metade inferior da face, e as paralisias centrais acometem toda uma metade da face.
III- Lesões do nervo facial, antes da sua emergência do forame estilomastoideo, promovem perda da sensibilidade gustativa nos 2/3 anteriores da língua.
Estão corretas as afirmativas
Provas
O teste que mede, em segundos, o tempo que um idoso leva para se levantar de uma cadeira, caminhar uma distância de 3 metros, dar meia volta, e retornar para a cadeira e sentar-se é chamado
Provas
Segundo as Diretrizes Brasileiras de Ventilação Mecânica de 2013, acerca da ventilação mecânica em pacientes neurológicos, assinale a afirmativa correta.
Provas
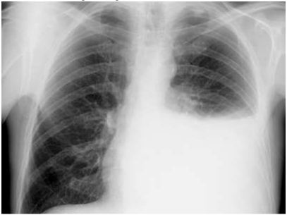
Paciente T.S., 47 anos, masculino, deu entrada no Pronto Atendimento de um Hospital Regional apresentando febre, dor torácica à esquerda (E), com sensação de peso no hemitórax e mal-estar geral. Tabagista 15 anos/maço, nega outras patologias. Relata que está em tratamento com antibióticos há 7 dias por apresentar febre e tosse com expectoração mucopurulenta. Houve redução da expectoração, mas mantinha quadro febril. Ao exame físico, paciente dispneico, redução da expansão toracopulmonar à E, MV e FTV abolido na porção inferior E, com macicez a percussão.
Foi realizado Rx de tórax, conforme figura a seguir:

O quadro clínico é indicativo de
Provas
Doença caracterizada pela perda de células nervosas na parte compacta pigmentada da substância negra e no locus ceruleus do mesencéfalo. Apresenta perda neuronal no globo pálido e putâmem. Granulações de inclusão intraneurais eosinofílica (corpúsculo de Lewy) estão presentes nos núcleos da base, tronco encefálico, medula espinhal e gânglios simpáticos. Esse conjunto de alterações neurológicas é característico da doença
Provas
Caderno Container