Foram encontradas 40 questões.
Paciente do sexo masculino, 38 anos, notou assimetria de volume na região anterior do pescoço à palpação e procurou seu médico, o qual solicitou ultrassonografia da região cervical. A única alteração encontrada foi o nódulo tireoideano abaixo.

De acordo com o ACR Thyroid Imaging, Reporting and Data System (TI-RADS), assinale a alternativa que contém a recomendação correta para o caso acima.
Provas
Paciente do sexo feminino, 65 anos, hipertensa, com queixa de dor e edema nos membros inferiores há cerca de 10 anos. Em consulta com o médico Cirurgião Vascular, foi solicitado exame ultrassonográfico com Doppler para mapeamento venoso dos membros inferiores. A imagem abaixo representa um segmento da veia femoral direita, durante manobra de aumento da pressão intra-abdominal e também em repouso (vide gráfico espectral).

Assinale a alternativa que contém o correto diagnóstico para este segmento venoso.
Provas
Paciente do sexo masculino, 28 anos, com antecedente de traumatismo cranioencefálico há 4 anos, passou a apresentar no último ano proptose, hiperemia conjuntival, ptose palpebral e redução da acuidade visual à esquerda, além de cefaleia. O caso foi discutido em reunião clínica multidisciplinar, na qual a equipe de Radiologia Intervencionista sugeriu a realização de angiografia cerebral. Abaixo temos algumas imagens com subtração digital (fase arterial). a: incidência oblíqua anterior esquerda. b: incidência em perfil. c: incidência de trabalho.

Assinale a alternativa que contém o correto diagnóstico deste paciente.
Provas
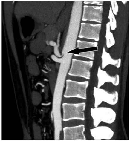
Vasos abdominais e pélvicos podem ser comprimidos por estruturas anatômicas que estejam próximas ou podem comprimir vísceras ocas adjacentes, por vezes caracterizando algumas síndromes de compressão vascular. O corte sagital de tomografia computadorizada (com contraste venoso) abaixo é de uma paciente de 25 anos, com queixas de dor epigástrica pós-prandial e perda de 8 kg nos últimos 2 anos.

Assinale a alternativa que contém o correto diagnóstico deste paciente.
Provas
Paciente do sexo masculino, 55 anos, em uso crônico de corticoesteroide ,foi submetido a exame de densitometria óssea e o resultado está representado abaixo.

Assinale a alternativa que contém o correto diagnóstico deste paciente.
Provas
Paciente de 60 anos, sexo masculino, hipertenso, apresentou quadro de desorientação temporal e espacial de início súbito, acompanhado de cefaleia leve, sem perda de consciência, com duração de 12 horas. Foi submetido a exame de ressonância magnética do encéfalo dois dias após o início do quadro, estando disponíveis as seguintes imagens: A - T2; B - FLAIR; C - difusão; D - mapa de ADC.


Assinale a alternativa correta, que contém o diagnóstico para o quadro apresentado acima.
Provas
Baseando-se nas recomendações da última edição do Atlas BI-RADS do American College of Radiology, analise as afirmativas abaixo e assinale a alternativa correta.
I. São calcifcações com morfologia suspeita para malignidade: amorfas, distróficas, heterogêneas grosseiras e pleomórficas finas.
II. Assimetria em desenvolvimento é uma assimetria focal nova, maior ou mais evidente do que em um exame anterior.
III. Três achados específicos são validados como sendo provavelmente benignos em exame mamográfico: nódulo sólido circunscrito não calcificado, assimetria focal e agrupamento isolado de calcificações puntiformes.
IV. Em exame ultrassonográfico, o achado de múltiplos agrupamentos de microcistos não é suspeito para malignidade, porém recomenda-se controle ecográfico em 6 meses (BI-RADS categoria 3).
Provas
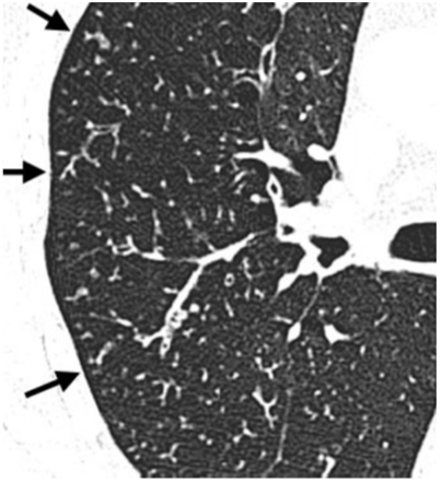
O padrão apontado pelas setas pretas na imagem de tomografia computadorizada (sem contraste venoso) abaixo é comumente observado em bronquiolite infamatória, inclusive infecciosa, como em casos de disseminação endobrônquica de micobacterioses.

Assinale a alternativa correta, que contém o padrão representado acima.
Provas
A Artrite Reumatoide (AR) é uma doença que afeta homens e mulheres de todas as idades, com início mais comumente entre 35 e 50 anos, e apresenta curso clínico caracterizado por acometimento insidioso das articulações sinoviais dos esqueletos apendicular e axial, podendo evoluir para deformidades, marco importante da doença.
Em relação aos exames de imagem na avaliação da AR, analise as afirmativas abaixo e assinale a alternativa correta.
I. As articulações interfalangeanas distais das mãos são comumente afetadas e os achados de imagem incluem na maioria das vezes sinais de osteoartrite secundária.
II. As lesões da AR são tipicamente bilaterais e simétricas nas mãos, em especial nas articulações metacarpofalangeanas e interfalangeanas proximais, podendo ser observadas nas radiografas rarefação óssea, erosões ósseas marginais, deformidades e anquilose.
III. No esqueleto axial, pode haver diástase C1-C2 ou ainda subluxação rotatória de C1-C2 secundária à ruptura do ligamento transverso.
IV. São achados ultrassonográficos comuns na AR: tenossinovite, nódulos reumatoides e erosões ósseas.
Provas
Os exames de imagem são fundamentais na avaliação dos tumores ósseos. A radiografa simples ainda tem papel importante na semiologia, e os exames de tomografia computadorizada e de ressonância magnética apresentam-se como ferramentas essenciais para a avaliação precisa da extensão dessas lesões, com ótima correlação com as peças anatomopatológicas.
Em relação aos tumores ósseos, analise as afirmativas abaixo e dê os valores Verdadeiro (V) ou Falso (F).
( ) Dentre as lesões benignas com localização diafisária, deve-se incluir no diagnóstico diferencial encondroma, osteoblastoma e displasia fibrosa.
( ) O padrão de destruição óssea permeativo sugere agressividade local.
( ) O padrão geográfico sugere agressividade em área extensa, em que se observa indefinição das margens entre o tumor e o osso normal.
( ) A cortical óssea pode representar uma barreira natural ao crescimento dos tumores. Quando ocorre o rompimento desta barreira, a lesão contida na medula óssea se estende para as partes moles adjacentes, sendo o Sarcoma de Ewing o principal exemplo deste tipo de alteração.
Assinale a alternativa que apresenta a sequência correta de cima para baixo.
Provas
Caderno Container