Foram encontradas 50 questões.
Dados do Ministério da Saúde revelam que a taxa de
mortalidade por suicídio tem aumentado, atingindo 5,7 por
100 mil habitantes. Acredita-se que pelo menos 90% dos
indivíduos que cometem suicídio tenham algum transtorno
psiquiátrico. O conhecimento dos principais fatores de risco
para o suicídio é importante para delinear uma estratégia
terapêutica apropriada e individualizada. Qual das
alternativas abaixo reúne características capazes de
predizer um alto risco para suicídio?
Provas
Questão presente nas seguintes provas
De acordo com o Decreto n° 9.175/2017, “a retirada de
órgãos, tecidos, células e partes do corpo humano poderá
ser efetuada após a morte encefálica, com o consentimento
expresso da família”. Acrescenta ainda que “o diagnóstico
de morte encefálica será confirmado com base nos critérios
neurológicos definidos em resolução específica do
Conselho Federal de Medicina”. De acordo com estes
critérios, para a determinação da morte encefálica são
obrigatórios o achado de coma não perceptivo com
ausência de resposta motora supraespinhal e ausência de
reflexos de tronco cerebral. Qual, dentre os citados abaixo,
constitui um reflexo de tronco cerebral?
Provas
Questão presente nas seguintes provas
Há um fármaco cujo efeito se produz ao interferir na
conversão cíclica da vitamina K e do seu 2,3-epóxido,
bloqueando a síntese de fatores de coagulação dela
dependentes (fatores II, VII, IX e X). Assim, o seu efeito
anticoagulante não acontece até que os fatores já presentes
na circulação sejam metabolizados, processo que leva
tipicamente de 36-72 h. Por este motivo, não se recomenda
que esse fármaco seja utilizado como anticoagulação inicial
isoladamente no contexto de trombose venosa profunda.
Qual é esse fármaco?
Provas
Questão presente nas seguintes provas
Paciente do sexo feminino, 24 anos, trazida por familiares
para unidade de pronto atendimento após episódio de
síncope. Relata que vinha apresentando “mal estar” e
astenia intensa há 2 dias, além de dispnéia progressiva há
mais ou menos 4 semanas. Nega quaisquer comorbidades,
uso de medicamentos ou drogas ilícitas. Ao exame físico,
apresenta abertura ocular a estímulos verbais, emitindo
palavras desconexas, localizando estímulos dolorosos.
Pressão arterial 80x60mmhg, tempo de enchimento capilar
lentificado. Eletrocardiograma representado na imagem a
seguir. 
Que intervenção farmacológica pode auxiliar no manejo inicial desta paciente na sala de emergência?

Que intervenção farmacológica pode auxiliar no manejo inicial desta paciente na sala de emergência?
Provas
Questão presente nas seguintes provas
Paciente de 26 anos de idade, sexo masculino, vítima de
acidente motociclístico contra anteparo fixo. Segundo
informações da equipe de atendimento pré-hospitalar, o
paciente foi encontrado sem capacete e andando na cena
do acidente. Posicionado em prancha rígida com colar
cervical, evolui durante o transporte com rebaixamento do
nível de consciência. Na entrada no departamento de
emergência apresentava via aéreas aparentemente pérvias,
frequência respiratória de 18 incursões por minuto,
expansibilidade torácica simétrica e bilateral, frequência
cardíaca de 110 batimentos por minuto, pressão arterial de
100x60mmHg, abertura ocular a estímulos dolorosos,
ausência de resposta verbal, resposta motora flexora
inespecífica (sem localização) a estímulos dolorosos. Notou-se que o paciente movimentava apenas o dimídio esquerdo.
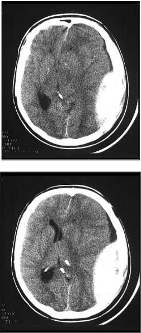
Anisocórico (pupila esquerda midriática). Tomografia sem
contraste.

Provas
Questão presente nas seguintes provas
Paciente de 26 anos de idade, sexo masculino, vítima de
acidente motociclístico contra anteparo fixo. Segundo
informações da equipe de atendimento pré-hospitalar, o
paciente foi encontrado sem capacete e andando na cena
do acidente. Posicionado em prancha rígida com colar
cervical, evolui durante o transporte com rebaixamento do
nível de consciência. Na entrada no departamento de
emergência apresentava via aéreas aparentemente pérvias,
frequência respiratória de 18 incursões por minuto,
expansibilidade torácica simétrica e bilateral, frequência
cardíaca de 110 batimentos por minuto, pressão arterial de
100x60mmHg, abertura ocular a estímulos dolorosos,
ausência de resposta verbal, resposta motora flexora
inespecífica (sem localização) a estímulos dolorosos. Notou-se que o paciente movimentava apenas o dimídio esquerdo.
Anisocórico (pupila esquerda midriática). Tomografia sem
contraste.

Provas
Questão presente nas seguintes provas
Chega ao plantão de um hospital municipal um paciente do
sexo masculino, 38 anos, com história de dor abdominal
intensa, associada a vômitos, iniciada há mais ou menos 24
horas após ingesta excessiva de bebida alcoólica.
Antecedente de doença hepática crônica secundária ao uso
de álcool, em acompanhamento irregular. Ao exame físico:
fácies de dor, frequência respiratória de 32 incursões por
minuto, saturação periférica de oxigênio de 84%, frequência
cardíaca de 140 batimentos por minuto, pressão arterial de
90x50mmHg, tempo de enchimento capilar bastante
prejudicado. Abertura ocular a estímulos verbais, confuso,
porém obedecendo comandos simples. Abdome distendido,
com dor difusa à palpação, porém sem sinais de irritação
peritoneal. Exames colhidos evidenciaram: gasometria com
pH 7,40 pO2 58mmHg pCO2 30mmHg e bicarbonato
18mEq/L. Sódio 150mEq/L; Potássio 4,5mEq/L; Cloro
113mEq/L.
Qual é o diagnóstico gasométrico?
Qual é o diagnóstico gasométrico?
Provas
Questão presente nas seguintes provas
Paciente de 32 anos, sexo masculino, vítima de
atropelamento, foi trazido por equipe de atendimento pré-hospitalar com colar cervical e prancha rígida. Relato de que
queixava dor torácica no local do acidente. Na admissão, o
paciente apresentava vias aéreas pérvias. Desconforto
respiratório evidente, com uso de musculatura acessória da
respiração. Sem deformidades ou lesões aparentes na
cavidade torácica. Hemitórax direito com macicez a
percussão e murmúrio vesicular abolido. Frequência
respiratória de 28 incursões por minuto. Frequência
cardíaca de 120 batimentos por minuto. Pressão arterial de
90x50mmHg. Abertura ocular a estímulos verbais, emitindo
palavras desconexas, localizando estímulos dolorosos.
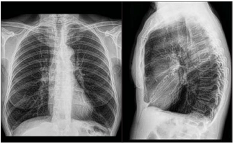
Radiografia de tórax em incidência ântero posterior
evidenciou o seguinte resultado.

Provas
Questão presente nas seguintes provas
Paciente de 32 anos, sexo masculino, vítima de
atropelamento, foi trazido por equipe de atendimento pré-hospitalar com colar cervical e prancha rígida. Relato de que
queixava dor torácica no local do acidente. Na admissão, o
paciente apresentava vias aéreas pérvias. Desconforto
respiratório evidente, com uso de musculatura acessória da
respiração. Sem deformidades ou lesões aparentes na
cavidade torácica. Hemitórax direito com macicez a
percussão e murmúrio vesicular abolido. Frequência
respiratória de 28 incursões por minuto. Frequência
cardíaca de 120 batimentos por minuto. Pressão arterial de
90x50mmHg. Abertura ocular a estímulos verbais, emitindo
palavras desconexas, localizando estímulos dolorosos.
Radiografia de tórax em incidência ântero posterior
evidenciou o seguinte resultado.

Provas
Questão presente nas seguintes provas
Paciente do sexo feminino, 64 anos, encaminhada para o
ambulatório de clínica médica com história de tosse
produtiva matinal diária com expectoração em pequena
quantidade e de coloração mucóide há cerca de 3 anos.
Refere ainda dispnéia progressiva. Observou que nos
últimos meses, quando vai efetuar compras na feira (há
menos de 100 metros de seu domicílio), precisa parar várias
vezes por falta de ar. Ex tabagista (dos 15 aos 60 anos de
idade), com uma média de 30 cigarros por dia. Além disso,
residiu em casa com fogão de lenha até os 22 anos de idade.
Nega internações ou uso de antibióticos. Ao exame físico,
paciente responsiva, verbalizando.
Frequência respiratória de 16 incursões por minuto, tórax
com aumento do diâmetro antero-posterior, expansibilidade
diminuída e murmúrio vesicular diminuído difusamente.
Ritmo cardíaco regular, bulhas hipofonéticas, frequência
cardíaca de 89 batimentos por minuto. Pressão arterial de
120x80mmhg. Peso 50kg. Altura 1,65m. Trouxe exames
realizados há aproximadamente 20 dias (radiografia de tórax
abaixo). Espirometria com relação volume expiratório
forçado no primeiro segundo (VEF1) / capacidade vital
forçada (CVF) abaixo de 0,7 e ausência de resposta
significativa a broncodilatador. VEF1 da paciente foi 55% do
valor predito.

Provas
Questão presente nas seguintes provas
Cadernos
Caderno Container