Foram encontradas 30 questões.
O objetivo da moldagem é reproduzir, com materiais apropriados, o arco dental do paciente, em parte ou todo, com máxima finalidade em relação aos detalhes das superfícies dentais e seus tecidos anexos.
Analise as afirmativas abaixo em relação ao tema.
1. Modelo é o resultado da moldagem, representado pela cópia, em negativo, do arco dental e tecidos coadjuvantes.
2. Molde é a reprodução em positivo, resultado do preenchimento do modelo com gesso.
3. Em casos de moldagem com alginato, recomenda-se vazar o gesso o mais rapidamente possível, uma vez que o material apresenta mudanças dimensionais à medida que o tempo passa.
4. A godiva é um material de moldagem termoplátisca, ou seja, plastifica-se quando aquecido, tornando-se maleável.
Assinale a alternativa que indica todas as afirmativas corretas.
Provas
A proteção do complexo dentinopulpar, permeada pelo uso de agentes protetores entre o material restaurador e a estrutura dentária remanescente, tem sido historicamente indicada para proteger o órgão pulpar dos efeitos tóxicos de alguns materiais restauradores dentários, bem como para prevenir sensibilidade dolorosa relacionada à condutividade térmica/elétrica.
Diante disso, identifique abaixo os materiais que podem ser utilizados como protetores do complexo dentinopulpar.
1. Amálgama
2. Hidróxido de Cálcio
3. Cimento de Ionômero de Vidro
4. Vernizes cavitários
5. Hipoclorito de Sódio
Assinale a alternativa que indica todas as afirmativas corretas.
Provas
Analise a figura abaixo:

O instrumental ilustrado recebe o nome de:
Provas
Assinale a alternativa que indica corretamente o grampo mais indicado para realizar o isolamento absoluto do dente 26.
Provas
Assinale a alternativa que contém o nome do instrumental indicado para prender e/ou pendurar a película radiográfica nos processos de revelação manual.
Provas
Durante o exame clínico do paciente, o cirurgião-dentista suspeita da presença de bolsa periodontal na região do elemento 26.
Para verificar a profundidade da bolsa periodontal, qual instrumento é o indicado?
Provas
O conhecimento da anatomia bucal é extremamente importante para os profissionais da área odontológica.
Diante disso, assinale a alternativa que contém somente músculos da mastigação.
Provas
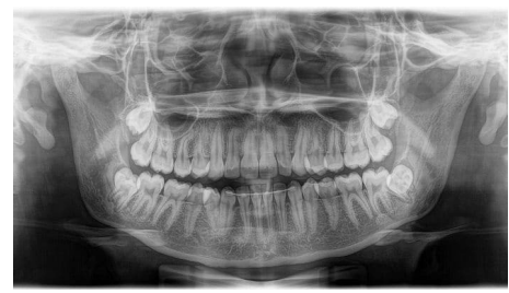
Analise a radiografia abaixo:

A imagem ilustrada refere-se de um raio-x do tipo:
Provas
O instrumento ilustrado ao lado recebe o nome de:

Provas
O fórceps nº 18R é indicado para extração de qual grupo de dentes permanentes?
Provas
Caderno Container