Foram encontradas 40 questões.
Disciplina: Atualidades e Conhecimentos Gerais
Banca: ADVISE
Orgão: Pref. Coremas-PB
Ariano Suassuna foi um escritor, dramaturgo e poeta paraibano, que ficou conhecido pela sua produção em prosa. Dois de seus personagens ganharam fama mundial, tratam-se se João Grilo e Chicó. Eles pertencem à obra:
Provas
Disciplina: Atualidades e Conhecimentos Gerais
Banca: ADVISE
Orgão: Pref. Coremas-PB
As redes sociais são espaços virtuais por meio dos quais grupos de pessoas ou empresas se relacionam através do envio de mensagens, da partilha de conteúdo, entre outros. Atualmente existem diferentes redes sociais, cada uma com um propósito e um público-alvo específico. Sobre essas novas tecnologias de comunicação, pode-se afirmar que:
Provas
De acordo com os direitos e garantais fundamentais, previstos na Constituição Federal de 1988, assinale a alternativa CORRETA.
Provas
- Direitos e Garantias FundamentaisDireitos PolíticosSufrágio, Voto, Plebiscito, Referendo e Iniciativa Popular
O professor de Direito Constitucional da Universidade Kappa Alpha, lecionou aos alunos do 4º período do curso de Direito sobre as competências atribuídas pela Constituição Federal aos órgãos dos Poderes Executivo, Legislativo e Judiciário. Durante a aula, ensinou aos estudantes que processar e julgar o Presidente e o Vice-Presidente da República nos crimes de responsabilidade é competência:
Provas
Após a aula de Direito Constitucional, Samira, estudante do 4º período do curso de direito da Universidade Kappa Beta, estava em dúvida sobre a definição dos princípios fundamentais previstos na Constituição Federal de 1988. A principal dúvida de Samira, dizia respeito à classificação constitucional do que dispõe a Constituição ao prever a expressão “garantir o desenvolvimento nacional”. Dessa forma, buscou auxílio com a professora Roberta, que prontamente lhe explicou que a garantia do desenvolvimento nacional, constitui:
Provas
Com base na significação das palavras, entende-se por “transacionado” algo que:
Provas
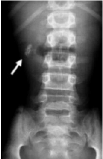
Observe a radiografia abaixo e indique a principal hipótese diagnóstica:

Provas
Fluordesoxiglicose (FDG-18F) é o radiofármaco indicado para qual dos exames abaixo?
Provas
Lesão óssea cuja imagem radiológica apresenta destruição de tecido ósseo denomina-se:
Provas
Leia o trecho a seguir:
A base para estratificação ultrassonográfica da doença carotídea é a acurada mensuração das velocidades sanguíneas aliada à análise qualitativa da aparência da estenose, incluindo o lúmen residual quando bem visualizado. O Doppler é a forma disponível de quantificação de estenose através da medida de velocidade do fluxo em um determinado ponto do vaso.
Assinale a alternativa que preenche, CORRETAMENTE, a lacuna do trecho.
Provas
Caderno Container