Foram encontradas 339 questões.
INSTRUÇÃO: Leia o enunciado e os dados apresentados a seguir para responder às questões 07 e 08.
O exame de urina rotina, também denominado de EAS ou sumário de urina é muito utilizado pelos profissionais de saúde para a determinação de alterações e estados patológicos das vias urinárias e sistema renal. Considere os dados laboratoriais fornecidos por um laudo de exame de urinálise, observando os resultados de um exame de urina rotina e imagens de alguns dos elementos anormais encontrados na sedimentoscopia de 2 pacientes denominados A e B.
Resultados do EAS dos pacientes A e B
Paciente A | Paciente B | ||||
Análise Física | Análise Química | Sedimentoscopia | Análise Física | Análise Química | Sedimentoscopia |
Aspecto: turvo | PH: 8,0 |
Imagem 1 | Aspecto: turvo | PH: 5,5 |
Imagem 2 |
Densidade: 1,020 | Leucócito Esterase ++ | Densidade: 1,015 | Hemoglobina +++ | ||
Cor: amarelo escura | Hemoglobina + | Cor: âmbar | Proteína ++ | ||
Glicose ++ | |||||
Fonte: ALVARENGA, Felipe Queiroz. Dados hipotéticos sobre urinálise. 2022. Imagem 1: Disponível em: https://upload.wikimedia.org/wikipedia/commons/thumb/c/c4/Pyuria.JPG/220px-Pyuria.JPG. Acesso em: 16 jun. 2022. Imagem 2: Disponível em: https://pbs.twimg.com/media/EZMtrGSWkAAXvur.png. Acesso em: 16 jun. 2022.
É possível, através dos dados apresentados no exame de urina dos pacientes A e B, a detecção de várias anormalidades. No que se refere ao exame químico da urina de ambos os pacientes, pode-se afirmar:
Provas
INSTRUÇÃO: Leia o enunciado e os dados apresentados a seguir para responder às questões 07 e 08.
O exame de urina rotina, também denominado de EAS ou sumário de urina é muito utilizado pelos profissionais de saúde para a determinação de alterações e estados patológicos das vias urinárias e sistema renal. Considere os dados laboratoriais fornecidos por um laudo de exame de urinálise, observando os resultados de um exame de urina rotina e imagens de alguns dos elementos anormais encontrados na sedimentoscopia de 2 pacientes denominados A e B.
Resultados do EAS dos pacientes A e B
Paciente A | Paciente B | ||||
Análise Física | Análise Química | Sedimentoscopia | Análise Física | Análise Química | Sedimentoscopia |
Aspecto: turvo | PH: 8,0 |
Imagem 1 | Aspecto: turvo | PH: 5,5 |
Imagem 2 |
Densidade: 1,020 | Leucócito Esterase ++ | Densidade: 1,015 | Hemoglobina +++ | ||
Cor: amarelo escura | Hemoglobina + | Cor: âmbar | Proteína ++ | ||
Glicose ++ | |||||
Fonte: ALVARENGA, Felipe Queiroz. Dados hipotéticos sobre urinálise. 2022. Imagem 1: Disponível em: https://upload.wikimedia.org/wikipedia/commons/thumb/c/c4/Pyuria.JPG/220px-Pyuria.JPG. Acesso em: 16 jun. 2022. Imagem 2: Disponível em: https://pbs.twimg.com/media/EZMtrGSWkAAXvur.png. Acesso em: 16 jun. 2022.
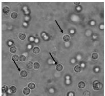
Considere os resultados dos exames físicos, químicos e microscópicos da urina dos pacientes A e B para analisar as afirmativas a seguir.
I - O resultado de urinálise do paciente A exibe alterações características de uma infecção urinária, que pode ser facilitada pela presença concomitante de diabetes mellitus.
II - A imagem do elemento anormal destacado pela seta na sedimentoscopia do paciente A refere-se aos leucócitos, corroborando os achados laboratoriais na análise química da urina.
III - O resultado de urinálise do paciente B exibe alterações características de uma hematúria e cristalúria, podendo ser sugerido a ocorrência de litíase renal.
IV - A imagem do elemento anormal destacado pela seta e círculo na sedimentoscopia do paciente B refere-se, respectivamente, aos eritrócitos e cristais de ácido úrico, sendo que o primeiro corrobora com os achados laboratoriais na análise física e química da urina.
Estão CORRETAS as afirmativas
Provas
O hemograma é um exame laboratorial que possibilita a avaliação da existência de várias patologias, entre elas as anemias, leucemias, infecções e trombocitopenia. Ele fornece informações importantes para o profissional de saúde se orientar a respeito da necessidade de novos exames complementares para o diagnóstico das doenças que interferem na produção das células sanguíneas.
Fonte: ALVARENGA, Felipe Queiroz. Orientação interpretativa do hemograma. 2022.
Considerando os resultados e a orientação interpretativa dos dados laboratoriais fornecidos por um hemograma, constituído pelo eritrograma, plaquetograma e leucograma, analise as afirmativas a seguir.
I. Valores dos índices hematimétricos (VCM, HCM e CHCM) baixos com redução nos níveis de hemoglobina sugerem a existência de anemia microcítica e hipocrômica.
II. Aumento dos leucócitos globais acima de 15.000/m3, presença de neutrófilos segmentados acima de 70% e desvio à esquerda sugerem a existência de uma infecção bacteriana.
III. Diminuição dos níveis dos linfócitos com presença de trombocitose e dados do eritrograma normais sugerem fortemente a ocorrência de uma infecção viral com anemia perniciosa.
Está CORRETO o que se afirma apenas em
Provas
Paciente X, 36 anos, mulher, portadora de hipertrigliceridemia severa, com queixa de dor aguda no hipocôndrio direito, náuseas, vômito e hiporexia informa que suas fezes estão esbranquiçadas, com presença de muco e sangue. Ao ser atendida e avaliada pela equipe de saúde, apresentou dor abdominal à palpação, abdome moderadamente aumentado e icterícia (+/++++). Realizou os exames laboratoriais cujos resultados são: glicemia aleatória 289 mg/dl; ALT: 852 U/L; AST: 1124 U/L; Gama GT: 890 U/L; Fosfatase alcalina: 380 U/L; Amilase 1050 U/L; e Lipase 870 U/L.
Fonte: ALVARENGA, Felipe Queiroz. Casos clínicos em bioquímica. Dados elaborados pelo autor. 2022.
Considerando os dados clínico-laboratoriais da paciente X, foram realizadas as seguintes afirmativas:
I – Os resultados dos exames laboratoriais associados aos dados clínicos sugerem fortemente que a paciente apresenta algum distúrbio hepatobiliar e/ou pancreático e a hiperglicemia pode ser secundária a um processo de pancreatite.
PORQUE
II – Os exames das transaminases e enzimas pancreáticas apresentam resultados elevados, levando à hipótese de uma obstrução biliar e/ou colelitíase quando associada à despigmentação fecal, icterícia discreta e dor à palpação abdominal.
A respeito dessas afirmativas, assinale a alternativa CORRETA.
Provas
Considere os dados do paciente hipotético a seguir, que realizou dosagem sérica dos exames do perfil lipídico e suas frações e analise as afirmativas sobre o caso.
Resultados laboratoriais do perfil lipídico de um paciente hipotético
Dados do paciente:
Homem, 56 anos, portador de diabetes mellitus tipo 2 há 11 anos, índice de massa corporal (IMC) = 33 kg/m2, em uso de atorvastatina 40mg, possui risco elevado para doença cardiovascular e aterosclerose.
Exames | Resultados (mg/dl) | Valores de referência (mg/dl) * |
Colesterol total (CT) | 238 | Desejável < 200 Limítrofe 200 a 239 Alto ≥ 240 |
HDL-Colesterol | 35 | Desejável > 60 Baixo < 40 |
LDL-Colesterol | 168 | Ótimo < 100 Desejável 100 a 129 Limítrofe 130 a 159 Alto 160 a 189 Muito alto ≥ 190 |
Não HDL-Colesterol | 200 | Ótimo < 130 Desejável 130 a 159 Alto 160 a 189 Muito alto ≥ 190 |
Triglicerídeos (TG) | 600 | Desejável < 150 Limítrofe 150 a 200 Alto 200 a 499 Muito alto ≥ 500 |
* Valores referenciais do perfil lipídico para adultos maiores de 20 anos. V Diretriz Brasileira de Dislipidemia. Disponível em: http://www.sbpc.org.br/upload/conteudo/V_Diretriz_Brasileira_de_Dislipidemias.pdf. Acesso em: 11 maio 2022.
Fonte: ALVARENGA, Felipe Queiroz. Dados laboratoriais hipotéticos elaborados pelo autor. 2022.
I. O colesterol (C) não HDL pode fornecer melhor estimativa do risco em comparação com o LDL-C, principalmente nos casos de hipertrigliceridemia associada ao diabetes, como é o caso do paciente hipotético.
II. A classificação fenotípica ou bioquímica da dislipidemia apresentada pelo paciente hipotético, considerando os valores de CT, LDL-C, TG e HDL-C é a hiperlipemia mista e HDL-C baixo.
III. As reduções nos níveis plasmáticos de C, principalmente nos níveis de LDL-C, por meio de mudanças no estilo de vida e/ou fármacos, ao longo da vida, têm grande benefício na redução de desfechos cardiovasculares.
IV. A fração C não HDL é usada como estimativa do número total de partículas aterogênicas no plasma, e, no caso desse paciente hipotético, encontra-se elevada, diminuindo a probabilidade de eventos cardiovasculares.
Estão CORRETAS apenas as afirmativas
Provas
A interpretação dos exames laboratoriais é essencial para a tomada de decisões clínicas e a compreensão do estado fisiopatológico de um paciente. Leia atentamente as informações a seguir, sobre resultados de exames laboratoriais para avaliação do perfil renal dos pacientes hipotéticos A, B e C.
Resultados laboratoriais dos pacientes A, B e C
PACIENTES | RESULTADOS DE EXAME | INTERPRETAÇÕES DOS EXAMES |
A | Creatinina: 0,9 mg/dl Ureia: 27 mg/dl Ácido úrico: 5,1 mg/dl Clearance de creatinina: 98 ml/min | Os resultados dos exames do perfil renal estão normais, sem alterações que possam sugerir nefropatias. |
B | Creatinina: 2,9 mg/dl Ureia: 87 mg/dl Ácido úrico: 8,1 mg/dl Clearance de creatinina: 48 ml/min | Os resultados dos exames do perfil renal estão alterados, sugerindo diminuição da filtração glomerular e/ou doença renal. |
C | Creatinina: 0,7 mg/dl Ureia: 29 mg/dl Ácido úrico: 9,1 mg/dl Clearance de creatinina: 138 ml/min | Os resultados dos exames do perfil renal são sugestivos de desordem renal e/ou nefropatias. |
Valores de referência: Creatinina: 0,4 a 1,3 mg/dl; Ácido úrico: 4,5 a 6,7 mg/dl; Ureia: 20 a 40 mg/dl; Clearance de creatinina: 80 a 120 ml/min. | ||
Fonte: ALVARENGA, Felipe Queiroz. Dados hipotéticos elaborados pelo autor. 2022.
Considerando os resultados dos exames e suas interpretações, é possível inferir que estão CORRETAS apenas as interpretações dos exames do(s) paciente(s)
Provas
O diagnóstico de diabetes mellitus (DM) deve ser estabelecido pela identificação de hiperglicemia. Para isso, podem ser usados a glicemia plasmática de jejum, o teste de tolerância oral à glicose (TOTG) e a hemoglobina glicada (A1c).
Fonte: Diretriz Oficial da Sociedade Brasileira de Diabetes. 2022.
Considerando os exames padronizados para avaliação da hiperglicemia em um paciente portador de DM e da necessidade de se avaliar os níveis glicêmicos a longo prazo, a combinação de exames mais apropriada para obtenção de resultados da glicose plasmática atual e da glicemia média estimada a longo prazo é, respectivamente:
Provas
Para a realização de exames em análises clínicas, são requeridos conhecimentos sobre técnicas, reagentes e insumos laboratoriais que têm por finalidade garantir estabilidade das amostras biológicas, possibilitando a execução pré-analítica e analítica com qualidade.
Fonte: ALVARENGA, Felipe Queiroz. Coleta de amostra, material didático bioquímica. 2022.
Considerando o contexto expresso no enunciado e a necessidade de conhecer a correta utilização dos tubos de ensaio para os diversos tipos de coleta de amostras de sangue, analise as seguintes afirmativas:
I. Para a realização do exame hemograma, utiliza-se amostra de sangue total colhido em EDTA.
II. Para a realização do exame colesterol, utiliza-se amostra de soro em tubo sem anticoagulante.
III. Para a realização do exame tromboplastina parcial ativada, utiliza-se plasma colhido em citrato.
IV. Para a realização do exame de glicemia, utiliza-se amostra de soro e/ou plasma colhido em fluoreto.
V. Para a realização do exame hemoglobina glicada, utiliza-se amostra de plasma colhido em EDTA.
Estão CORRETAS apenas as afirmativas
Provas
Disciplina: TI - Sistemas Operacionais
Banca: COTEC
Orgão: Pref. Dores Guanhães-MG
O sistema operacional Ubuntu segue o padrão FHS (filesystem hierarchy standard). Quais diretórios pertencem ao filesystem do Ubuntu?
Provas
Disciplina: TI - Banco de Dados
Banca: COTEC
Orgão: Pref. Dores Guanhães-MG
Na linguagem SQL, o argumento que combina colunas em diferentes tabelas, em um banco de dados relacional, é
Provas
Caderno Container

