Foram encontradas 60 questões.
Uma paciente gestante de 22 semanas, previamente hígida, que deu entrada com pressão arterial de 162x100 mmHg, edema e com relação albuminúria/creatinúria em amostra única de urina de 310 mg/g. Após alguns minutos de espera para ser atendida, evoluiu com crise troncoclônicas.
Considerando o caso hipotético, assinale a alternativa que apresenta o diagnóstico de entrada, o diagnóstico evolutivo e a conduta médica imediata.
Provas

Distócias são definidas por anormalidades na evolução do trabalho de parto e podem perfazer indicação importante de cesárea em primigestas. Acerca do tema e das imagens apresentadas, assinale a alternativa correta.
Provas
A interrupção da gestação, incluindo seus conceitos básicos, classificação e incidência, tem sido objeto de debate na área da Saúde Pública acerca da Saúde da Mulher. Com relação às definições pertinentes ao tema, assinale a alternativa correta.
Provas
Paciente policomórbidos e com alto risco cardiovascular dá entrada com diagnóstico de Síndrome Neurovascular iniciada há 2 horas. Ao exame físico neurológico apresenta: hemiplegia direita, paralisia facial direita, hemi-hipoestesia direita, afasia, rebaixamento do nível de consciência e incontinência urinária e amaurose ipsilateral.
Com base nessa informação, assinale a alternativa que corresponde à artéria culpada.
Provas

Fonte: Friedmann, Antonio Américo Eletrocardiograma em 7 aulas: temas avançados e outros métodos/Antônio Américo Friedmann. - 2. ed. - Barueri, SP: Manole, 2016.
Um paciente de 7 anos de idade, acompanhado por responsável, apresenta eletrocardiograma com os seguintes parâmetros: 25 mm/s; 10 mm/mV. O exame foi realizado devido ao genitor ter falecido de forma súbita aos 40 anos. Com relação ao traçado eletrocardiográfico, à interpretação diagnóstica e conduta médica, assinale a alternativa correta.
Provas
Acerca da ventilação não invasiva, cânula nasal de alto fluxo e intubação orotraqueal (IOT), que deve ser evitada ao máximo em crise asmática em faixa etária pediátrica, e da indicação absoluta do procedimento, assinale a alternativa incorreta.
Provas
Uma criança de 3 anos de idade dá entrada em sala de emergência com frequência cardíaca de 50 batimentos pulso central ao exame físico, via aérea pérvia, com frequência respiratória de 10 incursões por minutos e extremidades sudoreicas, tempo de perfusão capilar em torno de 5 segundos.
Assinale a alternativa que apresenta a conduta médica imediata a ser adotada nessa situação.
Provas
Uma criança de 7 anos de idade apresenta edema de membros inferiores e bolsa escrotal, aumento do volume abdominal e dor abdominal, mal estar e febre aferida em 38,3º.C associada à hipodinamia e hiporexia há 1 dia. Considerando o quadro exposto, assinale a alternativa incorreta.
Provas

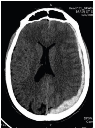
Internet: Advanced Trauma Life Support. Tenth Edition. Copyright© 2018 American College of Surgeons 633 N. Saint Clair Street Chicago, IL 60611-3211.
Paciente vítima de traumatismo cranioencefálico, após avaliação primária e secundária, realiza um exame de imagem. No que diz respeito ao caso hipotético e à interpretação do exame de imagem, assinale a alternativa que apresenta a hipótese diagnóstica correta.
Provas
Paciente, vítima de traumatismo cranioencefálico, dá entrada em hospital e, ao ser submetido ao exame físico, tem abertura ocular ao estímulo doloroso, emite palavras inapropriadas e localiza estímulo álgico.
Assinale a alternativa que apresenta a pontuação na Escala de Coma de Glasgow.
Provas
Caderno Container