Foram encontradas 40 questões.
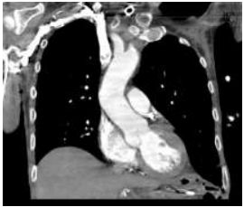
A imagem exibe uma reconstrução de um exame de imagem do tórax, observe:

Considerando a técnica utilizada e a densidade das estruturas ósseas, assinale a alternativa que define CORRETAMENTE o tipo de exame realizado:
Provas
Questão presente nas seguintes provas
De acordo com o Princípio da Justificativa na
proteção contra radiação em radiologia pediátrica, é
CORRETO afirmar que:
Provas
Questão presente nas seguintes provas
Observe as imagens que apresentam a evolução anatômica do joelho ao longo do crescimento.

Com base nas imagens acima, assinale a alternativa CORRETA:
Provas
Questão presente nas seguintes provas
A imagem apresentada ilustra o posicionamento do
paciente em decúbito lateral, com flexão dos
membros inferiores para um exame de Raio-X.
Observe:
Considerando a área anatômica destacada e o posicionamento radiográfico demonstrado, assinale a alternativa que indica CORRETAMENTE o exame realizado.
Considerando a área anatômica destacada e o posicionamento radiográfico demonstrado, assinale a alternativa que indica CORRETAMENTE o exame realizado.
Provas
Questão presente nas seguintes provas
Sobre a anatomia óssea do pé e suas articulações,
assinale a alternativa CORRETA:
Provas
Questão presente nas seguintes provas
Em relação à técnica radiográfica para exame arcos
costais (anteroposterior), é CORRETO afirmar que:
Provas
Questão presente nas seguintes provas
Com base no modelo atômico de Bohr e na origem
dos raios X característicos, assinale a alternativa
CORRETA.
Provas
Questão presente nas seguintes provas
Em relação ao espectro contínuo da radiação X,
assinale a alternativa CORRETA.
Provas
Questão presente nas seguintes provas
A figura representa o corte de um rim humano, no qual estão indicadas duas estruturas anatômicas numeradas. Observe:

Com base na anatomia renal, assinale CORRETAMENTE as estruturas indicadas pelos números 1 e 2.
Provas
Questão presente nas seguintes provas
Em relação à anatomia do cerebelo e suas conexões,
assinale CORRETAMENTE:
Provas
Questão presente nas seguintes provas
Cadernos
Caderno Container