Magna Concursos

Foram encontradas 606 questões.

859430 Ano: 2019
Disciplina: Saúde Pública
Banca: FUNDATEC
Orgão: Pref. Foz Iguaçu-PR
De acordo com a Lei nº 8.080/1990, no âmbito dos municípios, a direção do Sistema Único de Saúde é exercida pela respectiva:
 

Provas

Questão presente nas seguintes provas
859429 Ano: 2019
Disciplina: Medicina
Banca: FUNDATEC
Orgão: Pref. Foz Iguaçu-PR
Provas:
O primeiro atendimento ao politraumatizado é crítico e pode modificar desfechos clínicos. Nesse sentido, no atendimento a um motociclista acidentado que necessite da retirada do capacete, qual deve ser o primeiro movimento?
 

Provas

Questão presente nas seguintes provas
859428 Ano: 2019
Disciplina: Medicina
Banca: FUNDATEC
Orgão: Pref. Foz Iguaçu-PR

Sobre testes, exames e métodos diagnósticos, relacione a Coluna 1 à Coluna 2.

Coluna 1

1. Capacidade do método em acertar o diagnóstico.

2. Capacidade do método em reconhecer os doentes.

3. Capacidade do método em reconhecer os saudáveis.

4. Capacidade do teste em influenciar corretamente nosso pensamento a respeito da presença ou ausência de doença.

Coluna 2

( ) Acurácia.

( ) Sensibilidade.

( ) Especificidade.

A ordem correta de preenchimento dos parênteses, de cima para baixo, é:

 

Provas

Questão presente nas seguintes provas
859427 Ano: 2019
Disciplina: Medicina
Banca: FUNDATEC
Orgão: Pref. Foz Iguaçu-PR
Provas:
O desvio lateral da coluna denomina-se:
 

Provas

Questão presente nas seguintes provas
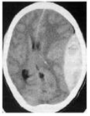
859426 Ano: 2019
Disciplina: Medicina
Banca: FUNDATEC
Orgão: Pref. Foz Iguaçu-PR
Provas:
Paciente com história de TCE realizou a tomografia apresentada abaixo. Qual o diagnóstico do paciente?
Enunciado 859426-1
 

Provas

Questão presente nas seguintes provas
859425 Ano: 2019
Disciplina: Medicina
Banca: FUNDATEC
Orgão: Pref. Foz Iguaçu-PR
Provas:
No atendimento pré-hospitalar de uma fratura exposta, devemos:
 

Provas

Questão presente nas seguintes provas
859424 Ano: 2019
Disciplina: Medicina
Banca: FUNDATEC
Orgão: Pref. Foz Iguaçu-PR
Provas:

Analise as assertivas abaixo em relação às uveítes parasitárias:

I. A gravidade do envolvimento fetal na toxoplasmose congênita está relacionada com o tempo de gestação, tendendo a ser mais grave no início da gravidez.

II. As principais formas de apresentação ocular da toxocaríase incluem granuloma retiniano periférico, endoftalmite e pars planitis.

III. Oncocercíase, também conhecida como “cegueira dos rios”, é importante causa de cegueira infecciosa no mundo, pricipalmente em países pouco desenvolvidos.

Quais estão corretas?

 

Provas

Questão presente nas seguintes provas
859423 Ano: 2019
Disciplina: Medicina
Banca: FUNDATEC
Orgão: Pref. Foz Iguaçu-PR
Provas:
Em relação à articulação do cotovelo, podemos afirmar que o capítulo se articula com:
 

Provas

Questão presente nas seguintes provas
859422 Ano: 2019
Disciplina: Medicina
Banca: FUNDATEC
Orgão: Pref. Foz Iguaçu-PR
Provas:
O osso escafoide do carpo situa-se, anatomicamente, no:
 

Provas

Questão presente nas seguintes provas
859421 Ano: 2019
Disciplina: Medicina
Banca: FUNDATEC
Orgão: Pref. Foz Iguaçu-PR
Provas:
Qual o exame de escolha para o diagnóstico de uma doença degenerativa da coluna cervical com irradiação para o membro superior?
 

Provas

Questão presente nas seguintes provas