Foram encontradas 293 questões.
Mulher de 45 anos vem à consulta de rotina no
ambulatório de reumatologia. Ela já é paciente desse
serviço e sua última consulta foi há três meses.
Refere que iniciou, nesse intervalo, com novos
sintomas de dor e aumento de volume em ambos os
punhos, joelhos e em metacarpofalangeanas. Houve
até maior tempo de rigidez matinal, associada a essa
piora. Vem em uso regular de prednisona 10 mg pela
manhã, metotrexate 20 mg uma vez por semana,
ácido fólico 5mg ao dia, hidroxicloroquina (HCQ) 400
mg pela manhã e leflunomida 20mg ao dia, desde
última consulta. Assinale a alternativa correta no que
diz respeito ao tratamento da artrite reumatoide (AR).
Provas
Questão presente nas seguintes provas
Paciente de 28 anos, sexo feminino, admitida com
quadro de hemiplegia à direita e afasia, iniciado há 8
horas. Possui antecedente pessoal de cinco
abortamentos prévios. Ao exame físico, evidenciado
livedo racemoso em membros inferiores. Qual é,
respectivamente, o diagnóstico e a melhor conduta
para esse caso clínico?
Provas
Questão presente nas seguintes provas
Mulher de 33 anos de idade, previamente hígida,
procura o ambulatório de clínica médica geral por
quadro de dispneia aos mínimos esforços há quatro
meses. Em seu recordatório de sintomas, referia
episódios recorrentes de edema, palidez e cianose
em quirodáctilos, iniciados há dois anos. Ao exame,
encontrava-se eupneica, com saturação de 93% em
ar ambiente e crepitos finos bibasais à ausculta
pulmonar. Além disso, apresentava espessamento de
pele proximal às articulações metacarpofalangeanas
bilateralmente, afilamento de lábios, bem como
ulcerações em polpas de segundo e terceiro
quirodáctilos à direita. Aos exames laboratoriais,
apresentava fator antinuclear (FAN) reagente, com
título de 1:320, de padrão nucleolar. Qual dos
anticorpos a seguir provavelmente será positivo na
paciente do caso apresentado?
Provas
Questão presente nas seguintes provas
Paciente do sexo feminino, 50 anos, fraturou a tíbia
esquerda após acidente automobilístico. Um mês
após a aplicação do gesso, ela desenvolveu dor em
queimação na face anterior da perna esquerda. A
paciente também se queixa de sensibilidade
excessiva a estímulos não nocivos e a estímulos
nocivos na região anterior do membro, com edema
moderado e eritema local. Ela teve dificuldade para
reconhecer os dedos tocados com os olhos
fechados e sentia que sua mão tinha o dobro do
tamanho real. Qual é o diagnóstico a ser considerado
para este caso clínico?
Provas
Questão presente nas seguintes provas
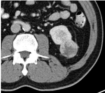
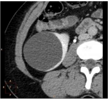
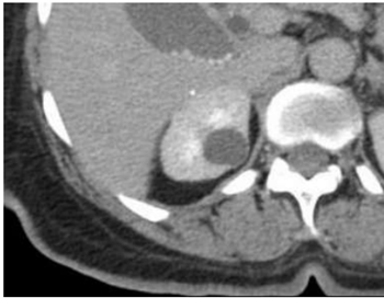
Sobre as imagens a seguir: assinale a alternativa
correspondente à classificação de Bosniak para cada
imagem.
I.
II.
III.
IV.
I.
II.
III.
IV.

Provas
Questão presente nas seguintes provas
Um paciente apresenta em tomografia contrastada
uma lesão renal cística complexa com múltiplos
septos finos, paredes minimamente espessas e
pequenas calcificações nodulares. A lesão mede 3,5
cm de diâmetro e está localizada totalmente dentro
do parênquima renal. Após a administração de
contraste, não há realce mensurável da parede ou
dos septos. Qual é a classificação de Bosniak mais
adequada para essa lesão?
Provas
Questão presente nas seguintes provas
Lucas, 8 anos, é levado à consulta pelos pais devido
a episódios de perda de urina na cama à noite,
enquanto dorme. O paciente apresenta
desenvolvimento físico e desempenho escolar
adequados. Durante a anamnese, não relata
constipação nem sintomas miccionais diurnos.
Costuma urinar a cada 2-4 horas durante o dia e
apresentou 10 episódios de perda urinária noturna
nas últimas 30 noites. Sobre este caso clínico, qual é
a alternativa incorreta?
Provas
Questão presente nas seguintes provas
Rogério, 74 anos, vem para consulta de rotina com o
urologista. Refere que sua micção sempre foi
satisfatória e não apresenta queixas significativas.
Relata noctúria 2-3 vezes por noite, mas não
considera isso incômodo. Faz uso de tansulosina
0,4mg/dia e dutasterida 0,5mg/dia há 3 anos. Ao
exame físico, próstata de 55g, fibroelástica, sem
nódulos ao toque retal (TR). PSA de 2,8 ng/mL
estável nos últimos dois anos. Urina 1 sem
alterações. Ultrassonografia mostra próstata de 65g,
índice de protrusão prostática (IPP) de 1,8 cm, bexiga
com paredes espessadas e sem divertículos.
Realizou fluxometria com os seguintes resultados:
À respeito do caso, assinale a alternativa correta.
À respeito do caso, assinale a alternativa correta.
Provas
Questão presente nas seguintes provas
Um menino de 8 anos apresenta testículo não
palpável na bolsa escrotal. Qual a conduta
recomendada de acordo com as diretrizes da EAU?
Provas
Questão presente nas seguintes provas
Paciente masculino, 32 anos, procura atendimento
urológico com queixa de ejaculação precoce. Refere
que o problema ocorre desde o início de sua vida
sexual e causa grande frustração e constrangimento,
impactando negativamente seu relacionamento. Ele
estima que o tempo de latência ejaculatória
intravaginal (IELT) seja em torno de 1 minuto.
Considerando o caso clínico descrito e as diretrizes da European Association of Urology (EAU) para o manejo da ejaculação precoce, assinale a alternativa incorreta.
Considerando o caso clínico descrito e as diretrizes da European Association of Urology (EAU) para o manejo da ejaculação precoce, assinale a alternativa incorreta.
Provas
Questão presente nas seguintes provas
Cadernos
Caderno Container