Foram encontradas 715 questões.
Observe a imagem a seguir.

Sobre as malformações uterinas, os critérios diagnósticos revelados na imagem se correlacionam a qual diagnóstico de malformação mülleriana?
Provas
Questão presente nas seguintes provas
Leia o caso a seguir.
Paciente em tratamento de reprodução assistida, fertilização in vitro, em amenorreia por bloqueio com agonista há 3 meses, realiza transferência de um blastocisto na data “X”, com preparo endometrial artificial. Realiza seu primeiro ultrassom 37 dias após a transferência para avaliar sua gestação.
A partir do caso apresentado, a idade gestacional indicada pelo ultrassom no dia deste exame será de
Paciente em tratamento de reprodução assistida, fertilização in vitro, em amenorreia por bloqueio com agonista há 3 meses, realiza transferência de um blastocisto na data “X”, com preparo endometrial artificial. Realiza seu primeiro ultrassom 37 dias após a transferência para avaliar sua gestação.
A partir do caso apresentado, a idade gestacional indicada pelo ultrassom no dia deste exame será de
Provas
Questão presente nas seguintes provas
Leia o caso a seguir.
Paciente de 33 anos, comparece ao pronto atendimento com queixa de dor abdominal aguda de moderada intensidade. Nega comorbidades, nega uso de medicações, refere atraso menstrual de 20 dias. Na avaliação ecográfica apresenta a seguinte imagem:

A imagem ecográfica se correlaciona com diagnóstico de
Paciente de 33 anos, comparece ao pronto atendimento com queixa de dor abdominal aguda de moderada intensidade. Nega comorbidades, nega uso de medicações, refere atraso menstrual de 20 dias. Na avaliação ecográfica apresenta a seguinte imagem:

A imagem ecográfica se correlaciona com diagnóstico de
Provas
Questão presente nas seguintes provas
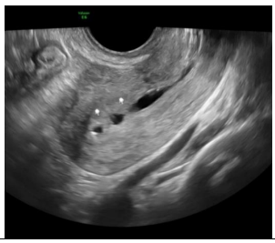
Leia o caso a seguir.
Paciente nulípara, sem uso de contraceptivos, comparece ao ginecologista com queixa de dispareunia e dismenorreia importantes, com piora cíclica no período menstrual. Apresenta a seguinte imagem ao exame de ultrassom endovaginal:
A imagem ecográfica sugere como diagnóstico
Paciente nulípara, sem uso de contraceptivos, comparece ao ginecologista com queixa de dispareunia e dismenorreia importantes, com piora cíclica no período menstrual. Apresenta a seguinte imagem ao exame de ultrassom endovaginal:
A imagem ecográfica sugere como diagnóstico
Provas
Questão presente nas seguintes provas
Leia o caso a seguir.
Nas imagens 1 e 2 estão representados dois sinais ecográficos de hidrossalpinge.

As imagens ecográficas representam, respectivamente:
Provas
Questão presente nas seguintes provas
Leia o caso a seguir.
Paciente de 32 anos com infertilidade primaria há 3 anos, ciclos menstruais regulares, sem dispareunia, sem dismenorreia, realiza ultrassom transvaginal no 23 dia do ciclo menstrual, identificando a seguinte imagem anexial.
A imagem ecográfica sugere como diagnóstico
Paciente de 32 anos com infertilidade primaria há 3 anos, ciclos menstruais regulares, sem dispareunia, sem dismenorreia, realiza ultrassom transvaginal no 23 dia do ciclo menstrual, identificando a seguinte imagem anexial.
A imagem ecográfica sugere como diagnóstico
Provas
Questão presente nas seguintes provas
Leia o caso a seguir.
Paciente de 24 anos, G1P1A0, sem uso de contraceptivos, vida sexual ativa, DUM (data da última menstruação) há 15 dias, evolui com quadro de dor abdominal abrupta, de início agudo, de moderada/alta intensidade. Comparece ao pronto atendimento para avaliação, sendo realizado ultrassonografia com a seguinte imagem:
A imagem ecográfica indica
Paciente de 24 anos, G1P1A0, sem uso de contraceptivos, vida sexual ativa, DUM (data da última menstruação) há 15 dias, evolui com quadro de dor abdominal abrupta, de início agudo, de moderada/alta intensidade. Comparece ao pronto atendimento para avaliação, sendo realizado ultrassonografia com a seguinte imagem:
A imagem ecográfica indica
Provas
Questão presente nas seguintes provas
Leia o caso a seguir.
Paciente de 32 anos é submetida à curetagem uterina pós aborto incompleto. Após 1 ano de tentativa gestacional espontânea sem sucesso, inicia investigação de infertilidade e realiza uma histerossonografia no 7 dia do ciclo menstrual com a seguinte imagem ecográfica:
A imagem ecográfica indica
Paciente de 32 anos é submetida à curetagem uterina pós aborto incompleto. Após 1 ano de tentativa gestacional espontânea sem sucesso, inicia investigação de infertilidade e realiza uma histerossonografia no 7 dia do ciclo menstrual com a seguinte imagem ecográfica:
A imagem ecográfica indica
Provas
Questão presente nas seguintes provas
São critérios de gravidez considerados inviáveis no
ultrassom do I trimestre, saco gestacional
Provas
Questão presente nas seguintes provas
Leia o caso a seguir.
Criança de dois anos é levada ao ambulatório de pediatria, devido a quadro de pneumonia de repetição. Nos últimos 12 meses, apresentou 4 episódios de pneumonia. As radiografias torácicas dos quatro episódios, mostram infiltrados na mesma topografia pulmonar.
A principal hipótese diagnóstica deste caso é
Criança de dois anos é levada ao ambulatório de pediatria, devido a quadro de pneumonia de repetição. Nos últimos 12 meses, apresentou 4 episódios de pneumonia. As radiografias torácicas dos quatro episódios, mostram infiltrados na mesma topografia pulmonar.
A principal hipótese diagnóstica deste caso é
Provas
Questão presente nas seguintes provas
Cadernos
Caderno Container