Magna Concursos

Foram encontradas 30 questões.

Leia o texto a seguir para responder à questão..
    Crianças mimadas ou sem educação?
    Recentemente, durante uma viagem ao Chile, me deparei com uma situação que me fez refletir sobre as diferenças geracionais. Uma criança, aparentemente com cerca de 12 anos, agiu de forma bastante desrespeitosa com seus pais durante o voo, o que me fez lembrar de outras ocasiões semelhantes que já testemunhei. O comportamento dessa criança foi marcado por gritos, exigências e uma atitude que parecia considerar seus pais como servos, a ponto de a aeromoça intervir para pedir que a controlassem. Ao longo do voo, esse padrão de comportamento persistiu, com a criança impondo suas vontades e os pais cedendo a suas demandas após uma série de gritos, lágrimas e chantagem emocional.
[...]
    Se a resiliência é uma competência e habilidade altamente valorizada pelas empresas, como essa criança lidará com situações em que receber um "não" de seu líder ou quando perder o controle da situação? É evidente que a falta de resiliência muitas vezes está associada a um baixo controle emocional.
    Talvez essa criança se torne o próximo chefe narcisista ou tóxico a adentrar as empresas. No entanto, é importante ressaltar que profissionais com esse perfil têm uma vida útil cada vez mais curta nas organizações atualmente, o que levanta questões sobre sua viabilidade a longo prazo. 
    Neste cenário, os pais desempenham um papel fundamental, sendo em sua maioria os responsáveis por moldar esse contexto. Vivemos numa época em que a presença da babá tem ganhado uma importância desproporcional na criação e educação das crianças, enquanto a participação dos pais nos ensinamentos sobre respeito e outras questões básicas das relações humanas é limitada, muitas vezes devido ao foco em suas carreiras ou outros compromissos.
(Fonte: https://www.terra.com.br/economia/geracao-z-queesta-nas-empresas-e-mais-fragil-do-que-seimagina,48f07a3c003cb8d08f8b94bb9ed26f26tiz67kaj.html)
Após a leitura do texto II, é possível inferir que:
 

Provas

Questão presente nas seguintes provas
Leia o texto a seguir para responder à questão:
Texto I
Jodie Foster: porque criticar os mais jovens não é coisa de "velha"
Atriz e diretora de 61 anos, duas vezes vencedora do Oscar, causou polêmica ao dizer que trabalhar com a geração Z pode ser "muito irritante”.
    Com a chegada da temporada de premiações do cinema, a atriz Jodie Foster ganhou uma longa reportagem no jornal inglês "The Guardian" recentemente. Depois de ser indicada ao Globo de Ouro, Foster é candidata a receber uma indicação ao Oscar de atriz coadjuvante por "Nyad" (Netflix). No filme, ela é Bonnie, a amiga e técnica da nadadora Diana Nyad (Annette Bening) que, aos 64 anos, realizou um feito considerado humanamente impossível: nadar por mais de 50 horas no mar, indo de Cuba à costa da Flórida, nos Estados Unidos.
    Na entrevista ao jornal inglês, Foster falou sobre carreira, sobre criar filhos feministas - ela é mãe de dois garotos na faixa dos 20 anos - e como teve que descobrir o que era ser mulher acima de 50 anos em Hollywood. Aos 61 anos, a atriz que também está à frente da nova série da HBO Max "True Detective: Terra Noturna", sente-se à vontade com ela mesma, liberta e quer ajudar a geração mais jovem a sentir o mesmo.
    Mas no meio da matéria havia um pequeno trecho que ganhou repercussão. Apesar da torcida da atriz para o sucesso dos mais jovens na indústria cinematográfica, Foster ressaltou que a chamada geração Z (nascidos entre 1997 e 2010) pode ser bem irritante quando se trata de trabalho. "Eles são assim 'hoje, não estou a fim, vou chegar às 10h30'. Ou, por exemplo, em e-mails, digo que a gramática está incorreta, pergunto se não verificaram a ortografia. E eles respondem: 'Por que faria isso, isso não é um tanto quanto limitante?'", relatou a atriz.
     Não custou muito para a atriz ser detonada com aquela tradicional carga de etarismo. "É coisa de velha", disseram os incomodados pela crítica da atriz. No entanto, para muita gente não soou como uma observação de gente ultrapassada que não aceita o novo. Ao contrário, pareceu um comportamento familiar.
     No mundo, a geração Z é vista como difícil de trabalhar por causa de uma falta de motivação e pela capacidade de se distrair e de se ofender facilmente. No Brasil, a dificuldade de se engajar no trabalho também se confirma.
[...]
     A gente tem que lembrar que essa é uma geração que começou a trabalhar e foi abatida em pleno voo por uma pandemia que bagunçou o mundo. Se antes havia uma precarização do trabalho, a pandemia ajudou a consolidar essa tendência e a aumentar as desigualdades salariais já gritantes. Qual o estímulo para trabalhar e não ter o suficiente para morar bem, comer, ter lazer, enquanto uma minúscula parcela da população fica cada vez mais endinheirada? Difícil buscar motivação que resista. 
[...]
    O que posso afirmar é que toda geração tem suas questões para serem resolvidas. Assim como Jodie Foster, sou baby boomer (nascidos entre 1945 e 1964). Nasci no ano do golpe militar. Cresci num país onde a ditadura perdurou por mais de duas décadas, com tudo o que cerca regimes autoritários. A censura estava presente em diversas camadas da sociedade brasileira. Não poupava jornalistas, artistas, cientistas, entre outros. Sem contar que o tratamento dado às mulheres e as desigualdades de gênero eram ainda piores do que as atuais. Mesmo assim, a gente é empurrada a encontrar nosso lugar no mundo que nos faz mais feliz.
     Ter alguém mais experiente nessa caminhada nos dá uma grande vantagem. Tão bom quanto aprender com os jovens é assimilar o conhecimento das pessoas mais velhas. Pensa no tanto de lição que alguém como Jodie Foster, que entrou na indústria do entretenimento com apenas três anos de idade e construiu uma carreira sólida e premiada, tem a ensinar para quem está chegando. Quantas Jodie Foster, das mais diversas áreas, poderiam estar como mentoras influentes, com benefícios para todo mundo, independentemente da idade?
    Ouvir pessoas com mais experiência é como ter um espelho do que a gente quer buscar no futuro. É ter uma referência do que vale a pena na vida. Pode parecer óbvio, mas não custa lembrar que as gerações podem ter nomes e letras diferentes. Mas têm uma coisa em comum: todas vão envelhecer.
(Fonte: https://www.terra.com.br/nos/opiniao/lucia-soares/jodiefoster-por-que-criticar-os-mais-jovens-nao-e-coisa-develha,4554465b54dc2c821fadea3ff0ec1384lf18w8n7.html).
Assinale a alternativa na qual a palavra “que” apresenta valor morfológico diferente daquela destacada no período “Mas no meio da matéria havia um pequeno trecho que ganhou repercussão.”
 

Provas

Questão presente nas seguintes provas
Leia o texto a seguir para responder à questão:
Texto I
Jodie Foster: porque criticar os mais jovens não é coisa de "velha"
Atriz e diretora de 61 anos, duas vezes vencedora do Oscar, causou polêmica ao dizer que trabalhar com a geração Z pode ser "muito irritante”.
    Com a chegada da temporada de premiações do cinema, a atriz Jodie Foster ganhou uma longa reportagem no jornal inglês "The Guardian" recentemente. Depois de ser indicada ao Globo de Ouro, Foster é candidata a receber uma indicação ao Oscar de atriz coadjuvante por "Nyad" (Netflix). No filme, ela é Bonnie, a amiga e técnica da nadadora Diana Nyad (Annette Bening) que, aos 64 anos, realizou um feito considerado humanamente impossível: nadar por mais de 50 horas no mar, indo de Cuba à costa da Flórida, nos Estados Unidos.
    Na entrevista ao jornal inglês, Foster falou sobre carreira, sobre criar filhos feministas - ela é mãe de dois garotos na faixa dos 20 anos - e como teve que descobrir o que era ser mulher acima de 50 anos em Hollywood. Aos 61 anos, a atriz que também está à frente da nova série da HBO Max "True Detective: Terra Noturna", sente-se à vontade com ela mesma, liberta e quer ajudar a geração mais jovem a sentir o mesmo.
    Mas no meio da matéria havia um pequeno trecho que ganhou repercussão. Apesar da torcida da atriz para o sucesso dos mais jovens na indústria cinematográfica, Foster ressaltou que a chamada geração Z (nascidos entre 1997 e 2010) pode ser bem irritante quando se trata de trabalho. "Eles são assim 'hoje, não estou a fim, vou chegar às 10h30'. Ou, por exemplo, em e-mails, digo que a gramática está incorreta, pergunto se não verificaram a ortografia. E eles respondem: 'Por que faria isso, isso não é um tanto quanto limitante?'", relatou a atriz.
     Não custou muito para a atriz ser detonada com aquela tradicional carga de etarismo. "É coisa de velha", disseram os incomodados pela crítica da atriz. No entanto, para muita gente não soou como uma observação de gente ultrapassada que não aceita o novo. Ao contrário, pareceu um comportamento familiar.
     No mundo, a geração Z é vista como difícil de trabalhar por causa de uma falta de motivação e pela capacidade de se distrair e de se ofender facilmente. No Brasil, a dificuldade de se engajar no trabalho também se confirma.
[...]
     A gente tem que lembrar que essa é uma geração que começou a trabalhar e foi abatida em pleno voo por uma pandemia que bagunçou o mundo. Se antes havia uma precarização do trabalho, a pandemia ajudou a consolidar essa tendência e a aumentar as desigualdades salariais já gritantes. Qual o estímulo para trabalhar e não ter o suficiente para morar bem, comer, ter lazer, enquanto uma minúscula parcela da população fica cada vez mais endinheirada? Difícil buscar motivação que resista. 
[...]
    O que posso afirmar é que toda geração tem suas questões para serem resolvidas. Assim como Jodie Foster, sou baby boomer (nascidos entre 1945 e 1964). Nasci no ano do golpe militar. Cresci num país onde a ditadura perdurou por mais de duas décadas, com tudo o que cerca regimes autoritários. A censura estava presente em diversas camadas da sociedade brasileira. Não poupava jornalistas, artistas, cientistas, entre outros. Sem contar que o tratamento dado às mulheres e as desigualdades de gênero eram ainda piores do que as atuais. Mesmo assim, a gente é empurrada a encontrar nosso lugar no mundo que nos faz mais feliz.
     Ter alguém mais experiente nessa caminhada nos dá uma grande vantagem. Tão bom quanto aprender com os jovens é assimilar o conhecimento das pessoas mais velhas. Pensa no tanto de lição que alguém como Jodie Foster, que entrou na indústria do entretenimento com apenas três anos de idade e construiu uma carreira sólida e premiada, tem a ensinar para quem está chegando. Quantas Jodie Foster, das mais diversas áreas, poderiam estar como mentoras influentes, com benefícios para todo mundo, independentemente da idade?
    Ouvir pessoas com mais experiência é como ter um espelho do que a gente quer buscar no futuro. É ter uma referência do que vale a pena na vida. Pode parecer óbvio, mas não custa lembrar que as gerações podem ter nomes e letras diferentes. Mas têm uma coisa em comum: todas vão envelhecer.
(Fonte: https://www.terra.com.br/nos/opiniao/lucia-soares/jodiefoster-por-que-criticar-os-mais-jovens-nao-e-coisa-develha,4554465b54dc2c821fadea3ff0ec1384lf18w8n7.html).
Releia o período a seguir: “Pode parecer óbvio, mas não custa lembrar que as gerações podem ter nomes e letras diferentes.”

Assinale a alternativa em que a reescrita do período NÃO mantém as relações de sentido presentes no trecho.
 

Provas

Questão presente nas seguintes provas
Leia o texto a seguir para responder à questão:
Texto I
Jodie Foster: porque criticar os mais jovens não é coisa de "velha"
Atriz e diretora de 61 anos, duas vezes vencedora do Oscar, causou polêmica ao dizer que trabalhar com a geração Z pode ser "muito irritante”.
    Com a chegada da temporada de premiações do cinema, a atriz Jodie Foster ganhou uma longa reportagem no jornal inglês "The Guardian" recentemente. Depois de ser indicada ao Globo de Ouro, Foster é candidata a receber uma indicação ao Oscar de atriz coadjuvante por "Nyad" (Netflix). No filme, ela é Bonnie, a amiga e técnica da nadadora Diana Nyad (Annette Bening) que, aos 64 anos, realizou um feito considerado humanamente impossível: nadar por mais de 50 horas no mar, indo de Cuba à costa da Flórida, nos Estados Unidos.
    Na entrevista ao jornal inglês, Foster falou sobre carreira, sobre criar filhos feministas - ela é mãe de dois garotos na faixa dos 20 anos - e como teve que descobrir o que era ser mulher acima de 50 anos em Hollywood. Aos 61 anos, a atriz que também está à frente da nova série da HBO Max "True Detective: Terra Noturna", sente-se à vontade com ela mesma, liberta e quer ajudar a geração mais jovem a sentir o mesmo.
    Mas no meio da matéria havia um pequeno trecho que ganhou repercussão. Apesar da torcida da atriz para o sucesso dos mais jovens na indústria cinematográfica, Foster ressaltou que a chamada geração Z (nascidos entre 1997 e 2010) pode ser bem irritante quando se trata de trabalho. "Eles são assim 'hoje, não estou a fim, vou chegar às 10h30'. Ou, por exemplo, em e-mails, digo que a gramática está incorreta, pergunto se não verificaram a ortografia. E eles respondem: 'Por que faria isso, isso não é um tanto quanto limitante?'", relatou a atriz.
     Não custou muito para a atriz ser detonada com aquela tradicional carga de etarismo. "É coisa de velha", disseram os incomodados pela crítica da atriz. No entanto, para muita gente não soou como uma observação de gente ultrapassada que não aceita o novo. Ao contrário, pareceu um comportamento familiar.
     No mundo, a geração Z é vista como difícil de trabalhar por causa de uma falta de motivação e pela capacidade de se distrair e de se ofender facilmente. No Brasil, a dificuldade de se engajar no trabalho também se confirma.
[...]
     A gente tem que lembrar que essa é uma geração que começou a trabalhar e foi abatida em pleno voo por uma pandemia que bagunçou o mundo. Se antes havia uma precarização do trabalho, a pandemia ajudou a consolidar essa tendência e a aumentar as desigualdades salariais já gritantes. Qual o estímulo para trabalhar e não ter o suficiente para morar bem, comer, ter lazer, enquanto uma minúscula parcela da população fica cada vez mais endinheirada? Difícil buscar motivação que resista. 
[...]
    O que posso afirmar é que toda geração tem suas questões para serem resolvidas. Assim como Jodie Foster, sou baby boomer (nascidos entre 1945 e 1964). Nasci no ano do golpe militar. Cresci num país onde a ditadura perdurou por mais de duas décadas, com tudo o que cerca regimes autoritários. A censura estava presente em diversas camadas da sociedade brasileira. Não poupava jornalistas, artistas, cientistas, entre outros. Sem contar que o tratamento dado às mulheres e as desigualdades de gênero eram ainda piores do que as atuais. Mesmo assim, a gente é empurrada a encontrar nosso lugar no mundo que nos faz mais feliz.
     Ter alguém mais experiente nessa caminhada nos dá uma grande vantagem. Tão bom quanto aprender com os jovens é assimilar o conhecimento das pessoas mais velhas. Pensa no tanto de lição que alguém como Jodie Foster, que entrou na indústria do entretenimento com apenas três anos de idade e construiu uma carreira sólida e premiada, tem a ensinar para quem está chegando. Quantas Jodie Foster, das mais diversas áreas, poderiam estar como mentoras influentes, com benefícios para todo mundo, independentemente da idade?
    Ouvir pessoas com mais experiência é como ter um espelho do que a gente quer buscar no futuro. É ter uma referência do que vale a pena na vida. Pode parecer óbvio, mas não custa lembrar que as gerações podem ter nomes e letras diferentes. Mas têm uma coisa em comum: todas vão envelhecer.
(Fonte: https://www.terra.com.br/nos/opiniao/lucia-soares/jodiefoster-por-que-criticar-os-mais-jovens-nao-e-coisa-develha,4554465b54dc2c821fadea3ff0ec1384lf18w8n7.html).
Em todos os trechos a seguir há palavras ou expressões com sentido conotativo, EXCETO em:
 

Provas

Questão presente nas seguintes provas
Leia o texto a seguir para responder à questão:
Texto I
Jodie Foster: porque criticar os mais jovens não é coisa de "velha"
Atriz e diretora de 61 anos, duas vezes vencedora do Oscar, causou polêmica ao dizer que trabalhar com a geração Z pode ser "muito irritante”.
    Com a chegada da temporada de premiações do cinema, a atriz Jodie Foster ganhou uma longa reportagem no jornal inglês "The Guardian" recentemente. Depois de ser indicada ao Globo de Ouro, Foster é candidata a receber uma indicação ao Oscar de atriz coadjuvante por "Nyad" (Netflix). No filme, ela é Bonnie, a amiga e técnica da nadadora Diana Nyad (Annette Bening) que, aos 64 anos, realizou um feito considerado humanamente impossível: nadar por mais de 50 horas no mar, indo de Cuba à costa da Flórida, nos Estados Unidos.
    Na entrevista ao jornal inglês, Foster falou sobre carreira, sobre criar filhos feministas - ela é mãe de dois garotos na faixa dos 20 anos - e como teve que descobrir o que era ser mulher acima de 50 anos em Hollywood. Aos 61 anos, a atriz que também está à frente da nova série da HBO Max "True Detective: Terra Noturna", sente-se à vontade com ela mesma, liberta e quer ajudar a geração mais jovem a sentir o mesmo.
    Mas no meio da matéria havia um pequeno trecho que ganhou repercussão. Apesar da torcida da atriz para o sucesso dos mais jovens na indústria cinematográfica, Foster ressaltou que a chamada geração Z (nascidos entre 1997 e 2010) pode ser bem irritante quando se trata de trabalho. "Eles são assim 'hoje, não estou a fim, vou chegar às 10h30'. Ou, por exemplo, em e-mails, digo que a gramática está incorreta, pergunto se não verificaram a ortografia. E eles respondem: 'Por que faria isso, isso não é um tanto quanto limitante?'", relatou a atriz.
     Não custou muito para a atriz ser detonada com aquela tradicional carga de etarismo. "É coisa de velha", disseram os incomodados pela crítica da atriz. No entanto, para muita gente não soou como uma observação de gente ultrapassada que não aceita o novo. Ao contrário, pareceu um comportamento familiar.
     No mundo, a geração Z é vista como difícil de trabalhar por causa de uma falta de motivação e pela capacidade de se distrair e de se ofender facilmente. No Brasil, a dificuldade de se engajar no trabalho também se confirma.
[...]
     A gente tem que lembrar que essa é uma geração que começou a trabalhar e foi abatida em pleno voo por uma pandemia que bagunçou o mundo. Se antes havia uma precarização do trabalho, a pandemia ajudou a consolidar essa tendência e a aumentar as desigualdades salariais já gritantes. Qual o estímulo para trabalhar e não ter o suficiente para morar bem, comer, ter lazer, enquanto uma minúscula parcela da população fica cada vez mais endinheirada? Difícil buscar motivação que resista. 
[...]
    O que posso afirmar é que toda geração tem suas questões para serem resolvidas. Assim como Jodie Foster, sou baby boomer (nascidos entre 1945 e 1964). Nasci no ano do golpe militar. Cresci num país onde a ditadura perdurou por mais de duas décadas, com tudo o que cerca regimes autoritários. A censura estava presente em diversas camadas da sociedade brasileira. Não poupava jornalistas, artistas, cientistas, entre outros. Sem contar que o tratamento dado às mulheres e as desigualdades de gênero eram ainda piores do que as atuais. Mesmo assim, a gente é empurrada a encontrar nosso lugar no mundo que nos faz mais feliz.
     Ter alguém mais experiente nessa caminhada nos dá uma grande vantagem. Tão bom quanto aprender com os jovens é assimilar o conhecimento das pessoas mais velhas. Pensa no tanto de lição que alguém como Jodie Foster, que entrou na indústria do entretenimento com apenas três anos de idade e construiu uma carreira sólida e premiada, tem a ensinar para quem está chegando. Quantas Jodie Foster, das mais diversas áreas, poderiam estar como mentoras influentes, com benefícios para todo mundo, independentemente da idade?
    Ouvir pessoas com mais experiência é como ter um espelho do que a gente quer buscar no futuro. É ter uma referência do que vale a pena na vida. Pode parecer óbvio, mas não custa lembrar que as gerações podem ter nomes e letras diferentes. Mas têm uma coisa em comum: todas vão envelhecer.
(Fonte: https://www.terra.com.br/nos/opiniao/lucia-soares/jodiefoster-por-que-criticar-os-mais-jovens-nao-e-coisa-develha,4554465b54dc2c821fadea3ff0ec1384lf18w8n7.html).
Leia as afirmações a seguir a respeito do verbo destacado em “Mas têm uma coisa em comum: todas vão envelhecer” e assinale a alternativa correta.

I – Recebe um acento circunflexo por ser um monossílabo tônico com timbre fechado da vogal.
II – É acentuado para concordar com seu sujeito “gerações”.
III – Apresenta transitividade indireta, conforme preconiza a gramática normativa da língua portuguesa.
 

Provas

Questão presente nas seguintes provas
Leia o texto a seguir para responder à questão:
Texto I
Jodie Foster: porque criticar os mais jovens não é coisa de "velha"
Atriz e diretora de 61 anos, duas vezes vencedora do Oscar, causou polêmica ao dizer que trabalhar com a geração Z pode ser "muito irritante”.
    Com a chegada da temporada de premiações do cinema, a atriz Jodie Foster ganhou uma longa reportagem no jornal inglês "The Guardian" recentemente. Depois de ser indicada ao Globo de Ouro, Foster é candidata a receber uma indicação ao Oscar de atriz coadjuvante por "Nyad" (Netflix). No filme, ela é Bonnie, a amiga e técnica da nadadora Diana Nyad (Annette Bening) que, aos 64 anos, realizou um feito considerado humanamente impossível: nadar por mais de 50 horas no mar, indo de Cuba à costa da Flórida, nos Estados Unidos.
    Na entrevista ao jornal inglês, Foster falou sobre carreira, sobre criar filhos feministas - ela é mãe de dois garotos na faixa dos 20 anos - e como teve que descobrir o que era ser mulher acima de 50 anos em Hollywood. Aos 61 anos, a atriz que também está à frente da nova série da HBO Max "True Detective: Terra Noturna", sente-se à vontade com ela mesma, liberta e quer ajudar a geração mais jovem a sentir o mesmo.
    Mas no meio da matéria havia um pequeno trecho que ganhou repercussão. Apesar da torcida da atriz para o sucesso dos mais jovens na indústria cinematográfica, Foster ressaltou que a chamada geração Z (nascidos entre 1997 e 2010) pode ser bem irritante quando se trata de trabalho. "Eles são assim 'hoje, não estou a fim, vou chegar às 10h30'. Ou, por exemplo, em e-mails, digo que a gramática está incorreta, pergunto se não verificaram a ortografia. E eles respondem: 'Por que faria isso, isso não é um tanto quanto limitante?'", relatou a atriz.
     Não custou muito para a atriz ser detonada com aquela tradicional carga de etarismo. "É coisa de velha", disseram os incomodados pela crítica da atriz. No entanto, para muita gente não soou como uma observação de gente ultrapassada que não aceita o novo. Ao contrário, pareceu um comportamento familiar.
     No mundo, a geração Z é vista como difícil de trabalhar por causa de uma falta de motivação e pela capacidade de se distrair e de se ofender facilmente. No Brasil, a dificuldade de se engajar no trabalho também se confirma.
[...]
     A gente tem que lembrar que essa é uma geração que começou a trabalhar e foi abatida em pleno voo por uma pandemia que bagunçou o mundo. Se antes havia uma precarização do trabalho, a pandemia ajudou a consolidar essa tendência e a aumentar as desigualdades salariais já gritantes. Qual o estímulo para trabalhar e não ter o suficiente para morar bem, comer, ter lazer, enquanto uma minúscula parcela da população fica cada vez mais endinheirada? Difícil buscar motivação que resista. 
[...]
    O que posso afirmar é que toda geração tem suas questões para serem resolvidas. Assim como Jodie Foster, sou baby boomer (nascidos entre 1945 e 1964). Nasci no ano do golpe militar. Cresci num país onde a ditadura perdurou por mais de duas décadas, com tudo o que cerca regimes autoritários. A censura estava presente em diversas camadas da sociedade brasileira. Não poupava jornalistas, artistas, cientistas, entre outros. Sem contar que o tratamento dado às mulheres e as desigualdades de gênero eram ainda piores do que as atuais. Mesmo assim, a gente é empurrada a encontrar nosso lugar no mundo que nos faz mais feliz.
     Ter alguém mais experiente nessa caminhada nos dá uma grande vantagem. Tão bom quanto aprender com os jovens é assimilar o conhecimento das pessoas mais velhas. Pensa no tanto de lição que alguém como Jodie Foster, que entrou na indústria do entretenimento com apenas três anos de idade e construiu uma carreira sólida e premiada, tem a ensinar para quem está chegando. Quantas Jodie Foster, das mais diversas áreas, poderiam estar como mentoras influentes, com benefícios para todo mundo, independentemente da idade?
    Ouvir pessoas com mais experiência é como ter um espelho do que a gente quer buscar no futuro. É ter uma referência do que vale a pena na vida. Pode parecer óbvio, mas não custa lembrar que as gerações podem ter nomes e letras diferentes. Mas têm uma coisa em comum: todas vão envelhecer.
(Fonte: https://www.terra.com.br/nos/opiniao/lucia-soares/jodiefoster-por-que-criticar-os-mais-jovens-nao-e-coisa-develha,4554465b54dc2c821fadea3ff0ec1384lf18w8n7.html).
Releia os trechos a seguir:

I – “[..] e como teve que descobrir o que era ser mulher acima de 50 anos em Hollywood.”
II – “[...] a geração Z é vista como difícil de trabalhar por causa de uma falta de motivação...”
III – “Assim como Jodie Foster, sou baby boomer (nascidos entre 1945 e 1964).”
IV – “Ouvir pessoas com mais experiência é como ter um espelho do que a gente quer buscar no futuro.”

Sobre os sentidos produzidos pelas palavras em destaque, é possível afirmar que:
 

Provas

Questão presente nas seguintes provas
Leia o texto a seguir para responder à questão:
Texto I
Jodie Foster: porque criticar os mais jovens não é coisa de "velha"
Atriz e diretora de 61 anos, duas vezes vencedora do Oscar, causou polêmica ao dizer que trabalhar com a geração Z pode ser "muito irritante”.
    Com a chegada da temporada de premiações do cinema, a atriz Jodie Foster ganhou uma longa reportagem no jornal inglês "The Guardian" recentemente. Depois de ser indicada ao Globo de Ouro, Foster é candidata a receber uma indicação ao Oscar de atriz coadjuvante por "Nyad" (Netflix). No filme, ela é Bonnie, a amiga e técnica da nadadora Diana Nyad (Annette Bening) que, aos 64 anos, realizou um feito considerado humanamente impossível: nadar por mais de 50 horas no mar, indo de Cuba à costa da Flórida, nos Estados Unidos.
    Na entrevista ao jornal inglês, Foster falou sobre carreira, sobre criar filhos feministas - ela é mãe de dois garotos na faixa dos 20 anos - e como teve que descobrir o que era ser mulher acima de 50 anos em Hollywood. Aos 61 anos, a atriz que também está à frente da nova série da HBO Max "True Detective: Terra Noturna", sente-se à vontade com ela mesma, liberta e quer ajudar a geração mais jovem a sentir o mesmo.
    Mas no meio da matéria havia um pequeno trecho que ganhou repercussão. Apesar da torcida da atriz para o sucesso dos mais jovens na indústria cinematográfica, Foster ressaltou que a chamada geração Z (nascidos entre 1997 e 2010) pode ser bem irritante quando se trata de trabalho. "Eles são assim 'hoje, não estou a fim, vou chegar às 10h30'. Ou, por exemplo, em e-mails, digo que a gramática está incorreta, pergunto se não verificaram a ortografia. E eles respondem: 'Por que faria isso, isso não é um tanto quanto limitante?'", relatou a atriz.
     Não custou muito para a atriz ser detonada com aquela tradicional carga de etarismo. "É coisa de velha", disseram os incomodados pela crítica da atriz. No entanto, para muita gente não soou como uma observação de gente ultrapassada que não aceita o novo. Ao contrário, pareceu um comportamento familiar.
     No mundo, a geração Z é vista como difícil de trabalhar por causa de uma falta de motivação e pela capacidade de se distrair e de se ofender facilmente. No Brasil, a dificuldade de se engajar no trabalho também se confirma.
[...]
     A gente tem que lembrar que essa é uma geração que começou a trabalhar e foi abatida em pleno voo por uma pandemia que bagunçou o mundo. Se antes havia uma precarização do trabalho, a pandemia ajudou a consolidar essa tendência e a aumentar as desigualdades salariais já gritantes. Qual o estímulo para trabalhar e não ter o suficiente para morar bem, comer, ter lazer, enquanto uma minúscula parcela da população fica cada vez mais endinheirada? Difícil buscar motivação que resista. 
[...]
    O que posso afirmar é que toda geração tem suas questões para serem resolvidas. Assim como Jodie Foster, sou baby boomer (nascidos entre 1945 e 1964). Nasci no ano do golpe militar. Cresci num país onde a ditadura perdurou por mais de duas décadas, com tudo o que cerca regimes autoritários. A censura estava presente em diversas camadas da sociedade brasileira. Não poupava jornalistas, artistas, cientistas, entre outros. Sem contar que o tratamento dado às mulheres e as desigualdades de gênero eram ainda piores do que as atuais. Mesmo assim, a gente é empurrada a encontrar nosso lugar no mundo que nos faz mais feliz.
     Ter alguém mais experiente nessa caminhada nos dá uma grande vantagem. Tão bom quanto aprender com os jovens é assimilar o conhecimento das pessoas mais velhas. Pensa no tanto de lição que alguém como Jodie Foster, que entrou na indústria do entretenimento com apenas três anos de idade e construiu uma carreira sólida e premiada, tem a ensinar para quem está chegando. Quantas Jodie Foster, das mais diversas áreas, poderiam estar como mentoras influentes, com benefícios para todo mundo, independentemente da idade?
    Ouvir pessoas com mais experiência é como ter um espelho do que a gente quer buscar no futuro. É ter uma referência do que vale a pena na vida. Pode parecer óbvio, mas não custa lembrar que as gerações podem ter nomes e letras diferentes. Mas têm uma coisa em comum: todas vão envelhecer.
(Fonte: https://www.terra.com.br/nos/opiniao/lucia-soares/jodiefoster-por-que-criticar-os-mais-jovens-nao-e-coisa-develha,4554465b54dc2c821fadea3ff0ec1384lf18w8n7.html).
Sobre as sequências textuais usadas na construção do texto 1, é possível afirmar que:
 

Provas

Questão presente nas seguintes provas
Leia o texto a seguir para responder à questão:
Texto I
Jodie Foster: porque criticar os mais jovens não é coisa de "velha"
Atriz e diretora de 61 anos, duas vezes vencedora do Oscar, causou polêmica ao dizer que trabalhar com a geração Z pode ser "muito irritante”.
    Com a chegada da temporada de premiações do cinema, a atriz Jodie Foster ganhou uma longa reportagem no jornal inglês "The Guardian" recentemente. Depois de ser indicada ao Globo de Ouro, Foster é candidata a receber uma indicação ao Oscar de atriz coadjuvante por "Nyad" (Netflix). No filme, ela é Bonnie, a amiga e técnica da nadadora Diana Nyad (Annette Bening) que, aos 64 anos, realizou um feito considerado humanamente impossível: nadar por mais de 50 horas no mar, indo de Cuba à costa da Flórida, nos Estados Unidos.
    Na entrevista ao jornal inglês, Foster falou sobre carreira, sobre criar filhos feministas - ela é mãe de dois garotos na faixa dos 20 anos - e como teve que descobrir o que era ser mulher acima de 50 anos em Hollywood. Aos 61 anos, a atriz que também está à frente da nova série da HBO Max "True Detective: Terra Noturna", sente-se à vontade com ela mesma, liberta e quer ajudar a geração mais jovem a sentir o mesmo.
    Mas no meio da matéria havia um pequeno trecho que ganhou repercussão. Apesar da torcida da atriz para o sucesso dos mais jovens na indústria cinematográfica, Foster ressaltou que a chamada geração Z (nascidos entre 1997 e 2010) pode ser bem irritante quando se trata de trabalho. "Eles são assim 'hoje, não estou a fim, vou chegar às 10h30'. Ou, por exemplo, em e-mails, digo que a gramática está incorreta, pergunto se não verificaram a ortografia. E eles respondem: 'Por que faria isso, isso não é um tanto quanto limitante?'", relatou a atriz.
     Não custou muito para a atriz ser detonada com aquela tradicional carga de etarismo. "É coisa de velha", disseram os incomodados pela crítica da atriz. No entanto, para muita gente não soou como uma observação de gente ultrapassada que não aceita o novo. Ao contrário, pareceu um comportamento familiar.
     No mundo, a geração Z é vista como difícil de trabalhar por causa de uma falta de motivação e pela capacidade de se distrair e de se ofender facilmente. No Brasil, a dificuldade de se engajar no trabalho também se confirma.
[...]
     A gente tem que lembrar que essa é uma geração que começou a trabalhar e foi abatida em pleno voo por uma pandemia que bagunçou o mundo. Se antes havia uma precarização do trabalho, a pandemia ajudou a consolidar essa tendência e a aumentar as desigualdades salariais já gritantes. Qual o estímulo para trabalhar e não ter o suficiente para morar bem, comer, ter lazer, enquanto uma minúscula parcela da população fica cada vez mais endinheirada? Difícil buscar motivação que resista. 
[...]
    O que posso afirmar é que toda geração tem suas questões para serem resolvidas. Assim como Jodie Foster, sou baby boomer (nascidos entre 1945 e 1964). Nasci no ano do golpe militar. Cresci num país onde a ditadura perdurou por mais de duas décadas, com tudo o que cerca regimes autoritários. A censura estava presente em diversas camadas da sociedade brasileira. Não poupava jornalistas, artistas, cientistas, entre outros. Sem contar que o tratamento dado às mulheres e as desigualdades de gênero eram ainda piores do que as atuais. Mesmo assim, a gente é empurrada a encontrar nosso lugar no mundo que nos faz mais feliz.
     Ter alguém mais experiente nessa caminhada nos dá uma grande vantagem. Tão bom quanto aprender com os jovens é assimilar o conhecimento das pessoas mais velhas. Pensa no tanto de lição que alguém como Jodie Foster, que entrou na indústria do entretenimento com apenas três anos de idade e construiu uma carreira sólida e premiada, tem a ensinar para quem está chegando. Quantas Jodie Foster, das mais diversas áreas, poderiam estar como mentoras influentes, com benefícios para todo mundo, independentemente da idade?
    Ouvir pessoas com mais experiência é como ter um espelho do que a gente quer buscar no futuro. É ter uma referência do que vale a pena na vida. Pode parecer óbvio, mas não custa lembrar que as gerações podem ter nomes e letras diferentes. Mas têm uma coisa em comum: todas vão envelhecer.
(Fonte: https://www.terra.com.br/nos/opiniao/lucia-soares/jodiefoster-por-que-criticar-os-mais-jovens-nao-e-coisa-develha,4554465b54dc2c821fadea3ff0ec1384lf18w8n7.html).
Após a leitura do texto I, é possível inferir que:
 

Provas

Questão presente nas seguintes provas
3834589 Ano: 2024
Disciplina: Medicina
Banca: HL
Orgão: Pref. Iturama-MG
Provas:
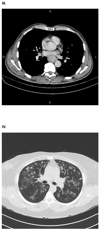
AMV, 75 anos, tabagista, com queixa de dor torácica súbito, do tipo lancinante. Ao exame físico: Regular estado geral. ACV: RCR em 2T, pulsos radiais assimétricos. PA: 150x80 mmHg. FC 110. Sat O2 90%. Solicitado ECG e Tomografia de Tórax e Abdome com contraste. 

Enunciado 4822524-1
Enunciado 4822524-2

Assinale a alternativa que contenha o achado compatível com o quadro clínico da paciente.
Questão Anulada

Provas

Questão presente nas seguintes provas
Leia o texto a seguir para responder à questão..
    Crianças mimadas ou sem educação?
    Recentemente, durante uma viagem ao Chile, me deparei com uma situação que me fez refletir sobre as diferenças geracionais. Uma criança, aparentemente com cerca de 12 anos, agiu de forma bastante desrespeitosa com seus pais durante o voo, o que me fez lembrar de outras ocasiões semelhantes que já testemunhei. O comportamento dessa criança foi marcado por gritos, exigências e uma atitude que parecia considerar seus pais como servos, a ponto de a aeromoça intervir para pedir que a controlassem. Ao longo do voo, esse padrão de comportamento persistiu, com a criança impondo suas vontades e os pais cedendo a suas demandas após uma série de gritos, lágrimas e chantagem emocional.
[...]
    Se a resiliência é uma competência e habilidade altamente valorizada pelas empresas, como essa criança lidará com situações em que receber um "não" de seu líder ou quando perder o controle da situação? É evidente que a falta de resiliência muitas vezes está associada a um baixo controle emocional.
    Talvez essa criança se torne o próximo chefe narcisista ou tóxico a adentrar as empresas. No entanto, é importante ressaltar que profissionais com esse perfil têm uma vida útil cada vez mais curta nas organizações atualmente, o que levanta questões sobre sua viabilidade a longo prazo. 
    Neste cenário, os pais desempenham um papel fundamental, sendo em sua maioria os responsáveis por moldar esse contexto. Vivemos numa época em que a presença da babá tem ganhado uma importância desproporcional na criação e educação das crianças, enquanto a participação dos pais nos ensinamentos sobre respeito e outras questões básicas das relações humanas é limitada, muitas vezes devido ao foco em suas carreiras ou outros compromissos.
(Fonte: https://www.terra.com.br/economia/geracao-z-queesta-nas-empresas-e-mais-fragil-do-que-seimagina,48f07a3c003cb8d08f8b94bb9ed26f26tiz67kaj.html)
Observe o verbo destacado no trecho a seguir:

“O comportamento dessa criança foi marcado por gritos, exigências e uma atitude que parecia considerar seus pais como servos, a ponto de a aeromoça intervir para pedir que a controlassem.”

Assinale a alternativa em que a forma do verbo destacado no trecho foi usada em desacordo com as normas prescritas pela gramática padrão da língua portuguesa.
Questão Anulada

Provas

Questão presente nas seguintes provas