Foram encontradas 1.440 questões.
No controle de qualidade de imagem
mamográfica, deve-se usar um “phantom”,
que nada mais é do que
Provas
Questão presente nas seguintes provas
A qualidade da mamografia e sua
sensibilidade de detecção do câncer mamário
dependem do adequado posicionamento. A
compressão adequada da mama é essencial
para um exame confiável e ela visa, EXCETO
Provas
Questão presente nas seguintes provas
Assinale a alternativa que apresenta as
alterações mamográficas que corroboram
para o diagnóstico de contratura capsular do
implante mamário de silicone.
Provas
Questão presente nas seguintes provas
Relacione adequadamente as colunas acerca
dos principais achados na tomografia de
tórax e assinale a alternativa com a
sequência correta.
1. Atelectasia laminar. 2. Faveolamento. 3. Broncocele. 4. Bronquiectasia. 5. Consolidação.
A. Preenchimento, com substituição do ar, dos espaços alveolares por um produto patológico qualquer. B. Dilatação brônquica com retenção de secreções, geralmente causada por obstrução aproximal. C. Área focal de perda de volume pulmonar subsegmentar com configuração linear ou discoide, quase sempre se estendendo até a pleura. D. Múltiplos cistos, em geral, de localização subpleural, com diâmetros semelhantes, agrupados em camadas. E. Dilatação brônquica irreversível.
1. Atelectasia laminar. 2. Faveolamento. 3. Broncocele. 4. Bronquiectasia. 5. Consolidação.
A. Preenchimento, com substituição do ar, dos espaços alveolares por um produto patológico qualquer. B. Dilatação brônquica com retenção de secreções, geralmente causada por obstrução aproximal. C. Área focal de perda de volume pulmonar subsegmentar com configuração linear ou discoide, quase sempre se estendendo até a pleura. D. Múltiplos cistos, em geral, de localização subpleural, com diâmetros semelhantes, agrupados em camadas. E. Dilatação brônquica irreversível.
Provas
Questão presente nas seguintes provas
Na avaliação ultrassonográfica dos
linfonodos cervicais, qual é o marco
anatômico que permite a subdivisão em A e B
do nível I?
Provas
Questão presente nas seguintes provas
Túberes corticais, bandas radiais e nódulos
subependimários são achados no SNC, em
tomografia e ressonância magnética,
característicos de qual doença?
Provas
Questão presente nas seguintes provas
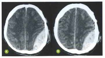
A seguinte tomografia computadorizada de crânio evidencia

Provas
Questão presente nas seguintes provas
A densitometria óssea é uma importante
ferramenta no diagnóstico da osteoporose e
na monitorização do tratamento. A técnica
densitométrica mais utilizada atualmente é a
DXA que conta com
Provas
Questão presente nas seguintes provas
Sobre a anomalia congênita da figura a seguir, assinale a alternativa correta.

Provas
Questão presente nas seguintes provas
2110962
Ano: 2021
Disciplina: Noções de Primeiros Socorros
Banca: AOCP
Orgão: Pref. João Pessoa-PB
Disciplina: Noções de Primeiros Socorros
Banca: AOCP
Orgão: Pref. João Pessoa-PB
Provas:
Durante um atendimento, realizado por uma
equipe de socorro (técnico em enfermagem e
condutor de veículo de emergência), a equipe
deparou-se com uma pessoa adulta que
sofrera ferimentos por queimaduras ao
utilizar “gasolina” para acender uma
churrasqueira. Diante do exposto, quais são
as áreas do corpo mais críticas?
Provas
Questão presente nas seguintes provas
Cadernos
Caderno Container