Foram encontradas 1.440 questões.
Pacientes com a sequência de Pierre Robin
apresentam qual tríade clínica clássica?
Provas
Questão presente nas seguintes provas
Em caso de paciente vítima de trauma com
perda de substancia no nível do joelho e
exposição óssea e articular, qual é a melhor
conduta?
Provas
Questão presente nas seguintes provas
São fatores de risco para o retalho
músculo-cutâneo abdominal na reconstrução
de mama, EXCETO
Provas
Questão presente nas seguintes provas
Um paciente de 25 anos foi vítima de trauma
grave, necessitando intubação e cuidados
intensivos durante 21 dias. Evoluiu com
úlcera sacral de 3x5 cm e, no momento,
apresenta previsão de alta hospitalar, sem
sequela motora ou neurológica. Diante de tal
quadro clínico, qual conduta é a menos
apropriada para a cobertura da úlcera
existente?
Provas
Questão presente nas seguintes provas
Considerando a ventilação pulmonar durante
a realização de uma ressecção e anastomose
traqueal, assinale a alternativa correta.
Provas
Questão presente nas seguintes provas
Em relação ao pré-operatório em cirurgia
torácica, é correto afirmar que
Provas
Questão presente nas seguintes provas
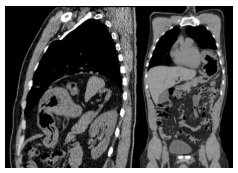
Em relação ao caso apresentado na questão
anterior, após estabilização do paciente, ele
foi submetido à tomografia de tórax cujo
achado mais significativo aparece na
seguinte imagem. Com base no exposto,
assinale a alternativa correta.


Provas
Questão presente nas seguintes provas
Quanto ao estadiamento do mediastino no
câncer de pulmão, assinale a alternativa
correta.
Provas
Questão presente nas seguintes provas
Em relação aos tumores benignos de pulmão,
é correto afirmar que
Provas
Questão presente nas seguintes provas
Para o tratamento cirúrgico de tumores
malignos da parede torácica, assinale a
alternativa correta.
Provas
Questão presente nas seguintes provas
Cadernos
Caderno Container