Foram encontradas 70 questões.
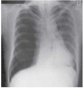
Paciente de 30 anos, masculino, tabagista e usuário de maconha,
deu entrada no Posto de Saúde com quadro de dor torácica de
início súbito (sem história de trauma recente), dispneia,
taquipneia, PA 100x70 mmHg, FC 110 bpm com ritmo sinusal.
Realizada radiografia de tórax, representada na imagem abaixo.

Assinale a opção que apresenta a principal hipótese diagnóstica para o caso.
Realizada radiografia de tórax, representada na imagem abaixo.

Assinale a opção que apresenta a principal hipótese diagnóstica para o caso.
Provas
Questão presente nas seguintes provas
Paciente masculino, 70 anos, tabagista e hipertenso, deu entrada
no atendimento de urgência com quadro de palpitação, vertigem,
desconforto torácico, PA 140x80 mmHg, SpO2 96%.
Realizado ECG que demostrou o traçado abaixo.

Conforme os dados apresentados e a leitura do traçado do ECG, assinale a opção que apresenta o diagnóstico mais provável.
Realizado ECG que demostrou o traçado abaixo.

Conforme os dados apresentados e a leitura do traçado do ECG, assinale a opção que apresenta o diagnóstico mais provável.
Provas
Questão presente nas seguintes provas
Os tumores cerebrais primários são um conjunto de neoplasias
malignas originárias de células de sustentação do tecido nervoso
(a glia). São tumores raros, correspondendo a 2% de todos os
cânceres conhecidos. A sua evolução varia com a célula original e
com o comportamento biológico tumoral, e alguns tipos mais
agressivos ainda mantêm elevada mortalidade em adultos –
condição pouco modificada pelo emprego das modalidades
terapêuticas disponíveis.
A identificação de fatores de risco e da doença em seu estágio inicial e o encaminhamento ágil e adequado para o atendimento especializado dão à Atenção Básica um caráter essencial para um melhor resultado terapêutico e prognóstico dos casos.
Assinale a opção que representa o principal fator de risco para gliomas.
A identificação de fatores de risco e da doença em seu estágio inicial e o encaminhamento ágil e adequado para o atendimento especializado dão à Atenção Básica um caráter essencial para um melhor resultado terapêutico e prognóstico dos casos.
Assinale a opção que representa o principal fator de risco para gliomas.
Provas
Questão presente nas seguintes provas
A dermatite atópica (DA) é uma condição crônica, recorrente,
inflamatória e pruriginosa da pele, que ocorre com maior
frequência em crianças (início precoce), mas também pode afetar
adultos, os quais representam um terço de todos os casos novos
da doença.
A fisiopatologia da DA é complexa e envolve fatores genéticos, ambientais, anormalidade da barreira cutânea, desregulação imunológica e alterações do microbioma da pele, que levam a lesões cutâneas e prurido intenso, comprometendo a saúde e a qualidade de vida das pessoas afetadas por essa condição.
Assinale a opção que apresenta um critério maior para diagnóstico de dermatite atópica.
A fisiopatologia da DA é complexa e envolve fatores genéticos, ambientais, anormalidade da barreira cutânea, desregulação imunológica e alterações do microbioma da pele, que levam a lesões cutâneas e prurido intenso, comprometendo a saúde e a qualidade de vida das pessoas afetadas por essa condição.
Assinale a opção que apresenta um critério maior para diagnóstico de dermatite atópica.
Provas
Questão presente nas seguintes provas
A espondilite anquilosante (EA) é uma doença inflamatória
crônica, classificada no grupo das espondiloartrites, que acomete
preferencialmente a coluna vertebral, podendo evoluir com
rigidez e limitação funcional progressiva do esqueleto axial.
Para o diagnóstico de doença estabelecida, são utilizados os critérios de classificação modificados de Nova Iorque: se o paciente apresentar, pelo menos, um critério clínico e um critério radiográfico, o mesmo é classificado como portador de EA.
Assinale a opção que apresenta um critério para diagnóstico de EA.
Para o diagnóstico de doença estabelecida, são utilizados os critérios de classificação modificados de Nova Iorque: se o paciente apresentar, pelo menos, um critério clínico e um critério radiográfico, o mesmo é classificado como portador de EA.
Assinale a opção que apresenta um critério para diagnóstico de EA.
Provas
Questão presente nas seguintes provas
Patologia caracterizada pela proliferação excessiva de granulócitos
maduros e em amadurecimento e pela presença do cromossomo
Philadelphia, que resulta da translocação recíproca entre os braços
longos dos cromossomos 9 e 22, levando à fusão do gene BCR com
o gene ABL1, que resulta na expressão da proteína
tirosinoquinase, com papel central na patogênese da doença.
Assinale a opção que indica a patologia acima descrita.
Assinale a opção que indica a patologia acima descrita.
Provas
Questão presente nas seguintes provas
O transtorno esquizoafetivo pode ser uma variante da
esquizofrenia na qual os sintomas do humor são
excepcionalmente proeminentes e comuns; pode ser uma forma
grave de transtorno depressivo ou bipolar na qual os sintomas
psicóticos não cedem completamente entre os episódios de
humor; ou, ainda, duas doenças psiquiátricas relativamente
comuns concomitantes, a esquizofrenia e um transtorno de humor
(transtorno depressivo maior ou transtorno bipolar).
Na última década do século XX e na primeira do atual, amplo debate foi realizado sobre a superioridade dos novos medicamentos antipsicóticos no tratamento da esquizofrenia e do transtorno esquizoafetivo. Os ensaios clínicos de tratamento medicamentoso agruparam pacientes com esquizofrenia e com transtorno esquizoafetivo e chegaram ao consenso de que a eficácia de todos os antipsicóticos é semelhante na maior parte dos pacientes.
Entre as medicações para tratamento do transtorno esquizoafetivo relacionadas a seguir, assinale a que é contraindicada para pacientes em uso de levodopa.
Na última década do século XX e na primeira do atual, amplo debate foi realizado sobre a superioridade dos novos medicamentos antipsicóticos no tratamento da esquizofrenia e do transtorno esquizoafetivo. Os ensaios clínicos de tratamento medicamentoso agruparam pacientes com esquizofrenia e com transtorno esquizoafetivo e chegaram ao consenso de que a eficácia de todos os antipsicóticos é semelhante na maior parte dos pacientes.
Entre as medicações para tratamento do transtorno esquizoafetivo relacionadas a seguir, assinale a que é contraindicada para pacientes em uso de levodopa.
Provas
Questão presente nas seguintes provas
A Doença Celíaca (DC) é uma enteropatia crônica do intestino
delgado, de caráter autoimune, desencadeada pela exposição ao
glúten (principal fração proteica presente no trigo, no centeio e na
cevada) em indivíduos geneticamente predispostos.
Assinale a opção que apresenta uma manifestação cutânea associada à DC.
Assinale a opção que apresenta uma manifestação cutânea associada à DC.
Provas
Questão presente nas seguintes provas
A Degeneração Macular Relacionada à Idade (DMRI) é uma doença
degenerativa, progressiva, que acomete a área central da retina
(mácula), levando frequentemente ao comprometimento da visão
central. Ela pode ser classificada como seca ou exsudativa.
Sobre a DMRI, analise as afirmativas a seguir.
I. A forma úmida é a mais comum (65-70%).
II. A etnia caucasiana, a aterosclerose e o tabagismo são fatores de risco associados a DMRI.
III. Nos países desenvolvidos, a DMRI é a principal causa de cegueira irreversível em indivíduos com mais de 50 anos.
Está correto o que se afirma em
Sobre a DMRI, analise as afirmativas a seguir.
I. A forma úmida é a mais comum (65-70%).
II. A etnia caucasiana, a aterosclerose e o tabagismo são fatores de risco associados a DMRI.
III. Nos países desenvolvidos, a DMRI é a principal causa de cegueira irreversível em indivíduos com mais de 50 anos.
Está correto o que se afirma em
Provas
Questão presente nas seguintes provas
Sobre os conceitos básicos de bioestatística, analise as afirmativas
a seguir.
I. As variáveis qualitativas referem-se a valores não numéricos e não mensuráveis, como gênero, etnia e outros dados relevantes, mas sem correspondência ou valor numérico.
II. As variáveis quantitativas adequam-se às necessidades da pesquisa e representam valores referentes ao universo pesquisado.
III. A pesquisa experimental identifica as relações entre duas variáveis.
Está correto o que se afirma em
I. As variáveis qualitativas referem-se a valores não numéricos e não mensuráveis, como gênero, etnia e outros dados relevantes, mas sem correspondência ou valor numérico.
II. As variáveis quantitativas adequam-se às necessidades da pesquisa e representam valores referentes ao universo pesquisado.
III. A pesquisa experimental identifica as relações entre duas variáveis.
Está correto o que se afirma em
Provas
Questão presente nas seguintes provas
Cadernos
Caderno Container