Foram encontradas 363 questões.
Provas
Provas
Provas
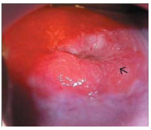
Ao realizar a colposcopia de uma paciente de 36 anos, sexualmente ativa e aparentemente saudável, o ginecologista se depara com algumas vilosidades colunares densamente brancas em comparação às vilosidades colunares circulantes após aplicação de ácido acético, da mesma forma os cistos de Naboth tornam-se brancos após a aplicação (imagem abaixo). Imediatamente o ginecologista deve pensar em:

Fonte: Colposcopia - Manual para principiantes, J.W. Sellors & R. Sankaranarayanan.
https://screening.iarc.fr/colpochap.php?lang=4&chap=8.php
Provas
Vulvovaginites e vaginoses são afecções do epitélio estratificado da vulva e/ou vagina, sendo causas comuns de corrimento vaginal patológico, responsáveis por inúmeras consultas aos ginecologistas. Sobre essas patologias, correlacione as colunas e assinale a alternativa com a sequência correta:
Patologia
1. Vaginose Citolítica.
2. Vaginite Lactacional.
3. Vaginite Irritativa.
4. Vaginite Descamativa Inflamatória.
Descrição
( ) Se assemelha à colpite atrófica inicial, pelo hipoestrogenismo, pode até mesmo mimetizar a tricomoníase. Os sintomas são similares, com desconforto urinário, prurido vaginal e secura, dispareunia e corrimento. O pH geralmente é mais alcalino. À microscopia observa-se poucos lactobacilos, diminuição de células superficiais e aumento de células basais e parabasais.
( ) Consiste na flora de lactobacilos exacerbada, por vezes incomoda as pacientes e torna-se queixa principal, apesar de ser apenas aumento do resíduo vaginal fisiológico. Pode-se aliviar os sintomas da paciente com creme vaginal com tampão borato pH 8, por 10 dias.
( ) Acompanha o líquen plano vestibular frequentemente, pode apresentar descarga purulenta e dispareunia. O corrimento é amarelado com pH alto, colpite macular pode estar presente e à microscopia observa-se aumento de polimorfonucleares e células parabasais.
( ) Causada por agentes químicos medicamentosos ou cosméticos, cujo tratamento é a suspensão dos mesmos. A paciente refere ardor, prurido e há eritema.
Provas
A atenção obstétrica deve contemplar todos os procedimentos que garantam o bem-estar do binômio mãe-filho em todas as etapas da puerperalidade. Entre as diversas evidências científicas encontram-se as ações de estímulo ao aleitamento materno. O obstetra tem várias oportunidades de atuação, desde o início do pré-natal até o final do puerpério, de modo que as suas condutas podem se constituir em poderosas armas a favor do aleitamento materno. São ações e cuidados importantes que o obstetra pode ter em relação a amamentação, exceto:
Provas
A colposcopia é um grande aliado do ginecologista que contribui para avaliar o colo do útero e os tecidos da vagina e vulva auxiliando nos diagnósticos e condutas clínicas. Avalie as imagens 1, 2 e 3 e assinale a alternativa que melhor a representa, respectivamente.

Fonte: Manual de Orientação Trato Genital Inferior - Federação Brasileira das Associações de Ginecologia e Obstetrícia
Provas
A perda involuntária de urina por mulheres (incontinência urinária feminina) é um fator que motiva muitas mulheres a procurar atendimento médico. A respeito do tratamento da incontinência urinária feminina, assinale a alternativa incorreta:
Provas
Paciente de 49 anos relatando condições específicas que caracterizam climatério. O ultrassom revelou uma massa (cisto) com conteúdo espesso no ovário direito. A paciente foi submetida à cirurgia para retirada, havendo ruptura do cisto durante o processo de remoção. O exame intraoperatório de congelação diagnosticou um cistoadenoma mucinoso. Diante do exporto, conlui-se:
Provas
Estimula a secreção de estrogênio, é responsável pelo desenvolvimento e maturação dos folículos ovarianos, além disso, regula o crescimento, desenvolvimento, puberdade, reprodução e secreção de hormônios sexuais pelos testículos e ovários. O hormônio responsável pelas atividades citadas é:
Provas
Caderno Container