Foram encontradas 1.348 questões.
Assinale a afirmativa que está em desacordo aos conceitos fundamentais para o diagnóstico em psiquiatria.
Provas
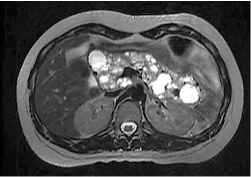
Paciente realiza ressonância magnética que individualiza múltiplas formações císticas pancreáticas, conforme a imagem a seguir:

Fonte: Arquivos Brasileiros de Endocrinologia e Metabologia, v. 43, n. 5, out. 1999.
Nesse caso, o paciente não possui maior risco de desenvolver:
Provas
De acordo com a classificação MY-RADS, no estágio 2, há:
I- Achados morfológicos consistentes com doença estável ou responsiva, com diminuição ligeira do número e do tamanho das lesões focais.
II- Doença recidivada.
III- Aparecimento suspeito e ambíguo de nova lesão.
IV- Achados morfológicos consistentes com doença estável ou responsiva, com diminuição inequívoca do número e do tamanho das lesões focais.
Está(ão) CORRETA(S) a(s) afirmativa(s)
Provas
Não são achados comuns na avaliação ultrassonográfica de pacientes com hepatopatia crônica e ascite:
Provas
Paciente feminina, 55 anos, com queixa de dor abdominal de início há 2 dias e massa palpável no epigástrio, realiza ultrassonografia, evidenciando massa cística na cabeça do pâncreas, com aspecto em “favo de mel”, exibindo inúmeros finos septos no seu interior e múltiplos pequenos cistos com conteúdo homogêneo. Marcadores tumorais negativos (CEA e CA19-9).
Qual é o diagnóstico mais provável?
Provas
AFB, sexo feminino, 35 anos, realiza ecografia de abdome de rotina identificando-se nódulo hepático isoecogênico ao parênquima circunjacente, apresentando, ao Doppler colorido, padrão de vascularização em “roda de carroça”. Qual é a principal hipótese diagnóstica?
Provas
Sobre o uso do ultrassom em diversos ramos, analise as afirmativas a seguir.
I- Ao examinar os rins, irá gerar a possibilidade de detecção de algum tipo de problema em alguma dessas partes desse órgão, tais como: cálculos, dilatações, infecções, tumores (malignos ou benignos).
II- Ao examinar os rins, tem-se a possibilidade de visualização nítida da sua cápsula, sua estrutura funcional chamada de parênquima, assim como sua porção mais central e que, nas imagens ultrassonográficas, aparecem brilhantes, denominada de bacinete.
III- Na bexiga urinária, há a necessidade de uma repleção hídrica adequada, para que ela possa se distender. E, assim, obter imagens de suas paredes, da sua capacidade máxima de enchimento, dos meatos (que são os locais por onde desembocam os "canais" que trazem urina dos rins) e de sua capacidade de esvaziamento.
IV- Atualmente, o exame de ultrassom do trato urinário é uma excelente arma diagnóstica para ser usada em pacientes com queixas urinárias.
Está(ão) CORRETA(S) a(s) afirmativa(s)
Provas
Qual alternativa descreve corretamente as noções básicas de anatomia e histologia óssea?
Provas
Diminuição ou perda da intensidade do sinal gerado pelas ondas de ultrassom, principalmente em estruturas profundas, pode ser compensado(a) fazendo um ajuste do ganho do aparelho com a finalidade de deixar a imagem mais homogênea. Qual é o artefato descrito?
Provas
Uma onda de ultrassom se propaga por um meio biológico liberando parte de sua energia na forma de calor e vibração tecidual; resulta em diminuição da amplitude ou depressão da onda. Qual o fenômeno físico mencionado?
Provas
Caderno Container