Magna Concursos

Foram encontradas 645 questões.

2932533 Ano: 2023
Disciplina: Odontologia
Banca: Verbena
Orgão: Pref. Morrinhos-GO
Provas:
As resinas compostas são os materiais mais utilizados em restaurações diretas, seja em dentes anteriores ou posteriores. Elas apresentam características importantes que favorecem a sua união à estrutura dentária e podem promover maior resistência de união quando se realiza uma restauração devido
 

Provas

Questão presente nas seguintes provas
2932532 Ano: 2023
Disciplina: Odontologia
Banca: Verbena
Orgão: Pref. Morrinhos-GO
Provas:
Leia o caso a seguir.
Paciente do sexo masculino sofreu um trauma bucal após queda de um balanço. O atendimento odontológico aconteceu 1 hora após o acidente e através do exame intrabucal, foi possível evidenciar um deslocamento parcial do dente 61 para fora do alvéolo. O exame radiográfico evidenciou rizogênese incompleta do referido dente.

Qual o diagnóstico e a conduta, respectivamente, para esse caso clínico?
 

Provas

Questão presente nas seguintes provas
2932531 Ano: 2023
Disciplina: Odontologia
Banca: Verbena
Orgão: Pref. Morrinhos-GO
Provas:
O complexo dentino-pulpar é formado por dentina mineralizada, pré-dentina não mineralizada e polpa dentária, que é um tecido conjuntivo frouxo altamente especializado. A proteção desse complexo pode ser realizada por meio de materiais específicos em vários contextos da Odontologia. Pode ser considerada como propriedade ideal de um material utilizado para proteção do complexo dentino-pulpar a capacidade de
 

Provas

Questão presente nas seguintes provas
2932530 Ano: 2023
Disciplina: Odontologia
Banca: Verbena
Orgão: Pref. Morrinhos-GO
Provas:
Leia o caso a seguir.
Paciente, 25 anos, sexo feminino, portadora de anemia falciforme, comparece ao consultório odontológico para realizar o tratamento endodôntico do dente 44.
Para a realização desse procedimento odontológico, o cirurgião-dentista deverá evitar o uso de qual anestésico local, devido ao risco de metemoglobinemia?
 

Provas

Questão presente nas seguintes provas
2932529 Ano: 2023
Disciplina: Odontologia
Banca: Verbena
Orgão: Pref. Morrinhos-GO
Provas:
Leia o caso a seguir.
Paciente, 34 anos, sexo masculino, apresenta ulceração das papilas interdentais com formação de pseudomembrana, sangramento gengival, halitose, dor e perda óssea rápida. Ele relatou, também, quadro de febre nos últimos 4 dias.
Qual o diagnóstico da condição periodontal apresentada?
 

Provas

Questão presente nas seguintes provas
2932528 Ano: 2023
Disciplina: Odontologia
Banca: Verbena
Orgão: Pref. Morrinhos-GO
Provas:
Leia o texto a seguir.
Epitélio estratificado pavimentoso não queratinizado, com poucas camadas de células, alta capacidade de permeabilidade e responsável pelo íntimo contato com a superfície dentária.

A descrição histológica refere-se a qual estrutura periodontal?
 

Provas

Questão presente nas seguintes provas
2932527 Ano: 2023
Disciplina: Odontologia
Banca: Verbena
Orgão: Pref. Morrinhos-GO
Provas:
A maturação da placa dental é influenciada por fatores de origem microbiana e derivados do hospedeiro. São fatores bacterianos que corroboram a maturação da placa dental:
 

Provas

Questão presente nas seguintes provas
2932526 Ano: 2023
Disciplina: Odontologia
Banca: Verbena
Orgão: Pref. Morrinhos-GO
Provas:
As mãos constituem a principal via de transmissão de microrganismos durante a assistência prestada aos pacientes, pois a pele é um possível reservatório de bactérias, que podem se transferir de uma superfície para outra, por meio de contato direto ou indireto. Qual a finalidade da higienização das mãos para a realização de um procedimento cirúrgico odontológico?
 

Provas

Questão presente nas seguintes provas
2932525 Ano: 2023
Disciplina: Odontologia
Banca: Verbena
Orgão: Pref. Morrinhos-GO
Provas:
Leia o caso a seguir.
Paciente de 18 anos de idade procurou atendimento odontológico apresentando lesão cariosa extensa na região oclusal do dente 36. O teste de sensibilidade pulpar foi realizado no referido dente e o resultado foi negativo. Não há evidências de alterações em mucosa bucal.
Qual técnica radiográfica deverá ser indicada para auxiliar no diagnóstico final desse caso?
 

Provas

Questão presente nas seguintes provas
2932524 Ano: 2023
Disciplina: Odontologia
Banca: Verbena
Orgão: Pref. Morrinhos-GO
Provas:
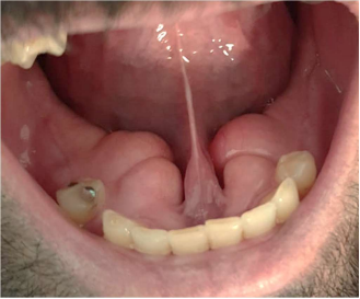
A avaliação física intrabucal é uma etapa do exame clínico que permite verificar o estado de saúde e a identificação de possíveis variações de normalidade ou patologias na cavidade bucal. Observe a imagem intrabucal a seguir.
Enunciado 2932524-1
Qual variação de normalidade pode ser evidenciada nessa imagem intrabucal?
 

Provas

Questão presente nas seguintes provas