Foram encontradas 40 questões.
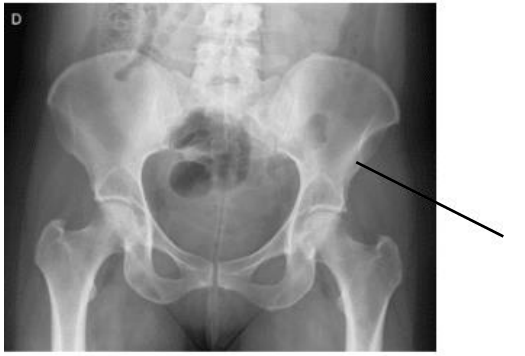
No exame abaixo podemos visualizar um detalhe anatômico ósseo denominado:

Fonte: https://anatomia-papel-e-caneta.com/posicionamento-radiologico-mmii-bacia-quadril/
Provas
A imagem radiológica abaixo aponta pela seta a estrutura anatômica denominada:

Fonte: http://anatpat.unicamp.br/rpgcraniofar2.html
Provas
Sobre os princípios básicos da proteção radiológica, marque (V) para verdadeiro ou (F) para falso:
( ) A justificação é o princípio básico de proteção radiológica que estabelece que nenhuma prática ou fonte adscrita a uma prática deve ser autorizada a menos que produza suficiente benefício para o indivíduo exposto ou para a sociedade, de modo a compensar o detrimento que possa ser causado.
( ) O princípio da justificação em medicina e odontologia deve ser aplicado considerando a eficácia, os benefícios e riscos de técnicas alternativas disponíveis com o mesmo objetivo, mas que envolvam no máximo duas exposições a radiações ionizantes.
( ) A otimização da proteção deve ser aplicada em dois níveis, nos projetos e construções de equipamentos e instalações, e nos procedimentos de trabalho.
( ) Os limites de doses individuais são valores de dose efetiva ou de dose equivalente, estabelecidos para exposição ocupacional e exposição do público, decorrentes de práticas controladas, cujas magnitudes não devem ser excedidas.
Marque a alternativa que apresenta a sequência CORRETA:
Provas
De acordo com a imagem abaixo podemos visualizar os ductos biliares com base na imagem responda o que se pede:

https://www.sbp.org.br/manual-de-laudos-histopatologicos/figado-vias-biliares-tumores-ductos-biliares-extra-hepaticos/
Provas
A imagem radiográfica abaixo demonstra qual detalhe anatômico:

https://www.cintramedica.pt/exame/raio-x-coluna-lombar
Provas
Na figura abaixo ilustra as partes básicas de um equipamento radiográfico, a estrutura indicada pelo número 3 corresponde a:

Provas
Na representação gráfica abaixo, do rim, a pirâmide renal é indicada por qual dos números indicados no desenho?

Provas
Sobre a câmara escura é CORRETO afirmar:
Provas
Os processos induzidos pelas interações da radiação ionizante no tecido humano dependem de alguns fatores. São estes, EXCETO:
Provas
- Internet
- Segurança da InformaçãoVírus, Spyware e OutrosRansomware
- Segurança da InformaçãoVírus, Spyware e OutrosSpyware
- Segurança da InformaçãoVírus, Spyware e OutrosTrojan Horse
“Malware é um termo amplo que é usado para classificar todo tipo de software malicioso usado para causar prejuízo, que pode ser até financeiro, danificar sistemas, interceptar dados ou simplesmente irritar o usuário, afetando tanto computadores como celulares e até redes inteiras.”
(Fonte: https://www.techtudo.com.br/listas/2021/03/o-que-e-malware-veja-significado-tipos-e-saiba-remover.ghtml).
São feitas as seguintes afirmações:
I. Trojan, ou cavalo de troia, é um malware que chega ao usuário, normalmente, por meio de e-mail ou sites infectados. Uma vez instalado, o trojan fornece acesso aos invasores, que podem roubar dados ou instalar outras ameaças.
II. Adware (ou spyware) é um software inicialmente criado para dar acesso ilícito a dados bancários do usuário do computador infectado, posteriormente convertido a um mecanismo de distribuição de propagandas.
III. Ransomware é um arquivo capaz de criptografar arquivos ou bloquear o aparelho infectado, com posterior cobrança de pagamento para liberação dos dados ou do acesso à máquina. Os invasores normalmente exigem pagamento em criptomoedas.
Sobre as afirmações acima:
Provas
Caderno Container