Foram encontradas 1.314 questões.
O pediatra atende uma menina de três anos e meio numa UBS, com anorexia e hipoatividade há três meses, sem outras
queixas. Tratou parasitose intestinal três meses atrás. Ao exame físico: IMC= -1,5 escore-Z, estatura= -1 escore-Z ,
pálida (+/4), sem outras alterações. Hemograma realizado há uma semana: Hemácias= 3,5 x1012/L, Hb= 10,7g% Ht=
29% VCM= 72fl, HCM= 20pg, RDW= 16,1% e reticulócitos= 0,5%
Qual o tipo de anemia mais provável desta paciente?
Qual o tipo de anemia mais provável desta paciente?
Provas
Questão presente nas seguintes provas
A síndrome nefrótica por lesão mínima costuma cursar com proteinúria maciça, edema, dislipidemia e
hipoalbuminemia sérica. Além do quadro típico, esses pacientes podem entrar em estado de hipercoagulabilidade e,
consequentemente, em risco para eventos trombóticos.
Qual é a causa mais associada ao estado de hipercoagulabilidade nestes pacientes?
Qual é a causa mais associada ao estado de hipercoagulabilidade nestes pacientes?
Provas
Questão presente nas seguintes provas
Lactente foi avaliado por pediatra com história de perda do apetite e adinamia, associada à diurese concentrada. Foi
solicitada urocultura por punção suprapúbica. Sobre isso, assinale a alternativa CORRETA.
Provas
Questão presente nas seguintes provas
Gestante, 42 anos, 37 semanas de gestação, deu entrada na emergência, com sangramento vaginal escuro, hipertonia
uterina importante e fortes dores. O obstetra observou BCF de 80bpm e realizou o parto cirúrgico de emergência.
Recém-nascido nasceu com vitalidade comprometida, sendo necessário manobras de reanimação neonatal, incluindo
intubação e massagem cardíaca pelo neonatologista. Após a reanimação, paciente foi encaminhamento à UTI neonatal.
Após 13 dias, a criança foi a óbito. Esse óbito deve ser contabilizado no seguinte indicador:
Provas
Questão presente nas seguintes provas
Escolar com 8 anos de idade chega na emergência pediátrica, com quadro de polidipsia, poliúria, polifagia, náuseas,
vômitos e dor abdominal. Genitora relatou emagrecimento nos últimos meses. Ao exame físico, a criança encontrava-se: traquicárdica, taquipneica (++/4+) e desidratada (++/4+).
O plantonista solicitou alguns exames, dentre eles:
Glicemia: 350 mg/dL Gasometria arterial: pH = 7,28; PCO2 = 30mmHg; HCO3 - = 18 mEq/L; BE = - 6 mEq/L; K+ = 5,0 mEq/L Função renal normal Diurese = 2ml/kg/h
Diante deste caso, qual a conduta mais adequada?
O plantonista solicitou alguns exames, dentre eles:
Glicemia: 350 mg/dL Gasometria arterial: pH = 7,28; PCO2 = 30mmHg; HCO3 - = 18 mEq/L; BE = - 6 mEq/L; K+ = 5,0 mEq/L Função renal normal Diurese = 2ml/kg/h
Diante deste caso, qual a conduta mais adequada?
Provas
Questão presente nas seguintes provas
Criança foi hidratada após ser submetido ao plano C por desidratação grave.
Qual das substâncias a seguir deve estar inclusa na fase de manutenção endovenosa?
Qual das substâncias a seguir deve estar inclusa na fase de manutenção endovenosa?
Provas
Questão presente nas seguintes provas
Criança de 6 anos é admitida na emergência pediátrica, com quadro de diarreia aguda sem muco ou sangue há 2 dias.
Ao exame físico, o plantonista não notou sinais de desidratação e prescreveu o plano A para domicílio, orientando para
retornarem em caso de piora clínica. No outro dia, o paciente apresentou aumento da frequência das dejeções líquidas,
vômitos frequentes, recusa para ingestão de líquidos e piora do estado geral. Os genitores o levaram novamente ao
serviço. Ao exame, o menor encontrava-se comatoso, com olhos muito fundos, ausência de lágrimas, sinal da prega
cutânea desaparecendo em 4 segundos, pulso rápido e tempo de enchimento capilar de 6 segundos.
Diante deste caso, qual a conduta mais importante nesse momento?
Diante deste caso, qual a conduta mais importante nesse momento?
Provas
Questão presente nas seguintes provas
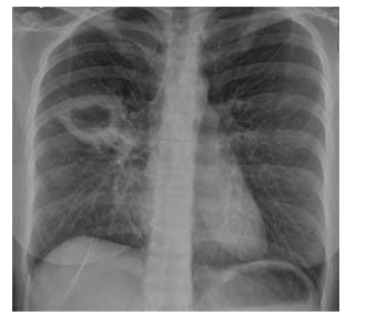
Adolescente de 12 anos, sem comorbidades, apresentou contato domiciliar de tuberculose pulmonar e vem para
investigar infecção latente por M. tuberculosis. No momento, está assintomática. Realizou PPD com resultado de 10mm
e radiografia de tórax demonstrada abaixo.
Diante do caso, qual a conduta mais aceitável?
Diante do caso, qual a conduta mais aceitável?
Provas
Questão presente nas seguintes provas
Lactente do sexo masculino, 3 meses, chega à emergência pediátrica com história de coriza, tosse, espirros e obstrução
nasal há 3 dias e febre baixa no primeiro dia do quadro. No momento, genitora refere que o bebê está “cansando” e por
isso procurou o pronto-socorro. Afirmou que nunca havia cansado antes e referiu diminuição da ingesta oral. Ao
exame: EGR, irritado, dispneico (++/4+), afebril. AR: MV + em AHT, com sibilos difusos e aumento do tempo
expiratório. FR= 60ipm. Presença de tiragem intercostal leve, ausência de batimento da asa do nariz e saturação de O2
de 88% em ar ambiente.
Diante do caso apresentado, qual a conduta mais adequada a ser adotada pelo plantonista?
Diante do caso apresentado, qual a conduta mais adequada a ser adotada pelo plantonista?
Provas
Questão presente nas seguintes provas
Durante consulta na UPA, é atendida uma criança com 8 anos que vem apresentando febre há um dia associada à
odinofagia. Ao exame, está com estado geral preservado, exibindo hiperemia de orofaringe, hipertrofia amidaliana
bilateral moderada com pontos purulentos, além de gânglios submandibulares aumentados. Não apresenta outras
alterações.
Qual o diagnóstico e a conduta mais apropriados para este caso, contando-se com condições ideais de atendimento?
Qual o diagnóstico e a conduta mais apropriados para este caso, contando-se com condições ideais de atendimento?
Provas
Questão presente nas seguintes provas
Cadernos
Caderno Container