Foram encontradas 40 questões.
Provas
Assinale a alternativa CORRETA que corresponda ao exame indicado para confirmar o diagnóstico.
Provas
Provas
I. A esclerose múltipla é uma doença autoimune que acomete o sistema nervoso central, mais especificamente substância branca, causando desmielinização e inflamação.
II. Acomete normalmente mulheres de faixa etária entre 20 e 40 anos.
III. O quadro clínico se manifesta, na maioria das vezes, por surtos ou ataques agudos, podendo entrar em remissão de forma espontânea ou com uso de corticóides (pulsoterapia).
IV. Apresenta o fenômeno de Lhermitte, mas não é exclusivo da doença.
V. A nevralgia do trigêmio possui a esclerose múltipla como uma das suas principais causas.
Assinale a alternativa CORRETA.
Provas
Paciente do sexo feminino, 53 anos, auxiliar de serviços gerais, tabagista 30 anos-maço, hipertensa em tratamento irregular, apresentou cefaleia súbita holocraniana ao ir trabalhar. Foi levada, de imediato, ao hospital referência mais próximo. Na admissão, chegou com abertura ocular e com movimentos de flexão normal ao estímulo doloroso da região glabelar e resposta verbal com frases completas e desconexas da realidade. Anisocoria – esquerda maior que direita e pupila esquerda não ofotoreagente. Apresentava-se com rigidez nucal e sinal de Brudizinski. Foi realizado estabilização imediata e exames de imagem.

Provas
Paciente do sexo feminino, 53 anos, auxiliar de serviços gerais, tabagista 30 anos-maço, hipertensa em tratamento irregular, apresentou cefaleia súbita holocraniana ao ir trabalhar. Foi levada, de imediato, ao hospital referência mais próximo. Na admissão, chegou com abertura ocular e com movimentos de flexão normal ao estímulo doloroso da região glabelar e resposta verbal com frases completas e desconexas da realidade. Anisocoria – esquerda maior que direita e pupila esquerda não ofotoreagente. Apresentava-se com rigidez nucal e sinal de Brudizinski. Foi realizado estabilização imediata e exames de imagem.

Provas
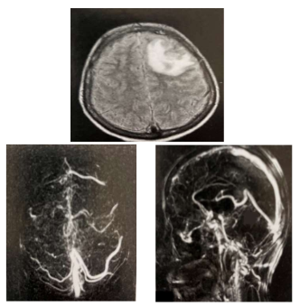
Ressonância Magnética do Crânio – T2 Flair e Angioressonância Magnética venosa do Crânio
Assinale a alternativa CORRETA que representa o diagnóstico para o caso acima e seu tratamento correspondente, respectivamente.
Provas
Imagem A: Difusão com restrição na parte dorsolateral esquerda do bulbo Imagem B: T2 com hiperintensidade na parte dorsolateral esquerda do bulbo.
Assinale a alternativa CORRETA que representa a síndrome descrita no caso acima.
Provas
I. O segmento C1 (cervical) estende-se da origem da artéria carótida comum até o orifício externo do canal carotídeo.
II. O segmento C2 (petroso) estende-se do orifício externo do canal carotídeo até o ponto em que a artéria sai deste canal e chega na margem superior do ligamento petrolingual.
III. O segmento C3 (cavernoso) estende-se do ponto em que a artéria entra no seio cavernoso e termina no ponto em que ela emerge da dura máter, medialmente ao processo clinóideo posterior.
IV. O segmento C4 (intracraniano ou clinóideo) começa no ponto em que ela entra na cavidade craniana, medialmente ao processo clinóideo posterior e termina abaixo da substância perfurada anterior, onde a artéria se bifurca.
V. O segmento C4 denominado porção intracraniana ou clinóidea é subdividido em outros três segmentos: oftálmico, comunicante e coróideo.
Assinale a alternativa CORRETA.
Provas
(Peça anatômica da superfície basal dos lobos temporal e occipital dos hemisférios cerebrais)
Provas
Caderno Container