Magna Concursos

Foram encontradas 505 questões.

2046113 Ano: 2021
Disciplina: Medicina
Banca: FAU-UNICENTRO
Orgão: Pref. Paranaguá-PR

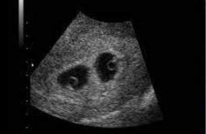
Paciente com 32 semanas de idade gestacional foi encaminhada para realização

de ultrassonografia obstétrica, onde aparentemente observa-se uma placenta, dois fetos e duas cavidades amnióticas. Ela realizou um exame de ultrassom com 7 semanas de gestação em consultório, porém só possui as imagens.

Com base na foto abaixo, assinale a afirmativa correta:

Enunciado 2046113-1

 

Provas

Questão presente nas seguintes provas

Em caso de choque. Leia as afirmativas a seguir e assinale a alternativa correta:

I - Manter via aérea pérvia.

II - Estabilizar coluna cervical se suspeita de

trauma.

III - Oferecer O2 sob mascara não reinalante 10 a 15 l/min se SatO < 94%.

IV - Identificar e controlar sangramentos, se pertinente (considerar compressão, torniquete, imobilização de pelve e membros, se necessário).

V - Monitorar oximetria de pulso e sinais vitais.

VI - Avaliar a prevenção de hipotermia: manter temperatura adequada; Remover roupas molhadas e usar manta térmica ou cobertor.

 

Provas

Questão presente nas seguintes provas

Leia as afirmativas a seguir sobre a ESF e assinale a alternativa correta:

I - O Brasil tem um Sistema Nacional de Saúde, público e universal, denominado SUS, resultado da luta pela redemocratização do País, que traz em seu arcabouço legal importantes elementos como o conceito amplo de saúde, ao considerar os aspectos socioambientais e o entendimento que a saúde é um direito do cidadão e dever do Estado.

II - Em 2006, foi elaborada e aprovada a Política Nacional de Atenção Básica (PNAB), que explicita a Saúde da Família (SF) como modelo preferencial de reorganização da atenção primária no SUS. Na PNAB, atenção básica é definida como “um conjunto de ações de saúde desenvolvidas em âmbito individual e coletivo que abrangem a promoção e proteção da saúde, prevenção de agravos, diagnóstico, tratamento, reabilitação e manutenção da saúde”.

III - Essas ações se desenvolvem por meio de uma equipe multidisciplinar, em um território geograficamente definido e com sua respectiva população, tornando-se o primeiro ponto de contato da população com o sistema de saúde. Fortalecem os princípios da APS em um Sistema Universal de Saúde, como é o SUS: universalidade, acessibilidade, coordenação, vínculo, continuidade, integração, responsabilidade, humanização, equidade e participação social. Em 2011, com a proposta de Redes de Atenção à Saúde nas regiões brasileiras, a APS foi definida como porta de entrada do SUS.

 

Provas

Questão presente nas seguintes provas

Sobre a PNAB (Política Nacional da Atenção Básica de 2017), leia as afirmativas a seguir e assinale a alternativa correta:

I - A Política Nacional de Atenção Básica (PNAB) é resultado da experiência acumulada por um conjunto de atores envolvidos historicamente com o desenvolvimento e a consolidação do SistemaÚnico de Saúde (SUS), como movimentos sociais, população, trabalhadores e gestores das três esferas de governo. Esta Portaria, conforme normatização vigente no SUS, que define a organização emRedes de Atenção à Saúde (RAS) como estratégia para um cuidado integral e direcionado às necessidades de saúde da população, destaca a Atenção Básica como primeiro ponto de atenção e porta de entrada preferencial do sistema, que deve ordenar os fluxos e contra fluxos de pessoas , produtos e informações em todos os pontos de atenção à saúde.

II - A Atenção Básica não considera a pessoa em sua singularidade e inserção sociocultural, buscando produzir a atenção integral, incorporaras ações de vigilância em saúde - a qual constitui um processo contínuo e sistemático de coleta, consolidação, análise e disseminação de dados sobre eventos relacionados à saúde - além disso, visa o planejamento e a implementação de ações públicas para a proteção da saúde da população, a prevenção e o controle de riscos, agravos e doenças, bem como para a promoção da saúde.

III - Ofertar o cuidado, reconhecendo as diferenças nas condições de vida e saúde e de acordo com as necessidades das pessoas, considerando que o direito à saúde passa pelas diferenciações sociais e deve atender à diversidade. Ficando proibida qualquer exclusão baseada em idade, gênero, cor, crença, nacionalidade, etnia, orientação sexual, identidade de gênero, estado de saúde, condição socioeconômica, escolaridade ou limitação física, intelectual, funcional, entre outras, com estratégias que permitam minimizar desigualdades, evitar exclusão social de grupos que possam vir a sofre restigmatização ou discriminação; de maneira que impacte na autonomia e na situação de saúde.

 

Provas

Questão presente nas seguintes provas

Sobre o princípio e prática da medicina de família e comunidade, leia as afirmativas a seguir e assinale a alternativa correta:

I - São médicos personalizados, responsáveis principalmente pela prestação de cuidados abrangentes e continuados a todos os indivíduos que os procuram, independentemente da idade, sexo ou afecção. Prestam cuidados a indivíduos no

contexto familiar, comunitário e cultural dos mesmos, respeitando sempre a sua autonomia. Reconhecem ter também uma responsabilidade profissional pela sua comunidade.

II - Ao negociarem os planos de ação com os seus pacientes, integram fatores físicos, psicológicos, sociais, culturais e existenciais, recorrendo ao conhecimento e à confiança resultante dos contatos repetidos.

III - A Medicina de Família e Comunidade (MFC) vem emergindo, em especial nas últimas décadas, como um campo discursivo relevante na organização dos modelos de atenção à saúde no Brasil. A partir de suas singularidades históricas na organização dos serviços de saúde, esta prática e especialidade médica recebe distintas adjetivações em outros países: “geral e familiar”, “familiar e comunitária”, “geral e integral”, “familiar”, “generalista”,

“comunitária”.

IV - Os “médicos de família” marcam presença no imaginário social de várias épocas e costumam estar associados a uma prática menos tecnológica e mais interpessoal. Nos dias de hoje, estão no cotidiano de diversos serviços primários e públicos de saúde, atendendo populações historicamente marginalizadas. Tem atuado também no setor suplementar de saúde,1 sendo publicamente defendidos por grandes planos de saúde como um modelo de formação e atenção mais racional, qualificado e custo-efetivo.

 

Provas

Questão presente nas seguintes provas
2046108 Ano: 2021
Disciplina: Serviços Gerais
Banca: FAU-UNICENTRO
Orgão: Pref. Paranaguá-PR
Provas:

Os materiais biológicos abrangem amostras provenientes de seres vivos como plantas, animais, bactérias, leveduras, fungos, parasitas (protozoários e metazoários), amostras biológicas provenientes de animais e de seres humanos (sangue, urina, secreções, derrames cavitários, peças cirúrgicas, biópsias, entre outras). Os agentes biológicos que afetam o homem, os animais e as plantas foram classificados pelo Ministério da Saúde por meio da Comissão de Biossegurança em Saúde (CBS). Os critérios da classificação tiveram como base diversos aspectos. Avalie as asserções a seguir e a relação proposta entre elas:

I - Nesta classe de Risco 3, os agentes biológicos que apresentam risco elevado para o indivíduo e com probabilidade moderada de disseminação para a coletividade.

PORQUE

II - Podem causar doenças e infecções simples ao ser humano, entretanto nem sempre existem meios eficazes de profilaxia e/ou tratamento.

A respeito dessas asserções, assinale a opção correta:

 

Provas

Questão presente nas seguintes provas
2046107 Ano: 2021
Disciplina: Serviços Gerais
Banca: FAU-UNICENTRO
Orgão: Pref. Paranaguá-PR
Provas:

A desinfecção de artigos pode ser realizada por dois métodos físico e químico. O método físico é o processo que utiliza calor associado à ação mecânica, e o químico é a imersão de artigos em soluções desinfectantes sendo indicado para os artigos sensíveis ao calor. Diante do texto acima podemos dizer que os produtos desinfectantes mais utilizados para a desinfecção de artigos é:

 

Provas

Questão presente nas seguintes provas
2046106 Ano: 2021
Disciplina: Serviços Gerais
Banca: FAU-UNICENTRO
Orgão: Pref. Paranaguá-PR
Provas:

Avalie as afirmativas marcando (V) para verdadeiro e (F) para falso e marque a alternativa correta. A ética profissional é um conjunto de regras que regulamentam o exercício profissional. O profissional técnico em Patologia Clínica é registrado no Conselho Federal de Farmácia para fins de trabalho junto a órgãos públicos, porém, deve sempre estar atento e seguir as normas em comum a todos os profissionais da saúde. As tarefas principais e primordiais do profissional em Patologia Clínica são:

( ) Tratar os pacientes, ou clientes de forma humana, com respeito, ética, paciência e profissionalismo.

( ) Executar sua função, falando somente o necessário, dando a impressão que você está concentrado em suas atividades.

( ) Trata qualquer tipo de amostra com respeito, como se você não estiver manipulando o próprio paciente.

A sequência correta de cima para baixo é:

 

Provas

Questão presente nas seguintes provas
2046105 Ano: 2021
Disciplina: Serviços Gerais
Banca: FAU-UNICENTRO
Orgão: Pref. Paranaguá-PR
Provas:

Na área da saúde, os profissionais possuem habilidade para lidar com pessoas em situações complexas, lidar com pacientes em momentos críticos, gera uma carga emocional grande, e a automação veio para aliviar o peso. Podemos classificar que os investimentos em automação na saúde geram algumas vantagens. Marque a alternativa correta:

 

Provas

Questão presente nas seguintes provas
2046104 Ano: 2021
Disciplina: Serviços Gerais
Banca: FAU-UNICENTRO
Orgão: Pref. Paranaguá-PR
Provas:

Conforme a Resolução da Diretoria da Agência Nacional de Vigilância Sanitária ANVISA – RDC Nº 306, de 7 de dezembro de 2004, os resíduos do grupo A são resíduos que possuem a possível presença de agentes biológicos que por suas características, podem apresentar risco de infecção. Com base no fragmento, avalie as afirmativas marcando (V) para verdadeiro e (F) para falso e marque a alternativa correta:

( ) Os resíduos provenientes da campanha de vacinação e atividade de vacinação em serviço público de saúde, quando não poderem ser submetidos ao tratamento em seu local de geração, devem ser recolhidos e jogados em sacos verdes.

( ) Bolsas transfusionais contendo sangue ou hemocomponentes rejeitadas por contaminação ou por má conservação, ou com prazo de validade vencido, e aquelas oriundas de coleta incompleta, sobras de amostras..... devem ser acondicionados conforme está descrito do "gerenciamento de resíduos de serviços de saúde", em saco vermelho, que devem ser substituídos quando atingirem 2/3 da sua capacidade.

( ) Peças anatômicas do ser humano, produto de fecundação sem sinais vitais, com peso menor que 500 gramas, após o registro no local de geração, devem ser encaminhados a aterro sanitário.

( ) Kits de linhas arteriais, endovenosas e dialisadores, quando descartados, sobras de amostras de laboratório e seus recipientes contendo fezes, urina e secreções.... estes resíduos podem ser dispostos sem tratamento prévio, em local devidamente licenciado para disposição final de RSS.

A sequência correta de cima para baixo é:

 

Provas

Questão presente nas seguintes provas