Foram encontradas 60 questões.
Paciente de 18 anos do sexo masculino dá entrada no pronto-socorro, trazido de helicóptero, após acidente automobilístico em alta velocidade em rodovia, há 30 minutos.
Paciente chega já intubado, com fratura exposta em ambos os membros inferiores com grande quantidade de sangramento. Já recebeu 1 litro de cristaloide aquecido e vem com os seguintes sinais vitais: FC 140, PA 50x20 (PAM 30).
Além do manejo geral para o paciente politraumatizado e avaliação de equipe cirúrgica e ortopédica, considere as seguintes afirmativas a seguir, sobre o choque do paciente.
I. O ácido tranexâmico endovenoso está indicado nessa situação pois reduz mortalidade.
II. O paciente deve ter iniciada, imediata e obrigatoriamente, droga vasoativa visando à PAM mínima de 70 para garantir perfusão adequada dos órgãos, pois não respondeu à expansão volêmica.
III. Este paciente tem indicação de abertura de protocolo de transfusão maciça pela gravidade do choque.
Está correto o que se afirma em
Provas
Sobre o tromboembolismo pulmonar (TEP), analise as afirmativas a seguir.
I. Pacientes com TEP de baixo risco, desde que não necessitem de oxigênio ou tenham outros motivos para internação, podem receber alta com anticoagulação apropriada e retorno ambulatorial precoce.
II. Pacientes com TEP de alto risco (aqueles com choque obstrutivo e hipotensão) necessitam ser internados em UTI e devem receber anticoagulação preferencialmente com heparina endovenosa em bomba de infusão contínua, além de receberem trombólise química com alteplase.
III. Nos pacientes oncológicos, a warfarina como anticoagulante deve ser evitada, pois está associada a mais eventos de sangramento além de interagir com diversos quimioterápicos.
Está correto o que se afirma em
Provas
Dentre os antibióticos utilizados no tratamento de infecções hospitalares por germes multirresistentes, indique, dentre os cinco listados a seguir, o que não tem ação contra germes anaeróbios.
Provas
Atenção: o histórico a seguir deverá ser utilizado na questão seguinte:
Homem, 79 anos, com diagnóstico de neoplasia colorretal com metástases hepáticas, peritoneais e cerebrais, está em tratamento sob cuidados paliativos exclusivos após conferência familiar entre equipe da oncologia e familiares.
Foi internado na retaguarda do PS há um dia devido à dor abdominal severa, refratária a analgésicos comuns, presença de náuseas e vômitos intensos e parada da eliminação de gazes e fezes na colostomia. Ao EF: MEG, muito emagrecido, sonolento, FC 115, PA 84x66mmHg, desidratado, com abdome doloroso difusamente à palpação. Ausência de fecaloma ao toque retal.
O mesmo paciente, no segundo dia de internação no pronto-socorro, já está com tratamento sintomático para a dor e para as náuseas e vômitos otimizado. Ainda assim, mantém-se muito desconfortável, gemente, debatendo-se no leito.
Assinale a opção que indica a melhor medida a ser instituída.
Provas
Atenção: o histórico a seguir deverá ser utilizado na questão seguinte:
Homem, 79 anos, com diagnóstico de neoplasia colorretal com metástases hepáticas, peritoneais e cerebrais, está em tratamento sob cuidados paliativos exclusivos após conferência familiar entre equipe da oncologia e familiares.
Foi internado na retaguarda do PS há um dia devido à dor abdominal severa, refratária a analgésicos comuns, presença de náuseas e vômitos intensos e parada da eliminação de gazes e fezes na colostomia. Ao EF: MEG, muito emagrecido, sonolento, FC 115, PA 84x66mmHg, desidratado, com abdome doloroso difusamente à palpação. Ausência de fecaloma ao toque retal.
Assinale a opção que indica a principal hipótese diagnóstica e o antiemético a ser utilizado.
Provas
Durante o atendimento de um paciente que evoluiu para parada cardiorrespiratória no pronto-socorro e que recebe reanimação cardiopulmonar, o seguinte traçado da capnografia em forma de onda é observado:

Baseado nesta informação e segundo o ACLS, a conduta mais adequada é
Provas
Paciente de 70 anos, sexo masculino, sem comorbidades conhecidas foi admitido no pronto-socorro há 6 horas, com quadro de dor torácica anginosa.
No momento, não apresenta qualquer queixa de dor e está assintomático, sem quaisquer alterações de sinais vitais. Realizou exames de troponina seriados, todos negativos. Segue eletrocardiograma admissional:

Assinale a opção que indica a conduta mais adequada.
Provas
Paciente do sexo masculino de 29 anos, com diagnóstico de Covid-19 na sua forma leve, dá entrada no pronto-socorro com quadro de pré-síncope, mal-estar generalizado e palpitações. Refere estar fazendo uso de um kit Covid prescrito, contendo hidroxicloroquina, azitromicina e ivermectina.
Ao exame, paciente diaforético, hipotenso e com sinais de má-perfusão periférica. Paciente foi monitorizado em desfibrilador e obtido o seguinte traçado elétrico:

Considere as seguintes opções terapêuticas:
I. Sulfato de magnésio
II. Amiodarona
III. Cardioversão elétrica sincronizada
IV. Desfibrilação
Para esse paciente, são factíveis de serem realizadas
Provas
Paciente de 25 anos do sexo feminino com antecedente de asma dá entrada no pronto-socorro em franca crise de broncoespasmo e insuficiência respiratória, não respondendo às medidas para controle da doença de base. Como consequência, é intubada.
À ventilação mecânica, após ajustados os parâmetros iniciais, observa-se, em modo volume controlado, a seguinte curva de fluxo x tempo:

Para amenizar o fenômeno apontado pela seta, todas as condutas abaixo são plausíveis, à exceção de uma. Assinale-a.
Provas
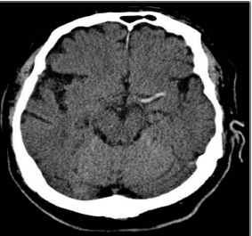
Paciente de 66 anos do sexo feminino com antecedente de hipertensão, AVC hemorrágico há 2 anos sem sequelas, e arritmia, sem seguimento médico adequado, fazendo uso irregular de captopril. Além disso, apresentou traumatismo craniano leve na semana passada, sem maiores repercussões.
Procura pronto-socorro com queixa de déficit neurológico agudo, com aparecimento há 40 minutos. À admissão, exibe PA 150x92, FC 77, FR 18, SatO2 96% a.a., glicemia capilar de 90mg/dL. Ao exame neurológico, apresenta hemiplegia à direita, afasia global e paralisia facial de padrão central, com NIHSS = 15. Realizada TC de crânio, abaixo:

Neste momento, a conduta mais adequada para essa paciente seria
Provas
Caderno Container