Foram encontradas 1.010 questões.
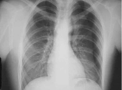
Homem de 38 anos deu entrada no Pronto-Socorro trazido por amigos, com relato de ferimento por arma branca em região do tronco à esquerda, após briga em um bar. Não houve atendimento pré-hospitalar. Chegou após 15 minutos do episódio e apresentava-se alcoolizado, agitado, reagindo a dor, com dificuldade para respirar e inspirações profundas e pausadas. Exame físico: ferimento penetrante por arma branca, de 6 cm de extensão em hemitórax esquerdo, no 6º EIC, com linha axilar média com presença de traumatopneia. Inspirações profundas e com pausas e uso de musculatura acessória. Presença de enfisema subcutâneo, diminuição da expansibilidade com hipertimpanismo à percussão e ausência de MV em HTE. FR = 24 mrpm . Saturação O2: 75%. PA: 115/74 mmHg. FC: 122 bpm. RX tórax demonstrado.

(www.bibliomed.com.br)
As condutas que deverão ser realizadas na etapa B do atendimento primário desse paciente, na sala de emergência, deverão ser:
Provas
A trombose venosa profunda (TVP) é uma afecção temida em Cirurgia. Assinale a alternativa correta com relação a esse tema.
Provas
Uma avaliação pré-operatória adequada inclui uma avaliação pré-anestésica cuidadosa. Com relação ao uso de medicamentos fitoterápicos por pacientes que se submeterão a uma cirurgia, assinale a alternativa correta.
Provas
Com relação aos tumores cervicais na infância, assinale a alternativa correta.
Provas
Com relação à cicatrização das feridas operatórias, assinale a alternativa correta.
Provas
Com relação ao choque hipovolêmico no trauma, assinale a alternativa correta.
Provas
A ultrassonografia é um excelente método para a avaliação do politraumatizado e deve ser realizada em todos os pacientes, independentemente da condição hemodinâmica da vítima. Com relação a este tema, assinale a alternativa correta.
Provas
A fratura denominada em blow out corresponde a fratura de:
Provas
O nó cirúrgico completo é uma sobreposição de três ou mais laçadas. Cada laçada pode ser denominada seminó; cada laçada tem uma função primordial. Assinale a alternativa correta, referente a este tema.
Provas
Entre os instrumentos apresentados, destaca-se um de grande utilidade nas toracotomias, com intuito de facilitar o acesso e a visualização das estruturas intratorácicas. Este instrumento é o afastador autoestático denominado:
Provas
Caderno Container