Foram encontradas 40 questões.
Considerando o posicionamento radiográfico descrito abaixo, marque a alternativa que corresponda à incidência CORRETA.
Posicionamento do paciente:
Posição ereta, lado esquerdo contra o receptor de imagem (RI) (a menos que seja indicado o perfil direito). Braços levantados e cruzados acima da cabeça, queixo levantado. Perfil absoluto, sem rotação nem inclinação; plano médio sagital paralelo ao receptor de imagem (RI) - (não empurrar os quadris contra o suporte do RI). Tórax centralizado com o raio central (RC) e com o receptor de imagem (RI) anterior e posteriormente.
Raio Central:
Raio central (RC) perpendicular ao receptor de imagem (RI), centralizado no meio do tórax à altura de T7; em geral, deve-se projetar o RI e o RC aproximadamente 2,5 cm abaixo do utilizado na incidência posteroanterior (PA) no paciente de estatura mediana.
Posicionamento do paciente:
Posição ereta, lado esquerdo contra o receptor de imagem (RI) (a menos que seja indicado o perfil direito). Braços levantados e cruzados acima da cabeça, queixo levantado. Perfil absoluto, sem rotação nem inclinação; plano médio sagital paralelo ao receptor de imagem (RI) - (não empurrar os quadris contra o suporte do RI). Tórax centralizado com o raio central (RC) e com o receptor de imagem (RI) anterior e posteriormente.
Raio Central:
Raio central (RC) perpendicular ao receptor de imagem (RI), centralizado no meio do tórax à altura de T7; em geral, deve-se projetar o RI e o RC aproximadamente 2,5 cm abaixo do utilizado na incidência posteroanterior (PA) no paciente de estatura mediana.
Provas
Questão presente nas seguintes provas
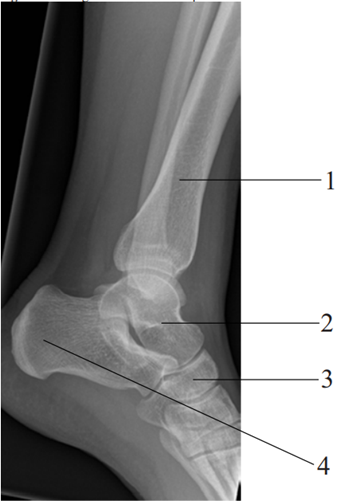
Em relação à anatomia radiográfica do tornozelo, marque a alternativa que corresponda aos pontos indicados na radiografia em perfil
do tornozelo.
Figura 01 -Imagem do tornozelo em perfil
Fonte: NETO et al.(2022, p.67) / Francisco Abaeté Neto; Leonardo M. Lustosa; João Erivan Façanha Barreto. Atlas radiográfico ilustrado: ossos e articulações [recurso eletrônico]. Fortaleza: Editora Caminhar, 2022. Pag. 67.
Figura 01 -Imagem do tornozelo em perfil
Fonte: NETO et al.(2022, p.67) / Francisco Abaeté Neto; Leonardo M. Lustosa; João Erivan Façanha Barreto. Atlas radiográfico ilustrado: ossos e articulações [recurso eletrônico]. Fortaleza: Editora Caminhar, 2022. Pag. 67.
Provas
Questão presente nas seguintes provas
Em relação à proteção radiográfica, julgue as proposições a seguir:
I- Redução da área radiografada por meio de colimadores; proteção plúmbica para gônadas, tireoide e cristalino e redução da exposição (dose de irradiação) são meios de proteção radiológica que visam a evitar efeitos deletérios da radiação.
II- Os dosímetros podem ser usados em vários serviços radiológicos, necessitando apenas de trocas semestrais, e devem ser colocados em qualquer parte do corpo durante o expediente de trabalho.
III- O monitor individual de radiação (dosímetro) é utilizado para medir a quantidade de radiação (cumulativa) que um indivíduo recebe durante um determinado período de tempo.
É CORRETO o que se afirma em:
I- Redução da área radiografada por meio de colimadores; proteção plúmbica para gônadas, tireoide e cristalino e redução da exposição (dose de irradiação) são meios de proteção radiológica que visam a evitar efeitos deletérios da radiação.
II- Os dosímetros podem ser usados em vários serviços radiológicos, necessitando apenas de trocas semestrais, e devem ser colocados em qualquer parte do corpo durante o expediente de trabalho.
III- O monitor individual de radiação (dosímetro) é utilizado para medir a quantidade de radiação (cumulativa) que um indivíduo recebe durante um determinado período de tempo.
É CORRETO o que se afirma em:
Provas
Questão presente nas seguintes provas
Em relação aos conceitos e classificação dos efeitos biológicos da radiação, julgue as proposições a seguir:
I- Os efeitos estocásticos normalmente estão associados a exposições a níveis baixos de radiação durante longo período de tempo.
II- Os efeitos somáticos surgem de danos nas células do corpo e aparecem apenas na pessoa submetida à irradiação, não havendo interferência nas gerações futuras.
III- Os efeitos determinísticos estão associados a níveis de exposição à radiação mais elevados a moderados, quando comparados ao efeito estocástico, porém em períodos de tempo intermediário e curto.
IV- A esterilidade masculina e feminina é um exemplo de efeito estocástico.
V- Os efeitos classificados como agudos ou tardios e crônicos ou imediatos dependem diretamente da dose e da duração da exposição da radiação, porém independem do grau de exposição.
É CORRETO o que se afirma apenas em:
I- Os efeitos estocásticos normalmente estão associados a exposições a níveis baixos de radiação durante longo período de tempo.
II- Os efeitos somáticos surgem de danos nas células do corpo e aparecem apenas na pessoa submetida à irradiação, não havendo interferência nas gerações futuras.
III- Os efeitos determinísticos estão associados a níveis de exposição à radiação mais elevados a moderados, quando comparados ao efeito estocástico, porém em períodos de tempo intermediário e curto.
IV- A esterilidade masculina e feminina é um exemplo de efeito estocástico.
V- Os efeitos classificados como agudos ou tardios e crônicos ou imediatos dependem diretamente da dose e da duração da exposição da radiação, porém independem do grau de exposição.
É CORRETO o que se afirma apenas em:
Provas
Questão presente nas seguintes provas
Em relação à radiação e seus efeitos biológicos, julgue as proposições a seguir:
I- Os glóbulos vermelhos, linfócitos, óvulos e espermatozoides são exemplos de células de alta radiossensibilidade.
II- A radiossensibilidade celular é variável. Quanto mais jovens as células e quanto mais não diferenciadas, mais sensíveis à radiação elas são.
III- São exemplos de células mais radioresistentes, as células nervosas e as células musculares.
É CORRETO o que se afirma em:
I- Os glóbulos vermelhos, linfócitos, óvulos e espermatozoides são exemplos de células de alta radiossensibilidade.
II- A radiossensibilidade celular é variável. Quanto mais jovens as células e quanto mais não diferenciadas, mais sensíveis à radiação elas são.
III- São exemplos de células mais radioresistentes, as células nervosas e as células musculares.
É CORRETO o que se afirma em:
Provas
Questão presente nas seguintes provas
Em relação aos aplicativos disponíveis no Microsoft Office é CORRETO afirmar que:
Provas
Questão presente nas seguintes provas
Considere as afirmações sobre cópias de segurança (backup):
I- O Windows 11 conta com uma ferramenta nativa para fazer backups dos arquivos, aplicativos e configurações.
II- São tipos de backup: completo, diferencial e incremental.
III- O backup completo é o mais rápido, ocupando menos espaço.
É CORRETO o que se afirma em:
I- O Windows 11 conta com uma ferramenta nativa para fazer backups dos arquivos, aplicativos e configurações.
II- São tipos de backup: completo, diferencial e incremental.
III- O backup completo é o mais rápido, ocupando menos espaço.
É CORRETO o que se afirma em:
Provas
Questão presente nas seguintes provas
Método de autenticação que não exige o uso de senhas tradicionais, oferecendo mais praticidade e segurança aos usuários na hora de
fazer o login:
Provas
Questão presente nas seguintes provas
Um usuário precisa fazer uma pesquisa sobre sistemas operacionais no Google. Entretanto, ele quer excluir todos os resultados que
contenham o termo “Linux”. Uma maneira eficiente de fazer essa busca é digitar na barra de pesquisa do Google:
Provas
Questão presente nas seguintes provas
O webmail é uma forma de acessar o serviço de e-mail por meio de qualquer navegador conectado à internet. Alternativamente, outra
opção é utilizar clientes de e-mail via software, que instalados no computador podem gerenciar essas mensagens. Assinale a alternativa
que apresenta apenas programas de correio eletrônico:
Provas
Questão presente nas seguintes provas
Cadernos
Caderno Container