Foram encontradas 558 questões.
Considere a imagem a seguir para responder a questão:

Provas
Considere a imagem a seguir para responder a questão:

Provas
Considere a imagem a seguir para responder a questão:

Provas
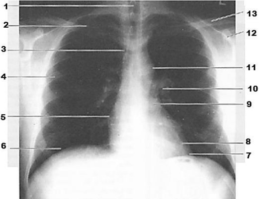
Considere a imagem a seguir para responder a questão:

Provas
Provas
Provas
Analise o trecho e assinale a alternativa que completa corretamente a lacuna:
Dentre as causas de abdome agudo não traumático, as perfurações gastroduodenais estão entre as mais frequentes, seguindo-se as apendicites e as obstruções intestinais. A perfuração é a complicação mais grave da úlcera péptica, sendo caracterizada pela rotura da lesão com saída do conteúdo digestivo. Em nosso meio, é responsável por 5 a 10% das cirurgias abdominais de urgência. O diagnóstico sugerido pela história clínica é confirmado na rotina de abdome agudo pela presença de em até 90% dos casos.
Provas
Provas
Provas
Provas
Caderno Container