Magna Concursos

Foram encontradas 1.140 questões.

395110 Ano: 2016
Disciplina: Medicina
Banca: VUNESP
Orgão: Pref. Presidente Prudente-SP
Com relação ao ovário e à sua participação no ciclo menstrual, é correto afirmar que
 

Provas

Questão presente nas seguintes provas
395109 Ano: 2016
Disciplina: Medicina
Banca: VUNESP
Orgão: Pref. Presidente Prudente-SP
A osteoporose é uma complicação que pode ser decorrente da menopausa. Nessa situação, é correto afirmar que
 

Provas

Questão presente nas seguintes provas
395108 Ano: 2016
Disciplina: Medicina
Banca: VUNESP
Orgão: Pref. Presidente Prudente-SP
Gestante de 33 semanas chega ao pronto-socorro com queixa de cefaleia, epigastralgia e escotomas. PA 170 x 110 mm Hg, AU = 31 cm, tônus normal, FCF de 116 bpm. Frente a esse quadro clínico, é correto afirmar que
 

Provas

Questão presente nas seguintes provas
395107 Ano: 2016
Disciplina: Medicina
Banca: VUNESP
Orgão: Pref. Presidente Prudente-SP
Provas:

Leia o enunciado a seguir e responda à questão.

Paciente portador de asma brônquica é trazido por familiares ao pronto atendimento com queixa de dispneia súbita, dor torácica em hemitórax direito e dificuldade para falar. O exame físico revela o paciente sonolento, torporoso, taquidispneico e com cianose de extremidades. Escala de Glasgow na chegada = 8 (abertura ocular = 2, resposta verbal = 2, resposta motora = 4), PA = 100 x 60 mmHg, FC = 120 bpm e SpO2 = 73%. Realizada radiografia de tórax na sala de emergência (ilustrada a seguir).

enunciado 395107-1

Assinale a alternativa que contém a melhor estratégia terapêutica inicial.

 

Provas

Questão presente nas seguintes provas
395106 Ano: 2016
Disciplina: Medicina
Banca: VUNESP
Orgão: Pref. Presidente Prudente-SP
Gestante de 13 semanas de gravidez recebe os resultados de exames da primeira consulta, e a glicemia de jejum é de 132 mg%. Frente a esse resultado, a conduta médica correta é
 

Provas

Questão presente nas seguintes provas
395105 Ano: 2016
Disciplina: Medicina
Banca: VUNESP
Orgão: Pref. Presidente Prudente-SP
No caso de mulher com anovulação crônica, é correto afirmar que
 

Provas

Questão presente nas seguintes provas
395104 Ano: 2016
Disciplina: Medicina
Banca: VUNESP
Orgão: Pref. Presidente Prudente-SP
Provas:

Leia o enunciado a seguir e responda à questão.

Mulher, 58 anos, hipertensa e diabética, refere cansaço há 1 semana. Notou, concomitantemente, palpitação taquicárdica. Nega sintomas como: dor precordial, lipotimia ou síncope. A avaliação clínica mostra a paciente em bom estado geral, hemodinamicamente estável, PA = 120 x 70 mmHg e com auscultas pulmonar e cardíaca normais. Foi realizado um eletrocardiograma que está ilustrado a seguir.

enunciado 395104-1

Assinale a alternativa correta em relação à abordagem terapêutica dessa paciente.

 

Provas

Questão presente nas seguintes provas
395103 Ano: 2016
Disciplina: Medicina
Banca: VUNESP
Orgão: Pref. Presidente Prudente-SP
Em sendo a hiperprolactinemia uma entidade capaz de trazer distúrbios ao organismo feminino, é correto afirmar que
 

Provas

Questão presente nas seguintes provas
395102 Ano: 2016
Disciplina: Medicina
Banca: VUNESP
Orgão: Pref. Presidente Prudente-SP
Provas:
Jovem, 23 anos, sexo masculino, apresenta pressão arterial de 200 x 100 mmHg, durante exame admissional, confirmada em nova avaliação após uma semana. Não apresenta comorbidades e nem histórico familiar de hipertensão arterial. O exame físico apenas evidencia a presença de sopro sistólico suave na ausculta do flanco direito do abdome. Os exames laboratoriais são normais, incluindo função renal, hemograma e urina tipo I. A ultrassonografia de abdome mostra: ausência de líquido livre, fígado normal, pâncreas não visualizado por interposição gasosa, rim direito medindo 7,4 cm e rim esquerdo medindo 11,0 cm.

O exame que certamente trará a confirmação diagnóstica é:
 

Provas

Questão presente nas seguintes provas
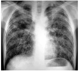
395101 Ano: 2016
Disciplina: Medicina
Banca: VUNESP
Orgão: Pref. Presidente Prudente-SP
Provas:
Paciente do sexo masculino, 42 anos, proveniente do Ceará, procura atendimento médico por dispneia de longa data, mais intensa nos últimos 3 meses. Refere que há 22 anos trabalha escavando poços de água potável. Seu estado geral é bom, não há queixa de febre ou de outros sintomas associados.
Analise a radiografia de tórax, ilustrada a seguir, e assinale a alternativa que contém a hipótese diagnóstica correta para o caso relatado.
enunciado 395101-1
 

Provas

Questão presente nas seguintes provas