Foram encontradas 1.422 questões.
As principais soluções fixadoras utilizadas em histologia e
patologia para preservar a estrutura celular e os
componentes tissulares dos tecidos biológicos são:
Provas
Questão presente nas seguintes provas
Uma função do tecido sanguíneo é:
Provas
Questão presente nas seguintes provas
A coloração de Klüver & Barrera é utilizada para corar
estruturas celulares de células nervosas conhecidas como:
Provas
Questão presente nas seguintes provas
Qual das seguintes estruturas celulares é responsável pela
síntese de proteínas e pode ser encontrada tanto em
células procarióticas quanto em células eucarióticas?
Provas
Questão presente nas seguintes provas
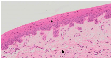
Observe a imagem abaixo e identifique corretamente o tecido indicado pela letra A.

Provas
Questão presente nas seguintes provas
Qual das seguintes opções representa uma prática
adequada para o descarte de resíduos biológicos em
laboratórios?
Provas
Questão presente nas seguintes provas
3831909
Ano: 2024
Disciplina: Segurança e Saúde no Trabalho (SST)
Banca: IBADE
Orgão: Pref. Recife-PE
Disciplina: Segurança e Saúde no Trabalho (SST)
Banca: IBADE
Orgão: Pref. Recife-PE
Equipamentos de proteção individual (EPI) e equipamentos
de proteção coletiva (EPC) são essenciais para garantir a
segurança dos trabalhadores em laboratórios. Eles ajudam
a prevenir acidentes, minimizar a exposição a substâncias
perigosas e proteger contra lesões. Qual das seguintes
opções representa um exemplo de equipamento de
proteção individual (EPI) utilizado em laboratórios?
Provas
Questão presente nas seguintes provas
Qual das seguintes práticas é uma medida de
biossegurança recomendada para minimizar o risco de
exposição a agentes biológicos em laboratórios?
Provas
Questão presente nas seguintes provas
As boas práticas no uso e manutenção de equipamentos
são essenciais para a garantir a durabilidade dos mesmos.
Assinale a alternativa que contém um cuidado necessário
para a manutenção de centrifugas.
Provas
Questão presente nas seguintes provas
- Química InorgânicaSoluções e Substâncias InorgânicasSubstâncias Inorgânicas: dissociação iônica e ionização, conceitos de ácido-base
Qual dos seguintes métodos químicos é mais eficaz na
desinfecção de superfícies hospitalares?
Provas
Questão presente nas seguintes provas
Cadernos
Caderno Container