Magna Concursos

Foram encontradas 50 questões.

“Compreende uma área geográfica que comporta uma população com características epidemiológicas e sociais e com suas necessidades e recursos de saúde para atendê-la.” Trata-se de:
 

Provas

Questão presente nas seguintes provas
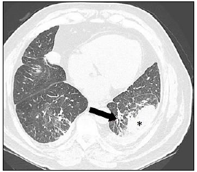
913329 Ano: 2016
Disciplina: Medicina
Banca: Consulplan
Orgão: Pref. Sabará-MG
Provas:
Observe a imagem radiológica que apresenta um achado demarcado pela seta e pelo asterisco:
Enunciado 913329-1
Assinale a alternativa correta sobre o exame apresentado anteriormente.
 

Provas

Questão presente nas seguintes provas
Texto para responder à questão.
Todo ato criativo acontece, inicialmente, por meio de uma crise. Em um mundo em crise, não se pode falar sobre criatividade sem ter a cooperação como condição prévia para a superação de uma crise. Neste desafio, deve-se ter como aliado o diálogo, possível instrumento de transformação do real e superação de crises e conflitos. O ato criativo, talvez consista na promoção do diálogo. Para isso, é preciso demonstrar que não há um método, ou uma dialética, mas apenas o diálogo, que é a fala entre duas pessoas. No diálogo, não há um método definido, há apenas um jogo. A dialética é uma técnica (techné), ou melhor, um método preciso e teleológico, que busca um fim, uma resposta. É por intermediação da dialética, que é a arte de raciocinar, da lógica – dialektiké (techné) discussão, em um constante processo de racionalização – que somos levados a vivenciar em um mundo dominado pela técnica moderna, o filho perverso da techné. É necessário, entretanto, cada vez mais de diálogo, de jogos de linguagem, de relações amorosas solidárias e carismáticas, e não de dialética, que é estéril.
(AMORIM, Wellington Lima. SILVA, Everaldo. Filosofia, Ciência e Vida. nº 121. Fragmento.)
De acordo com o texto:
 

Provas

Questão presente nas seguintes provas
Texto para responder à questão.
Todo ato criativo acontece, inicialmente, por meio de uma crise. Em um mundo em crise, não se pode falar sobre criatividade sem ter a cooperação como condição prévia para a superação de uma crise. Neste desafio, deve-se ter como aliado o diálogo, possível instrumento de transformação do real e superação de crises e conflitos. O ato criativo, talvez consista na promoção do diálogo. Para isso, é preciso demonstrar que não há um método, ou uma dialética, mas apenas o diálogo, que é a fala entre duas pessoas. No diálogo, não há um método definido, há apenas um jogo. A dialética é uma técnica (techné), ou melhor, um método preciso e teleológico, que busca um fim, uma resposta. É por intermediação da dialética, que é a arte de raciocinar, da lógica – dialektiké (techné) discussão, em um constante processo de racionalização – que somos levados a vivenciar em um mundo dominado pela técnica moderna, o filho perverso da techné. É necessário, entretanto, cada vez mais de diálogo, de jogos de linguagem, de relações amorosas solidárias e carismáticas, e não de dialética, que é estéril.
(AMORIM, Wellington Lima. SILVA, Everaldo. Filosofia, Ciência e Vida. nº 121. Fragmento.)
A primeira frase do fragmento contém uma relação entre unidades de significado que expressam:
 

Provas

Questão presente nas seguintes provas
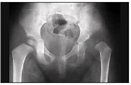
901589 Ano: 2016
Disciplina: Medicina
Banca: Consulplan
Orgão: Pref. Sabará-MG
Provas:
Considere uma criança com sinal de Trendelemburg positivo e a seguinte radiografia com quadril:
Enunciado 901589-1
É correto afirmar que trata-se de
 

Provas

Questão presente nas seguintes provas
Apesar de mantida em níveis endêmicos, a doença de Chagas ainda preocupa os serviços de vigilância em saúde devido às suas formas não peculiares de transmissão; analise-as.
I. Transmissão transfusional.
II. Transmissão alimentar.
III. Veiculação hídrica.
Está(ão) correta(s) a(s) alternativa(s)
 

Provas

Questão presente nas seguintes provas
“Em uma determinada área com 150 mil habitantes, 5 crianças menores de 1 ano morreram no ano de 2015.” Sabendo-se que nasceram nesse mesmo período 500 crianças, assinale, a seguir, o coeficiente de mortalidade infantil do local.
 

Provas

Questão presente nas seguintes provas
A ética das máquinas
[...] Imagine uma situação na qual uma máquina identifica o rosto de um terrorista internacional tentando embarcar em um voo no aeroporto de Tel Aviv. Imediatamente, um alarme soa e os embarques são suspensos. Todos os voos são, automaticamente, cancelados. Em poucos minutos, a notícia já percorre milhões de tablets e se espalha pelo mundo. O preço do barril de petróleo triplica e nas bolsas de valores há uma corrida pelas ações das empresas petrolíferas. Essa manobra faz com que o preço de outras ações desabe. A queda no valor das ações leva a uma corrida para o dólar e, em poucas horas, ele se valoriza mais de 15%. Contratos de importação e exportação são suspensos...
Essa cadeia inusitada de acontecimentos pode levar ao caos. Mas, o que significa um dia caótico na economia mundial diante da possibilidade de um ataque terrorista que poderia dizimar centenas de vidas? Os agentes da polícia portuária poderiam não ter identificado o rosto do terrorista e, nesse caso, a tragédia seria inevitável. No entanto, não é possível descartar a hipótese de que a máquina poderia ter identificado incorretamente um rosto e que, se ela não tivesse autonomia para suspender embarques e voos, um dia de caos na economia mundial poderia ter sido evitado. O que seria melhor? Tudo depende dos riscos que estamos dispostos a correr.
As máquinas estão se tornando cada vez mais autônomas. Máquinas autônomas não podem ser desligadas. Cada vez mais delegamos a elas decisões diante de situações imprevistas. Se o rosto do terrorista é identificado, o alarme soa e os embarques são automaticamente cancelados, independentemente da vontade de qualquer funcionário do aeroporto. Máquinas autônomas podem, também, alterar sua própria programação a partir de sua interação com o ambiente e, por isso, não temos controle pleno sobre elas.
Em geral, delegamos autonomia para máquinas quando, em algumas tarefas, sua performance é melhor do que a de um ser humano. Cálculos de engenharia, folhas de pagamento de grandes instituições são casos típicos nos quais a performance das máquinas ultrapassa o raciocínio e a memória humana. Em pouco tempo a identificação instantânea de rostos também integrará essa lista. [...]
Máquinas superinteligentes ainda são um sonho distante, mas não impossível. Não podemos, tampouco, descartar a possibilidade de elas serem produzidas acidentalmente. [...]
Como uma máquina autônoma não pode ser desligada, ficaríamos à mercê de seus caprichos, que poderia incluir a destruição completa da raça humana. [...]
O físico Stephen Hawking sugere que, diante desse risco, as pesquisas em inteligência artificial deveriam ser interrompidas. O filósofo Nick Bostrom, da Universidade de Oxford, defende que o aumento da inteligência se refletirá em um aprimoramento ético. Daniel Dennett, um dos pioneiros da Filosofia da Mente, afirma que a superinteligência não passa de uma lenda urbana que se baseia em atribuir às máquinas podres que elas nunca terão.
Temos de aguardar, com os dedos cruzados, os próximos capítulos da história da tecnologia. E torcer para que das inteligências sem consciência possa emergir algo mais do apenas eficiência cega, a competência sem compreensão.
(TEIXEIRA, João. Filosofia, Ciência e Vida. nº 121. Adaptado.)
De acordo com os recursos utilizados pelo autor para compor o tipo textual apresentado, pode-se afirmar que
 

Provas

Questão presente nas seguintes provas
Os recursos federais para a manutenção e o desenvolvimento do Sistema Único de Saúde (SUS) provêm em sua maior parte de:
 

Provas

Questão presente nas seguintes provas

A ética das máquinas

[...] Imagine uma situação na qual uma máquina identifica o rosto de um terrorista internacional tentando embarcar em um voo no aeroporto de Tel Aviv. Imediatamente, um alarme soa e os embarques são suspensos. Todos os voos são, automaticamente, cancelados. Em poucos minutos, a notícia já percorre milhões de tablets e se espalha pelo mundo. O preço do barril de petróleo triplica e nas bolsas de valores há uma corrida pelas ações das empresas petrolíferas. Essa manobra faz com que o preço de outras ações desabe. A queda no valor das ações leva a uma corrida para o dólar e, em poucas horas, ele se valoriza mais de 15%. Contratos de importação e exportação são suspensos...

Essa cadeia inusitada de acontecimentos pode levar ao caos. Mas, o que significa um dia caótico na economia mundial diante da possibilidade de um ataque terrorista que poderia dizimar centenas de vidas? Os agentes da polícia portuária poderiam não ter identificado o rosto do terrorista e, nesse caso, a tragédia seria inevitável. No entanto, não é possível descartar a hipótese de que a máquina poderia ter identificado incorretamente um rosto e que, se ela não tivesse autonomia para suspender embarques e voos, um dia de caos na economia mundial poderia ter sido evitado. O que seria melhor? Tudo depende dos riscos que estamos dispostos a correr.

As máquinas estão se tornando cada vez mais autônomas. Máquinas autônomas não podem ser desligadas. Cada vez mais delegamos a elas decisões diante de situações imprevistas. Se o rosto do terrorista é identificado, o alarme soa e os embarques são automaticamente cancelados, independentemente da vontade de qualquer funcionário do aeroporto. Máquinas autônomas podem, também, alterar sua própria programação a partir de sua interação com o ambiente e, por isso, não temos controle pleno sobre elas.

Em geral, delegamos autonomia para máquinas quando, em algumas tarefas, sua performance é melhor do que a de um ser humano. Cálculos de engenharia, folhas de pagamento de grandes instituições são casos típicos nos quais a performance das máquinas ultrapassa o raciocínio e a memória humana. Em pouco tempo a identificação instantânea de rostos também integrará essa lista. [...]

Máquinas superinteligentes ainda são um sonho distante, mas não impossível. Não podemos, tampouco, descartar a possibilidade de elas serem produzidas acidentalmente. [...]

Como uma máquina autônoma não pode ser desligada, ficaríamos à mercê de seus caprichos, que poderia incluir a destruição completa da raça humana. [...]

O físico Stephen Hawking sugere que, diante desse risco, as pesquisas em inteligência artificial deveriam ser interrompidas. O filósofo Nick Bostrom, da Universidade de Oxford, defende que o aumento da inteligência se refletirá em um aprimoramento ético. Daniel Dennett, um dos pioneiros da Filosofia da Mente, afirma que a superinteligência não passa de uma lenda urbana que se baseia em atribuir às máquinas podres que elas nunca terão.

Temos de aguardar, com os dedos cruzados, os próximos capítulos da história da tecnologia. E torcer para que das inteligências sem consciência possa emergir algo mais do apenas eficiência cega, a competência sem compreensão.

(TEIXEIRA, João. Filosofia, Ciência e Vida. nº 121. Adaptado.)

O trecho “No entanto, não é possível descartar a hipótese de que a máquina poderia ter identificado incorretamente um rosto [...]” é introduzido por uma expressão que indica:

 

Provas

Questão presente nas seguintes provas