Foram encontradas 752 questões.
Paciente de 27 anos, sexo feminino, deu entrada na emergência com palpitações taquicárdicas, pressão arterial de 110x60 mmHg,
consciente, orientada e sem outros sintomas. O eletrocardiograma (ECG) inicial é o representado abaixo:

Mediante o quadro e o resultado ora apresentados, em relação à conduta a ser adotada para esta paciente, assinale a alternativa correta

Mediante o quadro e o resultado ora apresentados, em relação à conduta a ser adotada para esta paciente, assinale a alternativa correta
Provas
Questão presente nas seguintes provas
Marcos Victor, 70 anos, hipertenso e diabético evolui com dor torácica em aperto. Realizou ECG, cujo resultado é o que segue:

Mediante a análise do resultado acima, em relação à conduta medicamentosa, assinale a alternativa correta.

Mediante a análise do resultado acima, em relação à conduta medicamentosa, assinale a alternativa correta.
Provas
Questão presente nas seguintes provas
Paciente, 60 anos, sexo masculino, com história de insuficiência cardíaca congestiva secundária a doença arterial coronariana,

Mediante a análise do resultado acima, assinale a alternativa que apresenta o diagnóstico eletrocardiográfico.

Mediante a análise do resultado acima, assinale a alternativa que apresenta o diagnóstico eletrocardiográfico.
Provas
Questão presente nas seguintes provas
Após mais uma derrota do seu time do coração, torcedor, sexo masculino, 57 anos, passa a sentir dor torácica em aperto e é levado ao
hospital. Realiza o ECG, o resultado é o que segue:

Mediante a análise do resultado acima, assinale a alternativa que apresenta a provável patologia identificada.

Mediante a análise do resultado acima, assinale a alternativa que apresenta a provável patologia identificada.
Provas
Questão presente nas seguintes provas
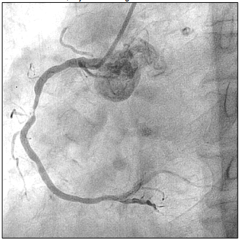
Paciente de 66 anos, relata queixa de dor torácica em aperto.
Procura atendimento médico onde realiza ECG que evidencia
IAM com supra de ST. Então, é levada à hemodinâmica onde é
realizado o exame, cujo achado segue abaixo:
Em relação à anormalidade evidenciada, assinale a alternativa que apresenta a coronária acometida.
Em relação à anormalidade evidenciada, assinale a alternativa que apresenta a coronária acometida.
Provas
Questão presente nas seguintes provas
Paciente com história de síncope e dispneia deu entrada na sala
de hemodinâmica e realizou registro de pressão, conforme
ilustração abaixo:
Em relação ao registro de pressão acima, pode-se concluir que o paciente é portador de
Em relação ao registro de pressão acima, pode-se concluir que o paciente é portador de
Provas
Questão presente nas seguintes provas
Jogador de futebol apresenta mal súbito durante partida.
Realizado ecocardiograma, foi diagnosticada miocardiopatia
hipertrófica. Em relação à patologia apresentada, assinale a
alternativa correta.
Provas
Questão presente nas seguintes provas
Em relação à Síndrome Coronariana Aguda, analise os itens
abaixo:
I. Paciente com angina instável e alto risco deve fazer investigação eletivamente.
II. Paciente apresentando IAM com supra não deve aguardar troponina para definir conduta.
III. Está contraindicado nitrato no infarto com supra de ST.
IV. Betabloqueador deve ser utilizado nas primeiras 24h de infarto se não houver contraindicação.
V. Estatina tem função de anti-inflamatório de placa de ateroma e deve ser usada precocemente.
Mediante a análise dos itens acima, assinale a alternativa correta.
I. Paciente com angina instável e alto risco deve fazer investigação eletivamente.
II. Paciente apresentando IAM com supra não deve aguardar troponina para definir conduta.
III. Está contraindicado nitrato no infarto com supra de ST.
IV. Betabloqueador deve ser utilizado nas primeiras 24h de infarto se não houver contraindicação.
V. Estatina tem função de anti-inflamatório de placa de ateroma e deve ser usada precocemente.
Mediante a análise dos itens acima, assinale a alternativa correta.
Provas
Questão presente nas seguintes provas
Paciente com história de síndrome coronariana aguda. Assinale
a alternativa correta que apresenta o medicamento que deve ser
evitado, se houver infarto de ventrículo direito.
Provas
Questão presente nas seguintes provas
Uma mãe traz sua filha de quatro anos para atendimento médico.
Relata que a criança é cansada e não brinca. À inspeção,
observa-se cianose e baqueteamento digital. Na ausculta
cardíaca, apresenta sopro cardíaco em foco pulmonar. Assinale
a alternativa correta que apresenta a cardiopatia provável do caso
ora apresentado.
Provas
Questão presente nas seguintes provas
Cadernos
Caderno Container