Foram encontradas 782 questões.
3783482
Ano: 2024
Disciplina: Fonoaudiologia
Banca: Instituto Access
Orgão: Pref. São João Ivaí-PR
Disciplina: Fonoaudiologia
Banca: Instituto Access
Orgão: Pref. São João Ivaí-PR
Provas:
Acerca da musculatura cervical, é correto afirmar que a ativação da(o):
Provas
Questão presente nas seguintes provas
3783481
Ano: 2024
Disciplina: Fonoaudiologia
Banca: Instituto Access
Orgão: Pref. São João Ivaí-PR
Disciplina: Fonoaudiologia
Banca: Instituto Access
Orgão: Pref. São João Ivaí-PR
Provas:
Uma paciente do sexo feminino de 25 anos de idade apresenta a frequência fundamental de 204hz. Nesse contexto, é
correto afirmar que para a produção de sons de:
Provas
Questão presente nas seguintes provas
3783480
Ano: 2024
Disciplina: Fonoaudiologia
Banca: Instituto Access
Orgão: Pref. São João Ivaí-PR
Disciplina: Fonoaudiologia
Banca: Instituto Access
Orgão: Pref. São João Ivaí-PR
Provas:
A respiração é o combustível da fala. A esse respeito, analise a sequência a seguir, que corresponde às estruturas que o
ar percorre durante a inspiração e assinale a alternativa correta.
A. Hemoglobina / B. Alvéolos pulmonares / C. Amígdalas / D. Concha nasal inferior / E. Corniculadas / F. Hipofaringe / G. Adenoide.
A. Hemoglobina / B. Alvéolos pulmonares / C. Amígdalas / D. Concha nasal inferior / E. Corniculadas / F. Hipofaringe / G. Adenoide.
Provas
Questão presente nas seguintes provas
3783479
Ano: 2024
Disciplina: Fonoaudiologia
Banca: Instituto Access
Orgão: Pref. São João Ivaí-PR
Disciplina: Fonoaudiologia
Banca: Instituto Access
Orgão: Pref. São João Ivaí-PR
Provas:

Uma pessoa consegue realizar modulações na emissão da voz. Analise a representação gráfica apresentada e assinale a alternativa correta.
Provas
Questão presente nas seguintes provas
3783478
Ano: 2024
Disciplina: Fonoaudiologia
Banca: Instituto Access
Orgão: Pref. São João Ivaí-PR
Disciplina: Fonoaudiologia
Banca: Instituto Access
Orgão: Pref. São João Ivaí-PR
Provas:

Uma pessoa consegue realizar modulações na emissão da voz. Analise a representação gráfica apresentada, que é da mesma pessoa em momentos diferentes, sendo assim, assinale a alternativa correta.
Provas
Questão presente nas seguintes provas
3783477
Ano: 2024
Disciplina: Fisioterapia
Banca: Instituto Access
Orgão: Pref. São João Ivaí-PR
Disciplina: Fisioterapia
Banca: Instituto Access
Orgão: Pref. São João Ivaí-PR
Provas:

Com base nas fases da deambulação, assinale a alternativa correta.
Provas
Questão presente nas seguintes provas
3783476
Ano: 2024
Disciplina: Fisioterapia
Banca: Instituto Access
Orgão: Pref. São João Ivaí-PR
Disciplina: Fisioterapia
Banca: Instituto Access
Orgão: Pref. São João Ivaí-PR
Provas:
“A síndrome metabólica (SMet) é considerada uma desordem clínica definida pela associação de fatores fisiológicos, bioquímicos, clínicos e metabólicos... A prevalência de SMet varia de acordo com as características populacionais e definições usadas. De
acordo com a International Diabetes Federation (IDF), ela ocorre quando há a presença do aumento da circunferência abdominal (≥90 cm para os homens e ≥80 cm para as mulheres) associada com mais dois fatores, como hipertensão arterial,
resistência insulínica, hiperinsulinemia ou dislipidemia... A SMet é considerada uma síndrome multifatorial que resulta da interação de um comportamento sedentário, inatividade física e fatores... e pode favorecer o aumento do risco cardiovascular...”
Acerca das informações apresentadas, assinale a alternativa correta.
Provas
Questão presente nas seguintes provas
3783475
Ano: 2024
Disciplina: Fisioterapia
Banca: Instituto Access
Orgão: Pref. São João Ivaí-PR
Disciplina: Fisioterapia
Banca: Instituto Access
Orgão: Pref. São João Ivaí-PR
Provas:
Entre as técnicas, métodos, manipulações e mobilizações que podem ser aplicadas, assinale a alternativa correta.
Provas
Questão presente nas seguintes provas
3783474
Ano: 2024
Disciplina: Fisioterapia
Banca: Instituto Access
Orgão: Pref. São João Ivaí-PR
Disciplina: Fisioterapia
Banca: Instituto Access
Orgão: Pref. São João Ivaí-PR
Provas:
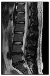
Paciente M.R.I. de 24 anos de idade do sexo feminino, chegou no hospital com uma leve dor na lombar HMA: paciente
foi fazer um agachamento guiado na academia, ouviu um estalido e ao chegar em casa sentiu uma leve dor. Dormiu mal
a noite e na manhã seguinte resolveu procurar o pronto-socorro. Foi realizado um exame de Ressonância lombo-sacra.
Segue o exame da paciente:


Com base nas informações do caso clínico, a paciente apresentava retenção de urina e dificuldade para defecar. Sabe-se que a paciente não teve lombociatalgia. Conforme apresentado na imagem comparativa, inicial à esquerda e após 3 meses de tratamento fisioterapêutico à direita, assinale a alternativa de tratamento fisioterapêutico mais adequado para atingir a resposta apresentada na segunda imagem do exame.
Provas
Questão presente nas seguintes provas
3783473
Ano: 2024
Disciplina: Fisioterapia
Banca: Instituto Access
Orgão: Pref. São João Ivaí-PR
Disciplina: Fisioterapia
Banca: Instituto Access
Orgão: Pref. São João Ivaí-PR
Provas:
Paciente M.R.I. de 24 anos de idade do sexo feminino, chegou no hospital com uma leve dor na lombar HMA: paciente
foi fazer um agachamento guiado na academia, ouviu um estalido e ao chegar em casa sentiu uma leve dor. Dormiu mal
a noite e na manhã seguinte resolveu procurar o pronto-socorro. Foi realizado um exame de Ressonância lombo-sacra.
Segue o exame da paciente:

Provas
Questão presente nas seguintes provas
Cadernos
Caderno Container