Foram encontradas 1.180 questões.
Associe os itens a seguir a suas respectivas descrições:
1. Topograma; 2. Corte sagital; 3. T1; 4. Reconstrução multiplanar; 5. Voxel.
( ) Nesta sequência o líquido fica preto. ( ) Imagem gerada na TC é semelhante a uma imagem gerada em aparelhos de raios X. ( ) Imagem em que se corta o tecido do lado esquerdo para o direito ou do lado direito para o esquerdo. ( ) Processo que permite gerar imagens de outros cortes anatômicos a partir de cortes transversos. ( ) Unidade de espessura definida antes da aquisição da imagem.
Assinale a opção que indica a relação correta na ordem apresentada.
1. Topograma; 2. Corte sagital; 3. T1; 4. Reconstrução multiplanar; 5. Voxel.
( ) Nesta sequência o líquido fica preto. ( ) Imagem gerada na TC é semelhante a uma imagem gerada em aparelhos de raios X. ( ) Imagem em que se corta o tecido do lado esquerdo para o direito ou do lado direito para o esquerdo. ( ) Processo que permite gerar imagens de outros cortes anatômicos a partir de cortes transversos. ( ) Unidade de espessura definida antes da aquisição da imagem.
Assinale a opção que indica a relação correta na ordem apresentada.
Provas
Questão presente nas seguintes provas
O aparelho de ressonância magnética é um grande imã formado
por um campo magnético originado pela corrente elétrica que
passa por uma bobina de fios metálicos. Existem várias sequências
de pulso para a aquisição e o processamento da imagem de RM.
Em relação ao tema, assinale a opção correta.
Em relação ao tema, assinale a opção correta.
Provas
Questão presente nas seguintes provas
A Ressonância magnética é um método de imagem que se baseia
no comportamento dos prótons de
Provas
Questão presente nas seguintes provas
Em relação à comparação entre as técnicas sequenciais de TC e
Fluoroscopia, avalie se as afirmativas a seguir são verdadeiras (V)
ou falsas (F).
( ) A TC não é um bom método intervencionista porque proporciona uma baixa acurácia visual para o posicionamento da agulha.
( ) A exposição radioativa é desprezível em ambos os métodos.
( ) O mAs deve ser reduzido ao máximo possível durante a aquisição de uma TC sequencial.
( ) As doses de radiação podem ser reduzidas se a fluoroscopia for realizada de maneira intermitente.
( ) É aceitável que se posicione a ampola da TC sequencial com as mãos.
As afirmativas são, respectivamente:
( ) A TC não é um bom método intervencionista porque proporciona uma baixa acurácia visual para o posicionamento da agulha.
( ) A exposição radioativa é desprezível em ambos os métodos.
( ) O mAs deve ser reduzido ao máximo possível durante a aquisição de uma TC sequencial.
( ) As doses de radiação podem ser reduzidas se a fluoroscopia for realizada de maneira intermitente.
( ) É aceitável que se posicione a ampola da TC sequencial com as mãos.
As afirmativas são, respectivamente:
Provas
Questão presente nas seguintes provas
A construção da imagem digital em aparelhos de TC é feita após o
processamento de cada informação captada pelos detectores com
o objetivo de definir a atenuação gerada por cada fileira de voxels.
De posse do valor que foi detectado pelo detector, o computador
determina a parcela do feixe que foi atenuada pelo tecido que foi
atravessado por ele.
Associe os itens a seguir a suas cores respectivas:
1. Meio de contraste. 2. Água. 3. Ar. 4. Gordura. 5. Osso.
( ) Branco brilhante. ( ) Cinza escuro. ( ) Branco. ( ) Cinza médio. ( ) Preto.
Assinale a opção que indica a relação correta na ordem apresentada.
Associe os itens a seguir a suas cores respectivas:
1. Meio de contraste. 2. Água. 3. Ar. 4. Gordura. 5. Osso.
( ) Branco brilhante. ( ) Cinza escuro. ( ) Branco. ( ) Cinza médio. ( ) Preto.
Assinale a opção que indica a relação correta na ordem apresentada.
Provas
Questão presente nas seguintes provas
O seguinte contraste é utilizado em exames de Ressonância
Magnética:
Provas
Questão presente nas seguintes provas
A proteção gonadal em radiografias de quadril e fêmur é um item
muito importante da proteção radiológica.
Baseado na imagem abaixo, assinale a afirmativa correta.
Baseado na imagem abaixo, assinale a afirmativa correta.
Provas
Questão presente nas seguintes provas
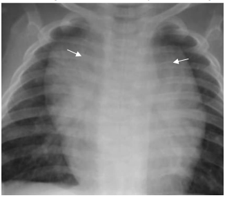
- Anatomia e Fisiologia HumanaSistema Respiratório
- Protocolos de Exames de Medicina NuclearProcessamento de Imagens Radiológicas
Observe a radiografia de tórax de uma criança de 4 meses a seguir:

Em relação à imagem, é correto afirmar que
Provas
Questão presente nas seguintes provas
Observe a imagem a seguir.

A seta indica
Provas
Questão presente nas seguintes provas
Um dos ossos abaixo faz parte dos ossos do tarso. Assinale-o.
Provas
Questão presente nas seguintes provas
Cadernos
Caderno Container