Foram encontradas 220 questões.
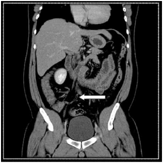
Observe a imagem tomográfica.

Pode-se afirmar que o plano de corte e a estrutura sinalizada são, correta e respectivamente,
Provas
Questão presente nas seguintes provas
Um indicador é um guia que possibilita monitorar e avaliar a produção, a qualidade do trabalho e a gestão de um processo de assistência farmacêutica.
Processos de assistência farmacêutica
I. recebimento;
II. padronização;
III. educação continuada;
IV. dispensação;
V. atenção farmacêutica;
Indicadores
( ) número de pacientes com acompanhamento farmacoterapêutico;
( ) número de kits cirúrgicos dispensados;
( ) número de horas/homem de treinamento;
( ) índice de medicamentos não padronizados prescritos;
( ) % de erros na nota fiscal, por fornecedor.
A correta correspondência, entre os processos de assistência farmacêutica e os indicadores citados, na sequência, de cima para baixo, é:
Provas
Questão presente nas seguintes provas
No abscesso dentoalveolar, o pus pode infiltrar-se pelos interstícios do osso sem que este participe efetivamente do processo.
Esse estágio de evolução é denominado
Provas
Questão presente nas seguintes provas
Para responder à questão, leia o texto.
RIO DE JANEIRO – Se alguém quiser saber quanto ganham policiais e professores em Nova York, uma busca na internet leva direto a páginas dos respectivos departamentos municipais. Informam-se ali salários iniciais e quanto o profissional receberá à medida que aumentem qualificação e tempo de serviço.
No Brasil, é difícil obter resultado semelhante. Quando há dados em sites oficiais, as diferenciações baseadas em bônus e gratificações são tantas que aspirantes às duas carreiras podem desanimar antes de conseguir entender sua possível remuneração.
(Folha de S.Paulo, 09.02.2012. Adaptado)
De acordo com a norma-padrão, em – Se alguém quiser saber quanto ganham policiais e professores em Nova York, uma busca na internet leva direto a páginas dos respectivos departamentos municipais. – a correlação entre as formas verbais destacadas também estaria correta se elas fossem substituídas por
Provas
Questão presente nas seguintes provas
A novidade, segundo ouvi, é que o mundo já está acabando sob os nossos narizes – só que em prestações, com uma desgraça atrás da outra e cada qual mais horrível. Consultando os jornais desde o começo do ano, anotei várias calamidades que parecem justificar a tese.
(Ruy Castro, Folha de S.Paulo, 11.02.2012. Adaptado)
Analise as afirmações.
I. No contexto, a preposição “sob” pode ser substituída por “sobre”, sem prejuízo de sentido ao enunciado.
II. A preposição “com”, em destaque, forma uma expressão indicativa de modo.
III. A preposição “desde”, em destaque, forma uma expressão indicativa de tempo.
Está correto o que se afirma em
Provas
Questão presente nas seguintes provas
Em relação às normas de prescrição de receita de medicamentos, assinale a alternativa correta.
Provas
Questão presente nas seguintes provas
Lívia foi guardando somente as moedinhas de 10 centavos e de 5 centavos recebidas de troco. Quando foi contá-las, percebeu que tinha acumulado 21 moedas, num total de um real e oitenta e cinco centavos. Usou, então, todas as moedas de 10 centavos mais duas moedas de 5 centavos para comprar um bombom.
Como não houve troco, pode-se afirmar que esse bombom custou
Provas
Questão presente nas seguintes provas
709007
Ano: 2012
Disciplina: Saúde Pública
Banca: VUNESP
Orgão: Pref. São José dos Campos-SP
Disciplina: Saúde Pública
Banca: VUNESP
Orgão: Pref. São José dos Campos-SP
Provas:
Leia as afirmações a seguir.
I. O coeficiente de mortalidade materna sofre influência da qualidade do pré-natal e do serviço onde se dá o parto.
II. O coeficiente de mortalidade específico por idade tem relação direta com a instalação de hospitais especializados em idosos.
III. O coeficiente de natalidade geral é maior em comunidades rurais do que nas urbanas.
Está correto o contido em
Provas
Questão presente nas seguintes provas
Toda e qualquer anestesia deve vir acompanhada de uma fluidoterapia de manutenção. Uma das alternativas para o acesso venoso é a administração de fluidos pela via intraóssea. Nas aves, devido ao seu tamanho, a via intraóssea é uma opção. Contudo, deve-se tomar cuidado com os ossos pneumáticos.
Assim sendo, é correto afirmar que os locais de eleição para essa via são
Provas
Questão presente nas seguintes provas
Técnica de escovação em que as cerdas da escova dental são introduzidas no sulco gengival, em um ângulo de 450 com o longo eixo do dente, e que, com a escova dental forçada nessa região, fazem-se movimentos vibratórios anteroposteriores de pequena amplitude.
A técnica descrita é a de
Provas
Questão presente nas seguintes provas
Cadernos
Caderno Container