Foram encontradas 50 questões.
Acerca da classificação de SAKITA para úlceras gástricas, é correto afirmar que H1 corresponde à úlcera
Provas

Disponível em: <htpp.www.medway.com.br>. Acesso em: 10 nov. 2022.
Com base nessa figura e sabendo que o paciente refere batedeira, sem outras queixas, apresenta-se hemodinamicamente estável e com Glasgow 15, é correto afirmar que o ritmo cardíaco e o tratamento são, respectivamente,
Provas
Nos últimos anos, abordou-se, com frequência, temas relativos a pacientes em ventilação mecânica. A esse respeito, assinale a alternativa que apresenta uma estratégia para inibir o estiramento alveolar no final da inspiração, impedindo possível inflamação ou colabamento alveolar e, assim, protegendo os pulmões de lesão pulmonar induzida por ventilador mecânico (LPIV).
Provas
Suponha que um paciente de 65 anos de idade esteja apresentando letargia, frio, excessiva descamação na pele, fadiga, incapacidade de praticar atividades físicas, sonolência, queda de cabelos e obstipação. Exames realizados apresentaram resultados normais, mas com achado isolado de TSH > 10 mU/L (VR = 0,3 a 4,0 mUI/L). Diante disso, é correto afirmar que o quadro é compatível com o diagnóstico de
Provas
O alcoolismo pode causar grandes danos por causa do comportamento violento que provoca nos indivíduos. Constatou-se a presença de álcool no agressor, na vítima ou em ambos em até 66% dos casos de homicídio e de agressões severas, e em até 50% dos casos de estupro e de atentado ao pudor. Acerca desse assunto, assinale a alternativa que apresenta estratégias utilizadas para redução de danos nesse contexto.
Provas
Um menino de 5 anos de idade foi ao neurologista apresentando quadro de fraqueza muscular, dificuldade para levantar, sem conseguir correr, com quedas frequentes e com certa dificuldade de aprendizado. O médico informou tratar-se de uma doença hereditária, ligada ao cromossoma X, sem cura. Nesse caso hipotético, o diagnóstico a ser informado à família é de
Provas
Quanto ao Helicobacter pylori nas doenças dispépticas, assinale a alternativa correspondente ao tratamento que faz parte da primeira linha.
Provas

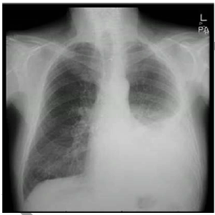
Um paciente comparece ao pronto atendimento com dispneia, tosse, dor torácica pleurítica e febre baixa, após queda na rua ocorrida há uma semana, em que houve trauma torácico. Na ocasião, foram realizados raios X de tórax.
Considerando a análise da imagem, assinale a alternativa que indica o tratamento para o alívio dos sintomas relatados no referido caso hipotético.
Provas
No adulto com vida sexual ativa, a infecção urinária é comumente causada pela bactéria
Provas
Um paciente com quadro de febre baixa, mal-estar, faringite, artralgia e perda ponderal foi à unidade básica de saúde, onde recebeu prescrição de analgesia para virose. Ele evoluiu com cefaleia e meningismo, tonturas e diminuição cognitiva. Foi, então, solicitada a avaliação do especialista que indicou a coleta de liquor cefalorraquidiano, o qual mostrou hiperproteinorraquia, pleocitose, hipoglicorraquia e presença de FTA-Abs/TPHA. Nesse caso hipotético, o diagnóstico e o tratamento são, respectivamente,
Provas
Caderno Container