Foram encontradas 1.370 questões.
Nos casos de pacientes cardiopatas que apresentam alto risco para endocardite infecciosa, é recomendada profilaxia antibiótica se forem realizados, por exemplo, procedimentos que envolvam instrumentação endodôntica, anestesia intraligamentar ou reimplante dentário.
Assinale a alternativa que apresenta um caso de paciente com alto risco de contrair endocardite infecciosa.
Provas
As espécies orais de treponema podem ser classificadas em espécies sacarolíticas e espécies assacarolíticas.
Assinale a alternativa que apresenta uma espécie de treponema assacarolítica que possui um arranjo de fatores de virulência associado à doença periodontal e que também pode participar na patogênese da doença perirradicular.
Provas
Assinale a alternativa que apresenta um bacilo filamentoso Gram-negativo anaeróbio estrito, que é uma das espécies mais frequentemente encontradas em canais radiculares infectados associados a lesões crônicas e abscessos.
Provas
Para que o tratamento endodôntico seja bem-sucedido, é de fundamental importância que o endodontista tenha conhecimento sobre a morfologia do canal radicular e suas variações mais comuns.
Baseando-se no estudo de Vertucci et al., que identificou oito tipos diferentes de morfologias do sistema de canais radiculares, assinale a alternativa que descreve o tipo III dessa classificação.
Provas
Assinale a alternativa correta com relação ao tratamento da osteoporose na Doença Renal Crônica (DRC).
Provas
Assinale a alternativa correta relacionada ao tratamento para pielonefrite na gravidez.
Provas
Em relação à absorção linfática da cavidade peritoneal, é correto afirmar:
Provas
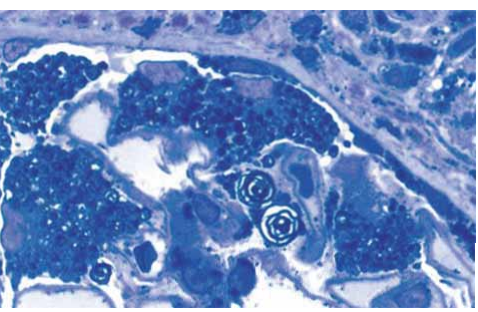
Observe a imagem a seguir.

Coloração azul de Toluidina
(Arquivo pessoal, imagem usada com autorização)
Segundo a imagem histológica, qual o diagnóstico?
Provas
Na hemodiálise convencional, a hipotensão é uma das complicações mais frequentes e de causas diversas. Assinale a alternativa que se correlaciona à vasoconstrição ineficaz.
Provas
Um paciente com nefrite túbulo intersticial e uveíte apresenta qual doença?
Provas
Caderno Container