Foram encontradas 452 questões.
A Radioterapia utiliza radiação ionizante para matar células cancerígenas e divide-se em teleterapia e braquiterapia. Marque a alternativa que diz o nome da técnica usada em que pode modular a fluência do feixe dividindo um campo normal de tratamento conformacional em vários campos menores. O resultado é um campo de tratamento com diversas áreas de intensidade.
Provas
Questão presente nas seguintes provas
Leia o texto abaixo para responder à questão.
Radiação é toda forma de energia em propagação. As radiações podem ser classificadas em ionizantes e não ionizantes. Além dessa classificação, elas podem também ser classificadas como mecânicas e eletromagnéticas, e corpusculares e não corpusculares.
Provas
Questão presente nas seguintes provas
Leia o texto abaixo para responder à questão.
Radiação é toda forma de energia em propagação. As radiações podem ser classificadas em ionizantes e não ionizantes. Além dessa classificação, elas podem também ser classificadas como mecânicas e eletromagnéticas, e corpusculares e não corpusculares.
I- Radiações diretamente ionizantes são compostas por cargas, pois a presença destas faz com que a partícula que compõe a radiação interaja entre campos elétricos, ou seja, à distância sem encostar, com outras partículas carregadas que compõem o meio. II- Radiações indiretamente ionizantes são compostas por partículas com cargas que transferem, primeiramente, sua energia para uma partícula descarregada, e esta, por sua vez, produz uma série de interações no meio. III- Raios X característicos ocorrem quando um elétron muda sua trajetória por interação colombiana com outros elétrons da eletrosfera ou com o próprio núcleo. IV- Raios X por frenamento ocorrem quando um elétron é retirado ou deslocado do seu nível de energia de equilíbrio, deixando um lugar livre (vacância) que, ao ser ocupado por outro elétron de níveis superiores mais energéticos, emite o excesso de energia em forma de raios X.
É CORRETO o que se afirma em:
Provas
Questão presente nas seguintes provas
- Protocolos de Exames de Medicina NuclearBases Físicas e Tecnológicas
- Protocolos de Exames de Medicina NuclearTécnicas Radiográficas em Tomografia Computadorizada
A aplicação de ímãs ou magnetos em diagnósticos médicos é um grande avanço na ressonância magnética. Marque a alternativa que corresponde a ímãs ou magnetos que criam campos magnéticos passando uma corrente através de um fio metálico enrolado ao redor de um núcleo de ferro ou ar. Em decorrência do calor que gera as suas taxas de dissipação, a força de campo praticável está limitada a 0,2T, resultando em longos tempos de varredura. Eles também consomem grandes quantidades de eletricidade. Trata-se de:
Provas
Questão presente nas seguintes provas
- Equipamentos RadiológicosCâmara Escura: Manipulação de Filmes, Chassis e Écrans Reveladores e Fixadores
O feixe de raios X atenuado, ao atravessar o objeto, cria uma imagem não perceptível ao olho humano denominada imagem radiante. Esta imagem pode tornar-se visível sobre um receptor. Sobre radiografia, analise as premissas:
I- Em uma radiografia, a imagem escura corresponde a uma imagem radiotransparente. II- Em uma radiografia, a imagem escura corresponde a uma imagem radiopaca. III- Efeito mach negativo ocorre quando uma superfície convexa de pouca luminescência à radiografia é contornada por uma luminescência baixíssima. Nesse caso, o olho humano “constrói” uma linha clara entre as duas superfícies. IV- Efeito mach positivo ocorre quando uma superfície convexa de pequena luminescência à radiografia é contornada por uma de grande luminescência. Nesse caso, o olho humano “constrói” uma linha clara entre as duas superfícies.
É CORRETO o que se afirma apenas em:
I- Em uma radiografia, a imagem escura corresponde a uma imagem radiotransparente. II- Em uma radiografia, a imagem escura corresponde a uma imagem radiopaca. III- Efeito mach negativo ocorre quando uma superfície convexa de pouca luminescência à radiografia é contornada por uma luminescência baixíssima. Nesse caso, o olho humano “constrói” uma linha clara entre as duas superfícies. IV- Efeito mach positivo ocorre quando uma superfície convexa de pequena luminescência à radiografia é contornada por uma de grande luminescência. Nesse caso, o olho humano “constrói” uma linha clara entre as duas superfícies.
É CORRETO o que se afirma apenas em:
Provas
Questão presente nas seguintes provas
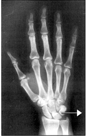
Ao se realizar um raio X da mão em Postero Anterior, marque a alternativa em que a estrutura está em destaque:.


Provas
Questão presente nas seguintes provas
Qual finalidade da filtração adicional na radiologia diagnóstica em um exame de Raio-X?
Provas
Questão presente nas seguintes provas
- Protocolos de Exames de Medicina NuclearBases Físicas e Tecnológicas
- Protocolos de Exames de Medicina NuclearTécnicas Radiográficas em Tomografia Computadorizada
A estimulação da RADIO FREQUÊNCIA adiciona energia ao sistema e, em termos quânticos, faz os prótons “saltarem” para um estado de energia superior. O processo de liberação dessa energia ao ambiente circundante e o regresso dos prótons ao estado de baixa energia é conhecido como:
Provas
Questão presente nas seguintes provas
A realização de uma anamnese completa e o levantamento do histórico médico e odontológico do paciente periodontal são imprescindíveis para o direcionamento de um diagnóstico periodontal preciso. De acordo com a classificação das condições e doenças periodontais, são considerados fatores de risco modificadores de grau no diagnóstico da periodontite, respectivamente:
Provas
Questão presente nas seguintes provas
Na rotina clínica diária, frequentemente observam-se dentes que apresentam grande destruição coronária e necessitam de reabilitação restauradora. A decisão de extrair ou conservar um dente, com grande perda de paredes ou que possui escassa ou nenhuma estrutura coronal remanescente, não é de fácil resolução. Sobre essa temática, analise as afirmativas a seguir:
I- Quando o dente é tratado endodonticamente, restaurado com pino intrarradicular e reconstruído com resina composta, onde a coroa protética é realizada sem levar em consideração a férula, frequentemente se observam falhas como fraturas cervicais. II- Quanto mais rígido o retentor intrarradicular, menor a possibilidade de fadiga, deslocamento da reconstrução da coroa e até fratura vertical da raiz. III- Diante de férula insuficiente, o aumento de coroa clínica é o único método de escolha para criá-la e possibilitar a reabilitação restauradora. IV- Quando um dente sem tratamento endodôntico é submetido a forças de mastigação ou movimentos de lateralidade e protrusão, é gerada uma força compressiva na margem cervical vestibular e tensional na margem cervical palatina da coroa, podendo deslocar ou abrir a adaptação da margem palatina.
É CORRETO o que se afirma apenas em:
I- Quando o dente é tratado endodonticamente, restaurado com pino intrarradicular e reconstruído com resina composta, onde a coroa protética é realizada sem levar em consideração a férula, frequentemente se observam falhas como fraturas cervicais. II- Quanto mais rígido o retentor intrarradicular, menor a possibilidade de fadiga, deslocamento da reconstrução da coroa e até fratura vertical da raiz. III- Diante de férula insuficiente, o aumento de coroa clínica é o único método de escolha para criá-la e possibilitar a reabilitação restauradora. IV- Quando um dente sem tratamento endodôntico é submetido a forças de mastigação ou movimentos de lateralidade e protrusão, é gerada uma força compressiva na margem cervical vestibular e tensional na margem cervical palatina da coroa, podendo deslocar ou abrir a adaptação da margem palatina.
É CORRETO o que se afirma apenas em:
Provas
Questão presente nas seguintes provas
Cadernos
Caderno Container