Foram encontradas 1.077 questões.
Os gangliogliomas são tumores responsáveis por 0,6% dos tumores intracranianos. Muitas vezes apresentam calcificações e causam crises epilépticas e sinais focais. Sua principal localização é no
Provas
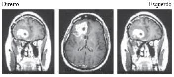
As imagens de RNM, com seqüências ponderadas em T1, feitas com contraste gadolíneo, mostram a presença de um processo expansivo na região frontal direita.

O achado anátomo- patológico mais relacionado à piora do prognóstico do tumor apresentado é
Provas
Os meduloblastomas são responsáveis por significativo percentual dos tumores na infância. Qual a alternativa incorreta em relação a esses tumores?
Provas
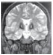
Menino de 9 anos de idade apresenta-se com transtorno progressivo de marcha, oligocinesia, movimentos distônicos dos membros superiores, declínio cognitivo e progressiva diminuição da visão. Ao exame clínico, constata-se hipertonia generalizada nos 4 membros e discreta hiperreflexia. Sua ressonância nuclear magnética de crânio mostra a alteração regsitrada na figura:

Corte coronário de RNM com imagens ponderadas em T2 Pode-se afirmar que o metal acumulado de forma significativa no sistema nervoso central do paciente é o
Provas
O mais comum dos adenomas secretores da hipófise é o que secreta
Provas
A mioclonia pós-anóxica, também chamada de síndrome de Lance-Adams, pode ocorrer após quadros de encefalopatia anóxica. Qual a alternativa incorreta em relação a essa entidade?
Provas
Paciente dá entrada em Unidade de Emergência com quadro neurológico e, após investigação de imagem, é submetido a exame do líquido cefalorraquidiano, que demonstra a seguinte alteração:

Provas
Correlacione as doenças descritas na coluna A com o padrão de herança genética da coluna B.

Assinale a alternativa que apresenta corretamente essa correlação.
Provas
Recentemente, uma polêmica decisão do Supremo Tribunal Federal admitiu a possibilidade de abortamento terapêutico em casos de anencefalia. Em relação a essa entidade, é correto afirmar que
Provas
A hidrocefalia de pressão normal é patologia crônica, determinando hidrocefalia comunicante, de início na idade adulta. Qual a alternativa incorreta em relação a essa entidade?
Provas
Caderno Container