Foram encontradas 24 questões.
Senhor José, 77 anos, chega à emergência com pneumonia há 48 horas e, nas últimas 6 horas, bradicardia e sonolência, com alteração do sensório. Ao exame físico, apresentava um score de Glasgow de 4, hipotermia (29,4ºC), bradicardia (41 bpm) e hipotensão arterial (75/51 mmHg). As mucosas estavam descoradas, mas hidratadas. Frequência respiratória de 12/minuto, padrão superficial, com estertores nas duas bases pulmonares. Face e pernas edemaciadas. A tireoide é de muito difícil palpação. Exames: leucócitos 18.000/UI com desvio à esquerda, hemoglobina de 11,4 g/dL, acidose metabólica, sódio 126 mEq/L, glicose 64 mg/dL; creatinina 1,7 mg/dL; creatinafosfoquinase (550 U/L); TSH = 92,07 uUI/ml, T4L = 0,21ng/dL.
Qual o tratamento inicial proposto para o senhor José?
Provas
Dona Flávia, 77 anos, histórico de DM do tipo 2, em uso irregular de metformina, procura serviço hospitalar com queixa de sonolência e falta de ar há 2 dias. Nega doenças associadas e cuidava de si mesma sozinha e caminhava diariamente 40 minutos, por orientação médica. EF: dispneica, PA: 90X60 mmHg, FC: 120 bpm, FR: 22 irpm, extremidades frias e cianóticas. Ausculta pulmonar com estertoração crepitante bilateral até o terço médio de ambos os hemitóraces, ausculta cardíaca com ritmo de galope, SSFM+/4+.
Qual o diagnóstico provável? Qual propedêutica a ser solicitada? Assinale a alternativa CORRETA.
Provas
Dona Jovina, 63 anos e 11 meses, faioderma, referiu que há 7 anos apresentou quadro de manchas avermelhadas difusas pelo corpo, poupando face e pescoço com remissão espontânea. Algum tempo após esses sintomas iniciais, evoluiu com surtos de edema nos membros inferiores (MMII) e sinais e sintomas constitucionais (febre, perda de apetite, artralgia e mialgia de forte intensidade), principalmente quando viajava para locais frios. Nos últimos anos, apresentou piora do quadro, com púrpuras predominantemente em MMII, progredindo para úlceras profundas dolorosas, de difícil cicatrização, associadas à dor em “queimação e choque nas pernas”, dificultando a deambulação. Foi internada para investigação diagnóstica, pela suspeita de vasculite sistêmica. A biópsia cutânea sugeriu diagnóstico histopatológico de vasculite neutrófílica com esboços de granulomas epitelioides permeando vasos e filetes nervosos.
Qual propedêutica poderia contribuir para esclarecimento do diagnóstico etiológico de dona Jovina?
Provas
Senhor Paulo, 52 anos, procurou a UBS por tosse produtiva e dispneia progressiva com seis meses de duração. A radiografia torácica apresentou infiltrado micronodular difuso bilateral e a pesquisa de BAAR no escarro deu positiva, diagnóstico confirmado por meio de cultura para TBC. Paralelamente, convive com HIV há 10 anos com tratamento irregular e contagem atual de linfócitos TCD4+ de 82 células/mm3.
De acordo com as orientações vigentes, qual o Melhor Esquema de tratamento par o HIV, na situação descrita:
Provas
Marcia, 18 anos, estudante de medicina, é levada por colegas ao pronto-socorro porque se encontra confusa e taquipneica. EF: letárgica, FC: 104 bpm; FR: 44 ipm; PA: 112/72 mmHg. AR e ACV normais. A gasometria arterial revela pH: 7,51; PO2: 89 mmHg; PCO2: 21 mmHg; bicarbonato: 16 mEq/L; Base Excess: -9; Na+: 141 mEq/L; K+: 4,5 mEq/L; Cl-: 104 mEq/L.
Qual a alternativa CORRETA em relação ao(s) distúrbio(s) ácido-base e sua etiologia?
Provas
Senhor Amado, 62 anos, com diagnóstico de doença pulmonar obstrutiva crônica na forma bronquite crônica, refere ter apresentado 2 episódios de exacerbação nos últimos 12 meses. Além disso, relata tosse produtiva diária de intensidade moderada. Realiza tratamento regular com formoterol 12 mcg + budesonida 400 mcg 12/12 h, tiotrópio 5 mcg/dia, todos por via inalatória. Realizou espirometria com evidência de VEF1= 49 %.
Qual a conduta CORRETA em relação ao plano terapêutico proposto para o Senhor Amado, nesse momento?
Provas
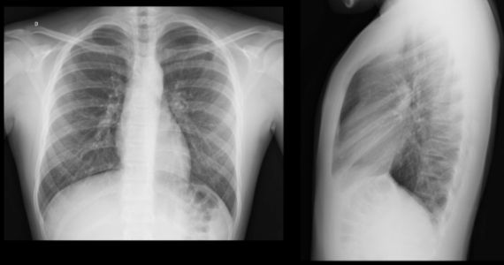
Dona Ana Cláudia, 32 anos, previamente saudável, apresenta história de dor precordial de início há 24 horas, de forte intensidade, a qual piora com a respiração, deglutição e ao se deitar. A dor irradia para o pescoço e ombro (em especial para as bordas do músculo trapézio). Relata que a queixa é constante e não se relaciona com esforço, além de não aliviar com dipirona 500 mg. EF: eupneica, normocorada e afebril. Pressão arterial: 142x82 mmHg, FC: 106 bpm, FR: 15 rpm, temperatura axilar de 37,1ºC e saturação de 95% em ar ambiente. Os marcadores de necrose (0- 6-9 horas) apresentaram discreta elevação. Eletrocardiograma e raios X do tórax, a seguir.


Assinale a alternativa CORRETA para o tratamento inicial proposto para Ana Cláudia.
Provas
Dona Francisca, 48 anos, apresenta ganho ponderal excessivo há 14 anos após tratamento de alopecia areata com glicocorticoides. Há 7 anos é portadora de diabetes mellitus tipo II e dispepsia com pirose refratária. Faz uso de captopril, hidroclorotiazida, metformina, canaglifozina, insulina glargina e omeprazol. Faz acompanhamento com nutricionista e já fez uso de liraglutida e lorcacerina, porém sem perda de peso sustentada e descontrole glicêmico importante. Atualmente, ela está com peso de 128 kg e IMC de 47,6 kg/m2. Assinale, entre as figuras a seguir, a que representa a melhor proposta cirúrgica indicada (melhor perda ponderal e controle glicêmico).
Provas
Observe os modelos de prevenção demonstrados a seguir:

No manejo da hipertensão arterial sistêmica de Dona Joaquina, que é diabética e sofreu um acidente vascular sistêmico há 6 meses, qual seria a melhor associação de medicamentos para prevenção de recorrência?
Provas
“A Lei n.º 8.080/1990 dispõe sobre as condições para a promoção, proteção e recuperação da saúde, a organização e o funcionamento dos serviços correspondentes. Essa Lei regula em todo o território nacional as ações e serviços de saúde, executados isolada ou conjuntamente, em caráter permanente, eventual, por pessoas naturais ou jurídicas de direito público ou privado.” Em relação às atribuições de cada esfera de governo, pode-se afirmar que cabe às
Provas
Caderno Container